Calcinosis cutis
| Calcinosis cutis | |
|---|---|
|
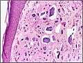
Micrograph of calcinosis cutis. The calcification is purple (bottom of image). H&E stain. | |
| Classification and external resources | |
| Specialty | dermatology |
| ICD-10 | L94.2 |
| ICD-9-CM | 709.3 |
| DiseasesDB | 1896 |
| eMedicine | derm/66 |
Calcinosis cutis (or cutaneous calcification) is a type of calcinosis wherein calcium deposits form in the skin. A variety of factors can result in this condition. The most common source is dystrophic calcification, which occurs in soft tissue as a response to injury. In addition, calcinosis is seen in Limited Cutaneous Systemic Sclerosis, also known as CREST syndrome (the "C" in CREST). In dogs, calcinosis cutis is found in young, large breed dogs and is thought to occur after a traumatic injury.
Types
Calcinosis cutis may be divided into the following types:[1]:527–530
- Dystrophic calcinosis cutis
- Metastatic calcinosis cutis
- Iatrogenic calcinosis cutis
- Traumatic calcinosis cutis
- Idiopathic calcinosis cutis
- Idiopathic scrotal calcinosis
- Subepidermal calcified nodule
- Tumoral calcinosis
- Osteoma cutis
Causes
Calcinosis may be the results of a variety of causes such as:
- Trauma to the region
- Inflammation (bug bites, acne)
- Varicose veins
- Infections
- Tumors (malignant or benign)
- Diseases of connective tissue
- Hypercalcemia
- Hyperphosphatemia
Gallery
-

Calcinosis cutis in a dog with Cushing's syndrome
-

Calcinosis cutis in human tissue
See also
References
Bad link.
Also tried removing /CalCut01.htm and it sti;; did not work.
