Abdominal aortic aneurysm
| Abdominal aortic aneurysm | |
|---|---|
| triple-a | |
|
CT reconstruction image of an abdominal aortic aneurysm (white arrows) | |
| Classification and external resources | |
| Specialty | Vascular surgery |
| ICD-10 | I71.3, I71.4 |
| ICD-9-CM | 441.3, 441.4 |
| OMIM | 100070 |
| DiseasesDB | 792 |
| MedlinePlus | 000162 |
| eMedicine | med/3443 emerg/27 radio/1 |
| MeSH | D017544 |
Abdominal aortic aneurysm (AAA)[1] is a localized enlargement of the abdominal aorta such that the diameter is greater than 3 cm or more than 50% larger than normal diameter.[2] They usually cause no symptoms except when ruptured.[2] Occasionally, abdominal, back, or leg pain may occur.[3] Large aneurysms can sometimes be felt by pushing on the abdomen.[3] Rupture may result in pain in the abdomen or back, low blood pressure, or loss of consciousness, and often results in death.[2][4]
AAAs occur most commonly in those over 50 years old, in men, and among those with a family history.[2] Additional risk factors include smoking, high blood pressure, and other heart or blood vessel diseases.[5] Genetic conditions with an increased risk include Marfan syndrome and Ehlers-Danlos syndrome. AAAs are the most common form of aortic aneurysm.[6] About 85% occur below the kidneys with the rest either at the level of or above the kidneys.[2] In the United States, screening with ultrasound is recommended for males between 65 and 75 years of age with a history of smoking.[7] In the United Kingdom, screening all men over 65 is recommended.[2] Once an aneurysm is found, further ultrasounds are typically done on a regular basis.[3]
Not smoking is the single best way to prevent the disease. Other methods of prevention include treating high blood pressure, treating high blood cholesterol and not being overweight. Surgery is usually recommended when an AAA's diameter grows to >5.5 cm in males and >5.0 cm in females.[2] Other reasons for repair include the presence of symptoms and a rapid increase in size (more than one centimeter per year).[3] Repair may be either by open surgery or endovascular aneurysm repair (EVAR).[2] As compared to open surgery, EVAR has a lower risk of death in the short term and a shorter hospital stay, but may not always be an option.[2][8][9] There does not appear to be a difference in longer term outcomes between the two.[10] With EVAR there is a higher need for repeat procedures.[11]
AAAs affect between 2 and 8% of males over the age of 65. Rates among women are one-fourth as high. In those with an aneurysm less than 5.5 cm the risk of rupture in the next year is less than 1%. Among those with an aneurysm between 5.5 and 7 cm, the risk is about 10%, while for those with an aneurysm greater than 7 cm the risk is about 33%. Mortality if ruptured is 85% to 90%.[2] During 2013, aortic aneurysms resulted in 152,000 deaths, up from 100,000 in 1990.[12] In the United States AAAs resulted in between 10,000 and 18,000 deaths in 2009.[6]
Signs and symptoms

The vast majority of aneurysms are asymptomatic. However, as abdominal aortic aneurysms expand, they may become painful and lead to pulsating sensations in the abdomen or pain in the chest, lower back, or scrotum.[13] The risk of rupture is high in a symptomatic aneurysm, which is therefore considered an indication for surgery. The complications include rupture, peripheral embolization, acute aortic occlusion, and aortocaval (between the aorta and inferior vena cava) or aortoduodenal (between the aorta and the duodenum) fistulae. On physical examination, a palpable and pulsatile abdominal mass can be noted. Bruits can be present in case of renal or visceral arterial stenosis.[14]
Aortic rupture
The signs and symptoms of a ruptured AAA may include severe pain in the lower back, flank, abdomen or groin. A mass that pulses with the heart beat may also be felt.[4] The bleeding can lead to a hypovolemic shock with low blood pressure and a fast heart rate. This may lead to brief passing out.[4]
The mortality of AAA rupture is as high as 90 percent. 65 to 75 percent of patients die before they arrive at the hospital and up to 90 percent die before they reach the operating room.[15] The bleeding can be retroperitoneal or into the abdominal cavity. Rupture can also create a connection between the aorta and intestine or inferior vena cava.[16] Flank ecchymosis (appearance of a bruise) is a sign of retroperitoneal bleeding, and is also called Grey Turner's sign.[14][17]
Aortic aneurysm rupture may be mistaken for the pain of kidney stones, or muscle related back pain.[4]
Causes
The exact causes of the degenerative process remain unclear. There are, however, some hypotheses and well-defined risk factors.[18]
- Tobacco smoking: More than 90% of people who develop an AAA have smoked at some point in their lives.[19]
- Alcohol and hypertension: The inflammation caused by prolonged use of alcohol and hypertensive effects from abdominal edema which leads to hemorrhoids, esophageal varices, and other conditions, is also considered a long-term cause of AAA.
