Brainstem glioma

Brainstem glioma
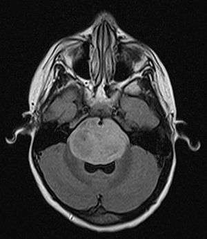
Brain stem glioma. MRI axial, with contrast
Classification and external resources
Specialty Oncology
eMedicine neuro/40

A brainstem glioma is a cancerous glioma tumor in the brainstem. Around 75% are diagnosed in children and young adults under the age of twenty, but have been known to affect older adults as well.[1] Brainstem gliomas start in the brain or spinal cord tissue and typically spread throughout the nervous system.[2]

Cause

The cause is still unknown. Researchers have not found any direct genetic link. Children irradiated for tinea capitis have been found to have an increased risk for other central nervous system tumors, such as meningiomas, gliomas, and nerve sheath tumors, but not necessarily tumors of the brain stem.

Signs and symptoms

Common symptoms include, but are not necessarily limited to:

Symptoms can develop slowly and subtly and may go unnoticed for months. In other cases, the symptoms may arise abruptly. A sudden onset of symptoms tends to occur with more rapidly growing, high-grade tumors.

Diagnosis

Neuroimaging, such as MRI, is the main diagnostic tool for brain stem gliomas. In very rare cases, surgery and biopsy are performed.

Treatment

Unlike most brain tumors, brainstem glioma is not often treated with neurosurgery due to complications in vital parts of the brain. More often, it is treated with chemotherapy and/or radiation therapy (though past use of radiation therapy has yielded mixed results.)[3]

There are several new clinical trials in process. One such trial is dendritic cell immunotherapy which uses the patient’s tumor cells and white blood cells to produce a chemotherapy that directly attacks the tumor.

However, these treatments do produce side effects; most often including nausea, the breakdown of the immune system, and fatigue. Hair loss can occur from both chemotherapy and radiation, but usually grows back after chemotherapy has ceased. Steroids such as Decadron may be required to treat swelling in the brain. Decadron can lead to weight gain and infection. Patients may also experience seizures, which need to be treated to avoid complications. For some patients there is a chance of a neurological break down, this can include, but is not limited to, confusion and memory loss.

The use of topotecan has been investigated.[4]

Prognosis

Brainstem glioma is an aggressive and dangerous cancer. Without treatment, the life expectancy is typically a few months from the time of diagnosis. With appropriate treatment, 37% survive more than one year, 20% survive 2 years. and 13% survive 3 years.This is not for all brainstem glioma, this statistic reflects DIPG. There are other brainstem gliomas.[5]

Research

Tumour Tissue Analysis[6]

Imaging Research[6]

See also

Footnotes

  1. Landolfi, Joseph (30 June 2009). "Brainstem Gliomas". eMedicine. Retrieved 15 August 2010.
  2. Salmaggi A, Fariselli L, Milanesi I, et al. (February 2008). "Natural history and management of brainstem gliomas in adults. A retrospective Italian study". J. Neurol. 255 (2): 171–7. doi:10.1007/s00415-008-0589-0. PMID 18293027.
  3. Broniscer A, Laningham FH, Kocak M, et al. (March 2006). "Intratumoral hemorrhage among children with newly diagnosed, diffuse brainstem glioma". Cancer. 106 (6): 1364–71. doi:10.1002/cncr.21749. PMID 16463390.
  4. Sanghavi SN, Needle MN, Krailo MD, Geyer JR, Ater J, Mehta MP (January 2003). "A phase I study of topotecan as a radiosensitizer for brainstem glioma of childhood: first report of the Children's Cancer Group-0952". Neuro-oncology. 5 (1): 8–13. doi:10.1215/15228517-5-1-8. PMC 1920667Freely accessible. PMID 12626128.
  5. "DIPG (Diffuse Intrinsic Pontine Glioma) Facts". thecurestartsnow.org.
  6. 1 2 just host. "Welcome justonemoreday.org - Justhost.com". justonemoreday.org.
  7. "Milestone Clinical Trial for DIPG Approved". Weill Cornell Brain and Spine Center.
  8. "Error". cancer.gov.
  9. "Gene sequencing project discovers mutations tied to deadly brain tumors in young children". medicalxpress.com.
  10. "Hair Loss Caused by Stress and Trauma". surethik.com.
  11. "New system uses nanodiamonds to deliver chemotherapy drugs directly to brain tumors". phys.org.
  12. "Researchers identify a switch that controls growth of most aggressive brain tumor cells". phys.org.
  13. "Genetic flaw may hold key to deadly childhood brain tumour". medicalxpress.com.
  14. ""Uni Strand" Strip method". surehair.com.
  15. European Patent Office. "EPO - Fighting cancer with nanotechnology". epo.org.
  16. Registry Research | DIPG Registry

References

This article is issued from Wikipedia - version of the 11/7/2016. The text is available under the Creative Commons Attribution/Share Alike but additional terms may apply for the media files.