Bacteriocyte
A bacteriocyte (Greek for bacteria cell), also called a mycetocyte, is a specialized adipocyte found in some insect groups such as aphids, tsetse flies, german cockroaches, weevils, and others. These cells contain endosymbiotic bacteria such as Buchnera species, which provide essential amino acids and other chemicals to their host. Bacteriocytes may be aggregated into an organ, the bacteriome. Bacteriocytes are maternally-transmitted, i.e. the mother transmits her endosymbionts to her offspring. In some cases, the bacteria are transmitted in the egg, as in Buchnera;[1] in others, like Wigglesworthia, they are transmitted via a milky substance that is fed to the developing insect embryo.
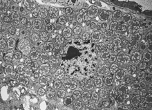
Endosymbiosis Example
Endosymbiosis is common in insects, with more than 10% of insect species relying upon intracellular bacteria for their development and survival.[2] However, not much is known of the host cells in which bacterial endosymbionts reside, called the bacteriocytes. Development of aphid (Acyrthosiphon pisum) bacteriocytes has been studied with the host cells that contain the endosymbiotic bacteria, Buchnera aphidicola. Bacteriocytes of aphids have a subpopulation of the bacteriocytes that is chosen prior to the maternal transmission of the bacteria to the embryo. Even later in the aphid's life, a second population of adipose cells are selected to become bacteriocytes. Bacteriocyte development has been maintained in aphids for 80–150 million years.[3]
References
- ↑ Douglas, A E (1998). "Nutritional interactions in insect-microbial symbioses: Aphids and their symbiotic bacteria Buchnera". Annual Review of Entomology. 43: 17–38. doi:10.1146/annurev.ento.43.1.17. ISSN 0066-4170. PMID 15012383.
- ↑ Baumann P, Moran NA, Baumann L, editors. (2000) Bacteriocyte-associated endosymbionts of insects. In: Dworkin M, editor. The prokaryotes [online]. New York: Springer. Available: http://link.springer.de/link/service/books/10125/.
- ↑ Braendle, Christian; Miura, Toru; Bickel, Ryan; Shingleton, Alexander W; Kambhampati, Srinivas; Stern, David L (2003-10-13). "Developmental Origin and Evolution of Bacteriocytes in the Aphid–Buchnera Symbiosis". PLoS Biol. 1 (1): e21. doi:10.1371/journal.pbio.0000021. PMC 212699
. PMID 14551917.

- ↑ Hoff, Mary (2007-04-10). "When Bacteria Lose a Single DNA Base, Aphids Suffer". PLoS Biol. 5 (5): e126. doi:10.1371/journal.pbio.0050126. PMC 1847844
. PMID 20076671.