- Genetic influences: The influence of genetic factors is high. AAA is four to six times more common in male siblings of known patients, with a risk of 20-30%.[20] The high familial prevalence rate is most notable in male individuals.[21] There are many hypotheses about the exact genetic disorder that could cause higher incidence of AAA among male members of the affected families. Some presumed that the influence of alpha 1-antitrypsin deficiency could be crucial, while other experimental works favored the hypothesis of X-linked mutation, which would explain the lower incidence in heterozygous females. Other hypotheses of genetic etiology have also been formulated.[14] Connective tissue disorders, such as Marfan syndrome and Ehlers-Danlos syndrome, have also been strongly associated with AAA.[16] Both relapsing polychondritis and pseudoxanthoma elasticum may cause abdominal aortic aneurysm.[22]
- Atherosclerosis: The AAA was long considered to be caused by atherosclerosis, because the walls of the AAA are frequently affected heavily. However, this hypothesis cannot be used to explain the initial defect and the development of occlusion, which is observed in the process.[14]
- Other causes of the development of AAA include: infection, trauma, arteritis, and cystic medial necrosis.[16]
Pathophysiology

The most striking histopathological changes of aneurysmatic aorta are seen in tunica media and intima. These include accumulation of lipids in foam cells, extracellular free cholesterol crystals, calcifications, thrombosis, and ulcerations and ruptures of the layers. There is an adventitial inflammatory infiltrate.[16] However, the degradation of tunica media by means of proteolytic process seems to be the basic pathophysiologic mechanism of the AAA development. Some researchers report increased expression and activity of matrix metalloproteinases in individuals with AAA. This leads to elimination of elastin from the media, rendering the aortic wall more susceptible to the influence of the blood pressure.[14] Others reports have suggested the serine protease granzyme B may contribute to aortic aneurysm rupture through the cleavage of decorin leading to disrupted collagen organization and tensile strength of the adventitia.[23][24] There is also a reduced amount of vasa vasorum in the abdominal aorta (compared to the thoracic aorta); consequently, the tunica media must rely mostly on diffusion for nutrition which makes it more susceptible to damage.[25]
Hemodynamics affect the development of AAA. It has a predilection for the infrarenal aorta. The histological structure and mechanical characteristics of infrarenal aorta differ from those of the thoracic aorta. The diameter decreases from the root to the bifurcation, and the wall of the abdominal aorta also contains a lesser proportion of elastin. The mechanical tension in abdominal aortic wall is therefore higher than in the thoracic aortic wall. The elasticity and distensibility also decline with age, which can result in gradual dilatation of the segment. Higher intraluminal pressure in patients with arterial hypertension markedly contributes to the progression of the pathological process.[16] Suitable hemodynamics conditions may be linked to specific intraluminal thrombus (ILT) patterns along the aortic lumen, which in turn may affect AAA's development.[26]
Diagnosis
An abdominal aortic aneurysm is usually diagnosed by physical exam, ultrasound, or CT. Plain abdominal radiographs may show the outline of an aneurysm when its walls are calcified. However, this is the case in less than half of all aneurysms. Ultrasonography is used to screen for aneurysms and to determine the size of any present. Additionally, free peritoneal fluid can be detected. It is noninvasive and sensitive, but the presence of bowel gas or obesity may limit its usefulness. CT scan has a nearly 100% sensitivity for aneurysm and is also useful in preoperative planning, detailing the anatomy and possibility for endovascular repair. In the case of suspected rupture, it can also reliably detect retroperitoneal fluid. Alternative less often used methods for visualization of the aneurysm include MRI and angiography.
An aneurysm ruptures if the mechanical stress (tension per area) exceeds the local wall strength; consequently, peak wall stress (PWS)[27] and peak wall rupture risk (PWRR)[28] have been found to be more reliable parameters than diameter to assess AAA rupture risk. Medical software allows computing these rupture risk indices from standard clinical CT data and provides a patient-specific AAA rupture risk diagnosis.[29] This type of biomechanical approach has been shown to accurately predict the location of AAA rupture.[30]
-

A ruptured AAA with an open arrow marking the aneurysm and the closed arrow marking the free blood in the abdomen
-
Sagittal CT image of an AAA
-

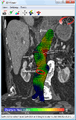
Biomechanical AAA rupture risk prediction
-

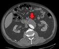
An axial contrast enhanced CT scan demonstrating an abdominal aortic aneurysm of 4.8 by 3.8 cm
-
Ultrasound image of a normal abdominal aorta measuring 1.9 cm in diameter
-

The faint outline of the calcified wall of an AAA as seen on plain X-ray
-
Abdominal aortic aneurysms (3.4 cm)
-

An aortic aneurysm as seen on CT with a small area of remaining blood flow
Classification
Abdominal aortic aneurysms are commonly divided according to their size and symptomatology. An aneurysm is usually defined as an outer aortic diameter over 3 cm (normal diameter of the aorta is around 2 cm).[31] If the outer diameter exceeds 5.5 cm, the aneurysm is considered to be large.[32] A ruptured AAA is a clinical diagnosis involving the presence of the triad of abdominal pain, shock and a pulsatile abdominal mass. If these conditions are present, indicating AAA rupture, no further clinical investigations are needed before surgery.[33]
Prevention
- Smoking cessation
- Treatment of hypertension
Screening
The U.S. Preventive Services Task Force recommends a single screening ultrasound for abdominal aortic aneurysm in males age 65 to 75 years who have a history of smoking.[7] There is an estimated number needed to screen of approximately 850 people.[34] It is unclear if screening is useful in women aged 65 to 75 who have smoked and they recommend against screening in women who have never smoked.[7]
Repeat ultrasounds should be carried out in those who have an aortic size greater than 3.0 cm.[35] In those whose aorta is between 3.0 and 3.9 cm this should be every three years, if between 4.0 and 4.4 cm every two year, and if between 4.5 and 5.4 cm every year.[35]
In the United Kingdom one time screening is recommended in all males over 65 years of age.[2] Australia has no guideline on screening.[36]
Management
The treatment options for asymptomatic AAA are conservative management, surveillance with a view to eventual repair, and immediate repair. Two modes of repair are available for an AAA: open aneurysm repair (OR), and endovascular aneurysm repair (EVAR). An intervention is often recommended if the aneurysm grows more than 1 cm per year or it is bigger than 5.5 cm.[37] Repair is also indicated for symptomatic aneurysms.
Conservative
Conservative management is indicated in people where repair carries a high risk of mortality and in patients where repair is unlikely to improve life expectancy. The mainstay of the conservative treatment is smoking cessation.
Surveillance is indicated in small asymptomatic aneurysms (less than 5.5 cm) where the risk of repair exceeds the risk of rupture.[37] As an AAA grows in diameter, the risk of rupture increases. Surveillance until the aneurysm has reached a diameter of 5.5 cm has not been shown to have a higher risk as compared to early intervention.[38][39]
Medication
No medical therapy has been found to be effective at decreasing the growth rate or rupture rate of asymptomatic AAAs.[2] Blood pressure and lipids should however be treated per usual.[31]
Surgery
Surgery for an abdominal aortic aneurysm is known as AAA surgery or AAA repair.
