Angularis nigra

Angularis nigra between mandibular central incisors
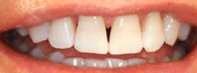
Angularis nigra between maxillary central incisors

Angularis nigra, Latin for black angle (formerly known as the black triangle), is the space or gap seen at the cervical embrasure, below the contact point of some teeth. The interdental papilla does not fully enclose the space, leading to an aperture between adjacent teeth.[1] This gap has many causes including gingival recession, and gingival withdrawal post orthodontic work.[2] Possible treatments to correct angularis nigra include addition of composite resin in the space,[3] veneer placement, or gum graft.[4] Angularis nigra is generally only treated based on the aesthetic preference of the patient[5] (although serious gum recession may warrant periodontal treatment).

Previously, lack of proper termology to report this condition was an issue, often colloquially termed the "black triangle"; angularis nigra was coined at the University of Toronto Faculty of Dentistry.[6]

References

  1. Burke, S; Burch, J; Tetz, J (1994). "Incidence and size of pretreatment overlap and posttreatment gingival embrasure space between maxillary central incisors". American Journal of Orthodontics and Dentofacial Orthopedics. 105 (5): 506–11. doi:10.1016/S0889-5406(94)70013-3. PMID 8166102.
  2. Ikeda, T; Yamaguchi, M; Meguro, D; Kasai, K (2004). "Prediction and causes of open gingival embrasure spaces between the mandibular central incisors following orthodontic treatment". Australian orthodontic journal. 20 (2): 87–92. PMID 16429878.
  3. Lenhard, M (2008). "Closing diastemas with resin composite restorations". The European journal of esthetic dentistry. 3 (3): 258–68. PMID 19655542.
  4. De Castro Pinto, RC; Colombini, BL; Ishikiriama, SK; Chambrone, L; Pustiglioni, FE; Romito, GA (2010). "The subepithelial connective tissue pedicle graft combined with the coronally advanced flap for restoring missing papilla: A report of two cases". Quintessence international. 41 (3): 213–20. PMID 20213022.
  5. Clark, D (2008). "Restoratively driven papilla regeneration: Correcting the dreaded 'black triangle'". Texas dental journal. 125 (11): 1112–5. PMID 19180945.
  6. "Archived copy". Archived from the original on 2012-01-16. Retrieved 2012-01-16.

Further reading

External links

This article is issued from Wikipedia - version of the 10/14/2016. The text is available under the Creative Commons Attribution/Share Alike but additional terms may apply for the media files.