The threshold for repair varies slightly from individual to individual, depending on the balance of risks and benefits when considering repair versus ongoing surveillance. The size of an individual's native aorta may influence this, along with the presence of comorbidities that increase operative risk or decrease life expectancy. Evidence; however, does not support repair if the size is between 4 cm and 5.5 cm.[37]
Open repair
Open repair is indicated in young patients as an elective procedure, or in growing or large, symptomatic or ruptured aneurysms. The aorta must be clamped off during the repair, denying blood to the abdominal organs and sections of the spinal cord; this can cause a range of complications. It is essential to make the critical part of the operation fast, so the incision is typically made large enough to facilitate the fastest repair. Recovery after open AAA surgery takes significant time. The minimums are a few days in intensive care, a week total in the hospital and a few months before full recovery.
Endovascular repair

Endovascular repair first became practical in the 1990s and although it is now an established alternative to open repair, its role is yet to be clearly defined. It is generally indicated in older, high-risk patients or patients unfit for open repair. However, endovascular repair is feasible for only a proportion of AAAs, depending on the morphology of the aneurysm. The main advantages over open repair are that there is less peri-operative mortality, less time in intensive care, less time in hospital overall and earlier return to normal activity. Disadvantages of endovascular repair include a requirement for more frequent ongoing hospital reviews, and a higher chance of further procedures being required. According to the latest studies, the EVAR procedure does not offer any benefit for overall survival or health-related quality of life compared to open surgery, although aneurysm-related mortality is lower.[40][41][42][43] In patients unfit for open repair, EVAR plus conservative management was associated with no benefit, more complications, subsequent procedures and higher costs compared to conservative management alone.[44] Endovascular treatment for paraanastomotic aneurysms after aortobiiliac reconstruction is also a possibility.[45] A 2014 Cochrane review found tentative evidence of no difference in outcomes between endovascular and open repair of ruptured AAA in the first month.[46]
Rupture
In those with aortic rupture of the AAA, treatment is immediate surgical repair. There appears to be benefits to allowing permissive hypotension and limiting the use of intravenous fluids during transport to the operating room.[47]
Prognosis
| AAA Size (cm) | Growth rate (cm/yr)[48] | Annual rupture risk (%)[49] |
|---|---|---|
| 3.0-3.9 | 0.39 | 0 |
| 4.0-4.9 | 0.36 | 0.5-5 |
| 5.0-5.9 | 0.43 | 3-15 |
| 6.0-6.9 | 0.64 | 10-20 |
| >=7.0 | - | 20-50 |
Although the current standard of determining rupture risk is based on maximum diameter, it is known that smaller AAAs that fall below this threshold (diameter<5.5 cm) may also rupture, and larger AAAs (diameter>5.5 cm) may remain stable.[50][51] In one report, it was shown that 10–24% of ruptured AAAs were less than 5 cm in diameter.[51] It has also been reported that of 473 non-repaired AAAs examined from autopsy reports, there were 118 cases of rupture, 13% of which were less than 5 cm in diameter. This study also showed that 60% of the AAAs greater than 5 cm (including 54% of those AAAs between 7.1 and 10 cm) never experienced rupture.[52] Vorp et al. later deduced from the findings of Darling et al. that if the maximum diameter criterion were followed for the 473 subjects, only 7% (34/473) of cases would have succumbed to rupture prior to surgical intervention as the diameter was less than 5 cm, with 25% (116/473) of cases possibly undergoing unnecessary surgery since these AAAs may never have ruptured.[52]
Alternative methods of rupture assessment have been recently reported. The majority of these approaches involve the numerical analysis of AAAs using the common engineering technique of the finite element method (FEM) to determine the wall stress distributions. Recent reports have shown that these stress distributions have been shown to correlate to the overall geometry of the AAA rather than solely to the maximum diameter.[53][54][55] It is also known that wall stress alone does not completely govern failure as an AAA will usually rupture when the wall stress exceeds the wall strength. In light of this, rupture assessment may be more accurate if both the patient-specific wall stress is coupled together with patient-specific wall strength. A non-invasive method of determining patient-dependent wall strength was recently reported,[56] with more traditional approaches to strength determination via tensile testing performed by other researchers in the field.[57][58][59] Some of the more recently proposed AAA rupture-risk assessment methods include: AAA wall stress;[27][60][61] AAA expansion rate;[62] degree of asymmetry;[55] presence of intraluminal thrombus (ILT);[63] a rupture potential index (RPI);[64][65] a finite element analysis rupture index (FEARI);[66] biomechanical factors coupled with computer analysis;[67] growth of ILT;[68] geometrical parameters of the AAA;[69] and also a method of determining AAA growth and rupture based on mathematical models.[70][71]
The post-operative mortality for an already ruptured AAA has slowly decreased over several decades but remains higher than 40%.[33] However, if the AAA is surgically repaired before rupture, the post-operative mortality rate is substantially lower: approximately 1-6%.[72]
Epidemiology
The occurrence of AAA varies by ethnicity. In the United Kingdom the rate of AAA in Caucasian men older than 65 years is about 4.7%, while in Asian men it is 0.45%.[73] It is also less common in individuals of African, and Hispanic heritage.[2] They occur four times more often in men than women.[2]
There are at least 13,000 deaths yearly in the U.S. secondary to AAA rupture.[2] The peak number of new cases per year among males is around 70 years of age, the percentage of males affect over 60 years is 2-6%. The frequency is much higher in smokers than in non-smokers (8:1), and the risk decreases slowly after smoking cessation.[74] In the U.S., the incidence of AAA is 2-4% in the adult population.[14]
Rupture of the AAA occurs in 1-3% of men aged 65 or more, the mortality is 70-95%.[32]
History
The first historical records about AAA are from Ancient Rome in the 2nd century AD, when Greek surgeon Antyllus tried to treat the AAA with proximal and distal ligature, central incision and removal of thrombotic material from the aneurysm. However, attempts to treat the AAA surgically were unsuccessful until 1923. In that year, Rudolph Matas (who also proposed the concept of endoaneurysmorrhaphy), performed the first successful aortic ligation on a human.[75] Other methods that were successful in treating the AAA included wrapping the aorta with polyethene cellophane, which induced fibrosis and restricted the growth of the aneurysm. Albert Einstein was operated on by Rudolph Nissen with use of this technique in 1949, and survived five years after the operation, though he eventually died when the aneurysm ruptured.[76] Endovascular aneurysm repair was first performed in the late 1980s and has been widely adopted in the subsequent decades. Endovascular repair was first used for treating a ruptured aneurysm in Nottingham in 1994[77]
Former presidential candidate Bob Dole had an abdominal aortic aneurysm in 2001 and was treated surgically by vascular surgeon Kenneth Ouriel. The operation was successful. In 1993, country music singer Conway Twitty died from AAA, and actor George C. Scott also died of an Abdominal Aneurysm.[78]
Society and culture
In 2001 former presidential candidate Bob Dole underwent surgery for an abdominal aortic aneurysm in which a team of surgeons led by Doctor Kenneth Ouriel inserted a stent graft:
| “ | Ouriel said that the team inserted a Y-shaped tube through an incision in Dole's leg and placed it inside the weakened portion of the aorta. The aneurysm will eventually contract around the stent, which will remain in place for the rest of Dole's life.[78] | ” |
Actor Robert Jacks, who played Leatherface in Texas Chainsaw Massacre: The Next Generation, died from an abdominal aneurysm on August 8, 2001, just one day shy of his 42nd birthday. His father also died from the same cause when Robert was a child.
Musician Conway Twitty died in June 1993 from an abdominal aortic aneurysm, aged 59, two months before the release of what would be his final studio album, Final Touches.
Research
Risk assessment
There have been many calls for alternative approaches to rupture-risk assessment over the past number of years, with many believing that a biomechanics-based approach may be more suitable than the current diameter approach. Numerical modelling is a valuable tool to researchers allowing approximate wall stresses to be calculated, thus revealing the rupture potential of a particular aneurysm. Experimental models are required to validate these numerical results, and provide a further insight into the biomechanical behaviour of the AAA. In vivo, AAAs exhibit a varying range of material strengths[79] from localised weak hypoxic regions[80] to much stronger regions and areas of calcifications.[81]
Experimental models
Experimental models can now be manufactured using a novel technique involving the injection-moulding lost-wax manufacturing process to create patient-specific anatomically correct AAA replicas.[82] Work has also focused on developing more realistic material analogues to those in vivo, and recently a novel range of silicone-rubbers was created allowing the varying material properties of the AAA to be more accurately represented.[83] These rubber models can also be used in a variety of experimental testing from stress analysis using the photoelastic method[84] to deterimining whether the locations of rupture experimentally correlate with those predicted numerically.[85] New endovascular devices are being developed that are able to treat more complex and tortuous anatomies.[86]
Prevention and treatment
An animal study showed that removing a single protein prevents early damage in blood vessels from triggering a later-stage, complications. By eliminating the gene for a signaling protein called cyclophilin A (CypA) from a strain of mice, researchers were able to provide complete protection against abdominal aortic aneurysm.[87]
Other recent research identified Granzyme B (GZMB) (a protein-degrading enzyme) to be a potential target in the treatment of abdominal aortic aneurysms. Elimination of this enzyme in mice models both slowed the progression of aneurysms and improved survival.[88][89]
References
- ↑ Logan, Carolynn M.; Rice, M. Katherine (1987). Logan's Medical and Scientific Abbreviations. Philadelphia: J. B. Lippincott Company. p. 3. ISBN 0-397-54589-4.
- 1 2 3 4 5 6 7 8 9 10 11 12 13 14 15 Kent KC (27 November 2014). "Clinical practice. Abdominal aortic aneurysms.". The New England Journal of Medicine. 371 (22): 2101–8. doi:10.1056/NEJMcp1401430. PMID 25427112.
- 1 2 3 4 Upchurch GR, Schaub TA (2006). "Abdominal aortic aneurysm". Am Fam Physician. 73 (7): 1198–204. PMID 16623206.
- 1 2 3 4 Spangler R, Van Pham T, Khoujah D, Martinez JP (2014). "Abdominal emergencies in the geriatric patient.". International journal of emergency medicine. 7 (1): 43. doi:10.1186/s12245-014-0043-2. PMID 25635203.
- ↑ Wittels K (November 2011). "Aortic emergencies.". Emergency medicine clinics of North America. 29 (4): 789–800, vii. doi:10.1016/j.emc.2011.09.015. PMID 22040707.
- 1 2 "Aortic Aneurysm Fact Sheet". cdc.gov. July 22, 2014. Retrieved 3 February 2015.
- 1 2 3 LeFevre ML (19 August 2014). "Screening for abdominal aortic aneurysm: U.S. Preventive Services Task Force recommendation statement.". Annals of Internal Medicine. 161 (4): 281–90. doi:10.7326/m14-1204. PMID 24957320.
- ↑ Thomas DM, Hulten EA, Ellis ST, Anderson DM, Anderson N, McRae F, Malik JA, Villines TC, Slim AM (2014). "Open versus Endovascular Repair of Abdominal Aortic Aneurysm in the Elective and Emergent Setting in a Pooled Population of 37,781 Patients: A Systematic Review and Meta-Analysis.". ISRN cardiology. 2014: 149243. doi:10.1155/2014/149243. PMID 25006502.
- ↑ Biancari F, Catania A, D'Andrea V (November 2011). "Elective endovascular vs. open repair for abdominal aortic aneurysm in patients aged 80 years and older: systematic review and meta-analysis.". European Journal of Vascular and Endovascular Surgery. 42 (5): 571–6. doi:10.1016/j.ejvs.2011.07.011. PMID 21820922.
- ↑ Paravastu SC, Jayarajasingam R, Cottam R, Palfreyman SJ, Michaels JA, Thomas SM (23 January 2014). "Endovascular repair of abdominal aortic aneurysm.". The Cochrane database of systematic reviews. 1: CD004178. doi:10.1002/14651858.CD004178.pub2. PMID 24453068.
- ↑ Ilyas S, Shaida N, Thakor AS, Winterbottom A, Cousins C (February 2015). "Endovascular aneurysm repair (EVAR) follow-up imaging: the assessment and treatment of common postoperative complications.". Clinical radiology. 70 (2): 183–196. doi:10.1016/j.crad.2014.09.010. PMID 25443774.
- ↑ GBD 2013 Mortality Causes of Death Collaborators (17 December 2014). "Global, regional, and national age-sex specific all-cause and cause-specific mortality for 240 causes of death, 1990-2013: a systematic analysis for the Global Burden of Disease Study 2013". Lancet. 385 (9963): 117–71. doi:10.1016/S0140-6736(14)61682-2. PMC 4340604
. PMID 25530442. - ↑ Fauci, Anthony (2008-03-06). "242". Harrison's Principles of Internal Medicine (17 ed.). McGraw-Hill Professional. ISBN 0-07-146633-9.
- 1 2 3 4 5 6 Abdominal Aortic Aneurysm at eMedicine
- ↑ Brown LC, Powell JT (September 1999). "Risk Factors for Aneurysm Rupture in Patients Kept Under Ultrasound Surveillance". Annals of Surgery. 230 (3): 289–96; discussion 296–7. doi:10.1097/00000658-199909000-00002. PMC 1420874
. PMID 10493476. - 1 2 3 4 5 Treska V. et al.:Aneuryzma břišní aorty, Prague, 1999, ISBN 80-7169-724-9
- ↑ Goldman, Lee. Goldman's Cecil Medicine (24th ed.). Philadelphia: Elsevier Saunders. p. 837. ISBN 1437727883.
- ↑ http://www.danmedbul.dk/portal/pls/portal/docs/6348849.PDF[]
- ↑ Greenhalgh RM, Powell JT (January 2008). "Endovascular repair of abdominal aortic aneurysm". N. Engl. J. Med. 358 (5): 494–501. doi:10.1056/NEJMct0707524. PMID 18234753.
- ↑ Baird PA, Sadovnick AD, Yee IM, Cole CW, Cole L (Sep 1995). "Sibling risks of abdominal aortic aneurysm". Lancet. 346 (8975): 601–4. doi:10.1016/S0140-6736(95)91436-6. PMID 7651004.
- ↑ Clifton MA (Nov 1977). "Familial abdominal aortic aneurysms". Br J Surg. 64 (11): 765–6. doi:10.1002/bjs.1800641102. PMID 588966.
- ↑ Rapini, Ronald P.; Bolognia, Jean L.; Jorizzo, Joseph L. (2007). Dermatology: 2-Volume Set. St. Louis: Mosby. ISBN 1-4160-2999-0.
- ↑ Chamberlain CM, Ang LS, Boivin WA, Cooper DM, Williams SJ, Zhao H, Hendel A, Folkesson M, Swedenborg J, Allard MF, McManus BM, Granville DJ (2010). "Perforin-independent extracellular granzyme B activity contributes to abdominal aortic aneurysm". Am. J. Pathol. 176 (2): 1038–49. doi:10.2353/ajpath.2010.090700. PMC 2808106
. PMID 20035050. - ↑ Ang LS, Boivin WA, Williams SJ, Zhao H, Abraham T, Carmine-Simmen K, McManus BM, Bleackley RC, Granville DJ (2011). "Serpina3n attenuates granzyme B-mediated decorin cleavage and rupture in a murine model of aortic aneurysm". Cell Death Dis. 2 (9): e209. doi:10.1038/cddis.2011.88. PMC 3186906
. PMID 21900960. - ↑ MacSweeney ST, Powell JT, Greenhalgh RM (1994). "Pathogenesis of abdominal aortic aneurysm". Br J Surg. 81 (7): 935–41. doi:10.1002/bjs.1800810704. PMID 7922083.
- ↑ Biasetti J, Hussain F, Gasser TC (2011). "Blood flow and coherent vortices in the normal and aneurysmatic aortas: a fluid dynamical approach to intra-luminal thrombus formation". J R Soc Interface. 8 (63): 1449–61. doi:10.1098/rsif.2011.0041. PMC 3163425
. PMID 21471188. - 1 2 Fillinger MF, Marra SP, Raghavan ML, Kennedy FE (April 2003). "Prediction of rupture risk in abdominal aortic aneurysm during observation: wall stress versus diameter". Journal of Vascular Surgery. 37 (4): 724–32. doi:10.1067/mva.2003.213. PMID 12663969.
- ↑ Gasser TC, Auer M, Labruto F, Swedenborg J, Roy J (2010). "Biomechanical rupture risk assessment of abdominal aortic aneurysms: model complexity versus predictability of finite element simulations". Eur J Vasc Endovasc Surg. 40 (2): 176–185. doi:10.1016/j.ejvs.2010.04.003. PMID 20447844.
- ↑ http://www.vascops.com/en/vascops-A4clinics.html
- ↑ Doyle BJ, McGloughlin TM, Miller K, Powell JT, Norman PE (2014). "Regions of high wall stress can predict the future location of rupture in abdominal aortic aneurysm". Cardiovasc Intervent Radiol. 37 (3): 815–818. doi:10.1007/s00270-014-0864-7. PMID 24554200.
- 1 2 Hirsch AT, Haskal ZJ, Hertzer NR, Bakal CW, Creager MA, Halperin JL, Hiratzka LF, Murphy WR, Olin JW, Puschett JB, Rosenfield KA, Sacks D, Stanley JC, Taylor LM, White CJ, White J, White RA, Antman EM, Smith SC, Adams CD, Anderson JL, Faxon DP, Fuster V, Gibbons RJ, Hunt SA, Jacobs AK, Nishimura R, Ornato JP, Page RL, Riegel B (September 2006). "ACC/AHA Guidelines for the Management of Patients with Peripheral Arterial Disease (lower extremity, renal, mesenteric, and abdominal aortic): a collaborative report from the American Associations for Vascular Surgery/Society for Vascular Surgery, Society for Cardiovascular Angiography and Interventions, Society for Vascular Medicine and Biology, Society of Interventional Radiology, and the ACC/AHA Task Force on Practice Guidelines (writing committee to develop guidelines for the management of patients with peripheral arterial disease)—summary of recommendations". J Vasc Interv Radiol. 17 (9): 1383–97; quiz 1398. doi:10.1097/01.RVI.0000240426.53079.46. PMID 16990459.
- 1 2 Lindholt JS, Juul S, Fasting H, Henneberg EW (Apr 2005). "Screening for abdominal aortic aneurysms: single centre randomised controlled trial". BMJ. 330 (7494): 750. doi:10.1136/bmj.38369.620162.82. PMC 555873
. PMID 15757960. - 1 2 Bown MJ, Sutton AJ, Bell PR, Sayers RD (June 2002). "A meta-analysis of 50 years of ruptured abdominal aortic aneurysm repair". The British Journal of Surgery. 89 (6): 714–30. doi:10.1046/j.1365-2168.2002.02122.x. PMID 12027981.
- ↑ Cinà CS, Devereaux PJ (2005). "Review: population-based screening for abdominal aortic aneurysm reduces cause-specific mortality in older men". ACP J. Club. 143 (1): 11. PMID 15989299.
- 1 2 Bown MJ, Sweeting MJ, Brown LC, Powell JT, Thompson SG (February 2013). "Surveillance intervals for small abdominal aortic aneurysms: a meta-analysis". JAMA. 309 (8): 806–13. doi:10.1001/jama.2013.950. PMID 23443444.
- ↑ Robinson, D; Mees, B; Verhagen, H; Chuen, J (June 2013). "Aortic aneurysms - screening, surveillance and referral.". Australian family physician. 42 (6): 364–9. PMID 23781541.
- 1 2 3 Filardo, G; Powell, JT; Martinez, MA; Ballard, DJ (8 February 2015). "Surgery for small asymptomatic abdominal aortic aneurysms". The Cochrane database of systematic reviews. 2 (2): CD001835. doi:10.1002/14651858.CD001835.pub4. PMID 25927098.
- ↑ Powell JT, Brown LC, Forbes JF, Fowkes FG, Greenhalgh RM, Ruckley CV, Thompson SG (Jun 2007). "Final 12-year follow-up of surgery versus surveillance in the UK Small Aneurysm Trial". Br J Surg. 94 (6): 702–8. doi:10.1002/bjs.5778. PMID 17514693.
- ↑ Lederle FA, Wilson SE, Johnson GR, Reinke DB, Littooy FN, Acher CW, Ballard DJ, Messina LM, Gordon IL, Chute EP, Krupski WC, Busuttil SJ, Barone GW, Sparks S, Graham LM, Rapp JH, Makaroun MS, Moneta GL, Cambria RA, Makhoul RG, Eton D, Ansel HJ, Freischlag JA, Bandyk D (May 2002). "Immediate repair compared with surveillance of small abdominal aortic aneurysms". N Engl J Med. 346 (19): 1437–44. doi:10.1056/NEJMoa012573. PMID 12000813.
- ↑ Rutherford RB (Jun 2006). "Randomized EVAR trials and advent of level i evidence: a paradigm shift in management of large abdominal aortic aneurysms?". Semin Vasc Surg. 19 (2): 69–74. doi:10.1053/j.semvascsurg.2006.03.001. PMID 16782510.
- ↑ Lederle FA, Kane RL, MacDonald R, Wilt TJ (2007). "Systematic review: repair of unruptured abdominal aortic aneurysm". Annals of Internal Medicine. 146 (10): 735–41. doi:10.7326/0003-4819-146-10-200705150-00007. PMID 17502634.
- ↑ Evar Trial Participants (2005). "Endovascular aneurysm repair versus open repair in patients with abdominal aortic aneurysm (EVAR trial 1): randomised controlled trial". Lancet. 365 (9478): 2179–86. doi:10.1016/S0140-6736(05)66627-5. PMID 15978925.
- ↑ Blankensteijn JD, de Jong SE, Prinssen M, van der Ham AC, Buth J, van Sterkenburg SM, Verhagen HJ, Buskens E, Grobbee DE (Jun 2005). "Two-year outcomes after conventional or endovascular repair of abdominal aortic aneurysms". N Engl J Med. 352 (23): 2398–405. doi:10.1056/NEJMoa051255. PMID 15944424.
- ↑ Evar Trial Participants (2005). "Endovascular aneurysm repair and outcome in patients unfit for open repair of abdominal aortic aneurysm (EVAR trial 2): randomised controlled trial". Lancet. 365 (9478): 2187–92. doi:10.1016/S0140-6736(05)66628-7. PMID 15978926.
- ↑ Amato AC, Kahlberg AK, Bertoglio LB, Melissano GM, Chiesa RC (2008). "Endovascular treatment of a triple paraanastomotic aneurysm after aortobiiliac reconstruction". J Vasc Bras. 7 (3): 1–3. doi:10.1590/S1677-54492008000300016.
- ↑ Badger, S; Bedenis, R; Blair, PH; Ellis, P; Kee, F; Harkin, DW (21 July 2014). "Endovascular treatment for ruptured abdominal aortic aneurysm". The Cochrane database of systematic reviews. 7 (7): CD005261. doi:10.1002/14651858.CD005261.pub3. PMID 25042123.
- ↑ Hamilton H, Constantinou J, Ivancev K (April 2014). "The role of permissive hypotension in the management of ruptured abdominal aortic aneurysms.". The Journal of cardiovascular surgery. 55 (2): 151–9. PMID 24670823.
- ↑ Bernstein EF, Chan EL (September 1984). "Abdominal aortic aneurysm in high-risk patients. Outcome of selective management based on size and expansion rate". Ann. Surg. 200 (3): 255–63. doi:10.1097/00000658-198409000-00003. PMC 1250467
. PMID 6465980. - ↑ Brewster DC, Cronenwett JL, Hallett JW, Johnston KW, Krupski WC, Matsumura JS (May 2003). "Guidelines for the treatment of abdominal aortic aneurysms. Report of a subcommittee of the Joint Council of the American Association for Vascular Surgery and Society for Vascular Surgery". J. Vasc. Surg. 37 (5): 1106–17. doi:10.1067/mva.2003.363. PMID 12756363.
- ↑ Darling RC, Messina CR, Brewster DC, Ottinger LW (September 1977). "Autopsy study of unoperated abdominal aortic aneurysms. The case for early resection". Circulation. 56 (3 Suppl): II161–4. PMID 884821.
- 1 2 Nicholls SC, Gardner JB, Meissner MH, Johansen HK (November 1998). "Rupture in small abdominal aortic aneurysms". Journal of Vascular Surgery. 28 (5): 884–8. doi:10.1016/S0741-5214(98)70065-5. PMID 9808857.
- 1 2 Vorp DA (2007). "BIOMECHANICS OF ABDOMINAL AORTIC ANEURYSM". Journal of Biomechanics. 40 (9): 1887–902. doi:10.1016/j.jbiomech.2006.09.003. PMC 2692528
. PMID 17254589. - ↑ Vorp DA, Raghavan ML, Webster MW (April 1998). "Mechanical wall stress in abdominal aortic aneurysm: influence of diameter and asymmetry". Journal of Vascular Surgery. 27 (4): 632–9. doi:10.1016/S0741-5214(98)70227-7. PMID 9576075.
- ↑ Sacks MS, Vorp DA, Raghavan ML, Federle MP, Webster MW (1999). "In vivo three-dimensional surface geometry of abdominal aortic aneurysms". Annals of Biomedical Engineering. 27 (4): 469–79. doi:10.1114/1.202. PMID 10468231.
- 1 2 Doyle BJ, Callanan A, Burke PE, Grace PA, Walsh MT, Vorp DA, McGloughlin TM (February 2009). "Vessel Asymmetry as an Additional Diagnostic Tool in the Assessment of Abdominal Aortic Aneurysms". Journal of Vascular Surgery. 49 (2): 443–54. doi:10.1016/j.jvs.2008.08.064. PMC 2666821
. PMID 19028061. - ↑ Vande Geest JP, Wang DH, Wisniewski SR, Makaroun MS, Vorp DA (2006). "Towards A Noninvasive Method for Determination of Patient-Specific Wall Strength Distribution in Abdominal Aortic Aneurysms". Annals of Biomedical Engineering. 34 (7): 1098–1106. doi:10.1007/s10439-006-9132-6. PMID 16786395.
- ↑ Raghavan ML, Kratzberg J, Castro de Tolosa EM, Hanaoka MM, Walker P, da Silva ES (2006). "Regional distribution of wall thickness and failure properties of human abdominal aortic aneurysm". Journal of Biomechanics. 39 (16): 3010–6. doi:10.1016/j.jbiomech.2005.10.021. PMID 16337949.
- ↑ Raghavan ML, Webster MW, Vorp DA (1996). "Ex vivo biomechanical behavior of abdominal aortic aneurysm: assessment using a new mathematical model". Annals of Biomedical Engineering. 24 (5): 573–82. doi:10.1007/BF02684226. PMID 8886238.
- ↑ Thubrikar MJ, Labrosse M, Robicsek F, Al-Soudi J, Fowler B (2001). "Mechanical properties of abdominal aortic aneurysm wall". Journal of Medical Engineering & Technology. 25 (4): 133–42. doi:10.1080/03091900110057806. PMID 11601439.
- ↑ Fillinger MF, Raghavan ML, Marra SP, Cronenwett JL, Kennedy FE (September 2002). "In vivo analysis of mechanical wall stress and abdominal aortic aneurysm rupture risk". Journal of Vascular Surgery. 36 (3): 589–97. doi:10.1067/mva.2002.125478. PMID 12218986.
- ↑ Venkatasubramaniam AK, Fagan MJ, Mehta T, Mylankal KJ, Ray B, Kuhan G, Chetter IC, McCollum PT (August 2004). "A comparative study of aortic wall stress using finite element analysis for ruptured and non-ruptured abdominal aortic aneurysms". European Journal of Vascular and Endovascular Surgery. 28 (2): 168–76. doi:10.1016/j.ejvs.2004.03.029. PMID 15234698.
- ↑ Hirose Y, Takamiya M (February 1998). "Growth curve of ruptured aortic aneurysm". The Journal of Cardiovascular Surgery. 39 (1): 9–13. PMID 9537528.
- ↑ Wang DH, Makaroun MS, Webster MW, Vorp DA (September 2002). "Effect of intraluminal thrombus on wall stress in patient-specific models of abdominal aortic aneurysm". Journal of Vascular Surgery. 36 (3): 598–604. doi:10.1067/mva.2002.126087. PMID 12218961.
- ↑ Vorp DA, Vande Geest JP (August 2005). "Biomechanical determinants of abdominal aortic aneurysm rupture". Arteriosclerosis, Thrombosis, and Vascular Biology. 25 (8): 1558–66. doi:10.1161/01.ATV.0000174129.77391.55. PMID 16055757.
- ↑ Vande Geest JP, Di Martino ES, Bohra A, Makaroun MS, Vorp DA (2006). "A biomechanics-based rupture potential index for abdominal aortic aneurysm risk assessment". Annals of the New York Academy of Sciences. 1085 (1): 11–21. Bibcode:2006NYASA1085...11V. doi:10.1196/annals.1383.046. PMID 17182918.
- ↑ Doyle BJ, Callanan A, Walsh MT, Grace PA, McGloughlin TM (2009). "A finite element analysis rupture index (FEARI) as an additional tool for abdominal aortic aneurysm rupture prediction". Vascular Disease Prevention. 6: 114–121. doi:10.2174/1567270000906010114.
- ↑ Kleinstreuer C, Li Z (2006). "Analysis and computer program for rupture-risk prediction of abdominal aortic aneurysms". Biomedical Engineering Online. 5 (1): 19. doi:10.1186/1475-925X-5-19. PMC 1421417
. PMID 16529648. - ↑ Stenbaek J, Kalin B, Swedenborg J (November 2000). "Growth of thrombus may be a better predictor of rupture than diameter in patients with abdominal aortic aneurysms". European Journal of Vascular and Endovascular Surgery. 20 (5): 466–9. doi:10.1053/ejvs.2000.1217. PMID 11112467.
- ↑ Giannoglou G, Giannakoulas G, Soulis J, Chatzizisis Y, Perdikides T, Melas N, Parcharidis G, Louridas G (2006). "Predicting the risk of rupture of abdominal aortic aneurysms by utilizing various geometrical parameters: revisiting the diameter criterion". Angiology. 57 (4): 487–94. doi:10.1177/0003319706290741. PMID 17022385.
- ↑ Watton PN, Hill NA, Heil M (November 2004). "A mathematical model for the growth of the abdominal aortic aneurysm". Biomechanics and Modeling in Mechanobiology. 3 (2): 98–113. doi:10.1007/s10237-004-0052-9. PMID 15452732.
- ↑ Volokh KY, Vorp DA (2008). "A model of growth and rupture of abdominal aortic aneurysm". Journal of Biomechanics. 41 (5): 1015–21. doi:10.1016/j.jbiomech.2007.12.014. PMID 18255074.
- ↑ Greenhalgh RM, Brown LC, Kwong GP, Powell JT, Thompson SG (2004). "Comparison of endovascular aneurysm repair with open repair in patients with abdominal aortic aneurysm (EVAR trial 1), 30-day operative mortality results: randomised controlled trial". Lancet. 364 (9437): 843–8. doi:10.1016/S0140-6736(04)16979-1. PMID 15351191.
- ↑ Salem MK, Rayt HS, Hussey G, Rafelt S, Nelson CP, Sayers RD, Naylor AR, Nasim A (December 2009). "Should Asian men be included in abdominal aortic aneurysm screening programmes?". Eur J Vasc Endovasc Surg. 38 (6): 748–9. doi:10.1016/j.ejvs.2009.07.012. PMID 19666232.
- ↑ Wilmink TB, Quick CR, Day NE (Dec 1999). "The association between cigarette smoking and abdominal aortic aneurysms". J Vasc Surg. 30 (6): 1099–105. doi:10.1016/S0741-5214(99)70049-2. PMID 10587395.
- ↑ Livesay JJ, Messner GN, Vaughn WK (2005). "Milestones in Treatment of Aortic Aneurysm: Denton A. Cooley, MD, and the Texas Heart Institute". Tex Heart Inst J. 32 (2): 130–4. PMC 1163455
. PMID 16107099. - ↑ Famous Patients, Famous Operations, 2002 — Part 3: The Case of the Scientist with a Pulsating Mass from Medscape Surgery
- ↑ Yusuf SW, Whitaker SC, Chuter TA, Wenham PW, Hopkinson BR (December 1994). "Emergency endovascular repair of leaking aortic aneurysm". Lancet. 344 (8937): 1645. doi:10.1016/S0140-6736(94)90443-X. PMID 7984027.
- 1 2 "Bob Dole has surgery to treat aneurysm". USA Today via Associated Press. 2001-06-27. Retrieved 2009-09-22.
- ↑ Raghavan ML, Kratzberg J, Castro de Tolosa EM, Hanaoka MM, Walker P, da Silva ES (2006). "Regional distribution of wall thickness and failure properties of human abdominal aortic aneurysm". J. Biomech. 39 (16): 3010–3016. doi:10.1016/j.jbiomech.2005.10.021. PMID 16337949.
- ↑ Vorp DA, Lee PC, Wang DH, Makaroun MS, Nemoto EM, Ogawa S, Webster MW (2001). "Association of intraluminal thrombus in abdominal aortic aneurysm with local hypoxia and wall weakening". Journal of Vascular Surgery. 34 (2): 291–299. doi:10.1067/mva.2001.114813. PMID 11496282.
- ↑ Speelman L, Bohra A, Bosboom EM, Schurink GW, van de Vosse FN, Makaorun MS, Vorp DA (2007). "Effects of wall calcifications in patient-specific wall stress analyses of abdominal aortic aneurysms". Journal of Biomechanical Engineering. 129 (1): 105–109. doi:10.1115/1.2401189. PMID 17227104.
- ↑ Doyle BJ, Morris LG, Callanan A, Kelly P, Vorp DA, McGloughlin TM (2008). "3D reconstruction and manufacture of real abdominal aortic aneurysms: From CT scan to silicone model". Journal of Biomechanical Engineering. 130 (3): 034501. doi:10.1115/1.2907765. PMID 18532870.
- ↑ Doyle BJ, Corbett TJ, Cloonan AJ, O'Donnell MR, Walsh MT, Vorp DA, McGloughlin TM (2009). "Experimental mOdelling of Aortic Aneurysms: Novel applications of Silicone Rubbers". Medical Engineering & Physics. 31 (8): 1002–1012. doi:10.1016/j.medengphy.2009.06.002. PMC 2757445
. PMID 19595622. - ↑ Morris L, O'Donnell P, Delassus P, McGloughlin TM (2004). "Experimental assessment of stress patterns in abdominal aortic aneurysms using the photoelastic method". Strain. 40 (4): 165–172. doi:10.1111/j.1475-1305.2004.tb01425.x.
- ↑ Doyle BJ, Corbett TJ, Callanan A, Walsh MT, Vorp DA, McGloughlin TM (2009). "An Experimental and Numerical Comparison of the Rupture Locations of an Abdominal Aortic Aneurysm". Journal of Endovascular Therapy. 16 (3): 322–335. doi:10.1583/09-2697.1. PMC 2795364
. PMID 19642790. - ↑ Albertini JN, Perdikides T, Soong CV, Hinchliffe RJ, Trojanowska M, Yusuf SW (Jun 2006). "Endovascular repair of abdominal aortic aneurysms in patients with severe angulation of the proximal neck using a flexible stent-graft: European Multicenter Experience". J Cardiovasc Surg (Torino). 47 (3): 245–50. PMID 16760860.
- ↑ "Study establishes major new treatment target in diseased arteries". U.S. News & World Report. May 10, 2009.
- ↑ Chamberlain CM, Ang LS, Boivin WA, Cooper DM, Williams SJ, Zhao H, Hendel A, Folkesson M, Swedenborg J, Allard MF, McManus BM, Granville DJ (2010). "Perforin-Independent Extracellular Granzyme B Activity Contributes to Abdominal Aortic Aneurysm". The American Journal of Pathology. 176 (2): 1038–1049. doi:10.2353/ajpath.2010.090700. PMC 2808106
. PMID 20035050. - ↑ "Discovery points way for new treatment for aneurysms". University of British Columbia. January 27, 2010.
