Cingulate cortex

Cingulate cortex

Medial surface of left cerebral hemisphere, with cingulate gyrus and cingulate sulcus highlighted.
Details
Part of Cerebral cortex
Artery Anterior cerebral
Vein Superior sagittal sinus
Identifiers
Latin Cortex cingularis, gyrus cinguli
Acronym(s) Cg
MeSH A08.186.211.577.330
NeuroNames hier-141
NeuroLex ID Cingulate cortex
TA A14.1.09.231
FMA 62434

Anatomical terms of neuroanatomy

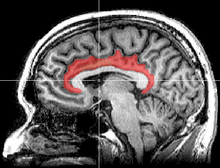
Sagittal MRI slice with highlighting indicating location of the cingulate cortex.
Sagittal MRI slice with highlighting indicating location of the cingulate cortex.
Coronal section of brain. Cingulate cortex is shown in yellow.

The cingulate cortex, a part of the limbic cortex, is a part of the brain situated in the medial aspect of the cerebral cortex. The cingulate cortex includes the entire cingulate gyrus, which lies immediately above the corpus callosum, and the continuation of this in the cingulate sulcus. The cingulate cortex is usually considered part of the limbic lobe.

It receives inputs from the thalamus and the neocortex, and projects to the entorhinal cortex via the cingulum. It is an integral part of the limbic system, which is involved with emotion formation and processing,[1] learning,[2] and memory.[3][4] The combination of these three functions makes the cingulate gyrus highly influential in linking behavioral outcomes to motivation (e.g. a certain action induced a positive emotional response, which results in learning).[5] This role makes the cingulate cortex highly important in disorders such as depression[6] and schizophrenia.[7] It also plays a role in executive function and respiratory control.

Brodmann areas of a medial section of the right hemisphere.

Etymology

Cingulate: Latin, vocative masculine singular of cingulātus (girdle)

Structure

Based on cerebral cytoarchitectonics it has been divided into the Brodmann areas 23, 24, 26, 29, 30, 31, 32 and 33. The areas 26, 29 and 30 are usually referred to as the retrosplenial areas.

Micrograph showing spindle neurons of the cingulate cortex. HE-LFB stain.

Anterior cingulate cortex

This corresponds to areas 24, 32 and 33 of Brodmann and LA of Constantin von Economo and Bailey and von Bonin. It is continued anteriorly by the subgenual area (area 25, located below the genu of the corpus callosum). It is cytoarchitectonically agranular. It has a gyral and a sulcal part. Anterior cingulate cortex can further be divided in the perigenual anterior cingulate cortex (near the genu) and midcingulate cortex. The anterior cingulate cortex receives primarily its afferent axons from the intralaminar and midline thalamic nuclei (see thalamus). The nucleus anterior receives mamillo-thalamic afferences. The mamillary neurons receive axons from the subiculum. The whole forms a neuronal circuit in the limbic system known as the Papez circuit.[8] The anterior cingulate cortex sends axons to the anterior nucleus and through the cingulum to other Broca's limbic areas. The ACC is involved in error and conflict detection processes.

Posterior cingulate cortex

This corresponds to areas 23 and 31 of Brodmann LP of von Economo and Bailey and von Bonin. Its cellular structure is granular. It is followed posteriorly by the retrosplenial cortex (area 29). Dorsally is the granular area 31. The posterior cingulate cortex receives a great part of its afferent axons from the superficial nucleus (or nucleus superior- falsely LD-) of the thalamus (see thalamus), which itself receives axons from the subiculum. To some extent it thus duplicates Papez' circuit. It receives also direct afferents from the subiculum of the hippocampus. Posterior cingulate cortex hypometabolism (with 18F-FDG PET) has been defined in Alzheimer's disease.

Inputs of the anterior cingulate gyrus

A retrograde tracing experiment on macaque monkeys revealed that ventral anterior (VA) and ventral lateral (VL) nuclei of the thalamus are connected with motor areas of cingulate sulcus.[9] The retrosplenial region (Brodmann’s area 26, 29 and 30) of cingulate gyrus can be divided into three parts: i.e., retrosplenial granular cortex A, retrosplenial granular cortex B and retrosplenial dysgranular cortex. The hippocampal formation sends dense projections to retrosplenial granular cortex A and B and fewer projections to the retrosplenial dysgranular cortex. The postsubiculum sends projections to retrosplenial granular cortex A and B and to the retrosplenial dysgranular cortex. The dorsal subiculum sends projections to retrosplenial granular cortex B, while ventral subiculum sends projections to retrosplenial granular cortex A. Entorhinal cortex – caudal parts – sends projections to the retrosplenial dysgranular cortex.[10]

Outputs of the anterior cingulate gyrus

The rostral cingulate gyrus (Brodmanns’s area 32) projects to the rostral superior temporal gyrus, midorbitofrontal cortex and lateral prefrontal cortex.[11] The ventral anterior cingulate (Brodmann’s area 24) sends projections to the anterior insular cortex, premotor cortex (Brodmann’s area 6), Brodmann’s area 8, the perirhinal area, the orbitofrontal cortex (Brodmann’s area 12), the laterobasal nucleus of amygdala, and the rostral part of the inferior parietal lobule.[11] Injecting wheat germ agglutinin and horseradish peroxidase conjugate into the anterior cingulate gyrus of cats, revealed that the anterior cingulate gyrus has reciprocal connections with the rostral part of the thalamic posterior lateral nucleus and rostral end of the pulvinar.[12] The postsubiculum receives projections from the retrospleinal dysgranular cortex and the retrosplenial granular cortex A and B. The parasubiculum receives projections from the retrosplenial dysgranular cortex and retrosplenial granular cortex A. Caudal and lateral parts of the entorhinal cortex get projections from the retrosplenial dysgranular cortex, while the caudal medial entorhinal cortex receives projections from the retrosplenial granular cortex A. The retrosplenial dysgranular cortex sends projections to the perirhinal cortex. The retrospleinal granular cortex A sends projection to the rostral presubiculum.[10]

Outputs of the posterior cingulate gyrus

The posterior cingulate cortex (Brodmann’s area 23) sends projections to dorsolateral prefrontal cortex (Brodmann’s area 9), anterior prefrontal cortex (Brodmann’s area 10), orbitofrontal cortex (Brodmanns’ area 11), the parahippocampal gyrus, posterior part of the inferior parietal lobule, the presubiculum, the superior temporal sulcus and the retrosplenial region.[11] The retrosplenial cortex and caudal part of the cingulate cortex are connected with rostral prefrontal cortex via cingulate fascicule in macaque monkeys[13] Ventral posterior cingulate cortex was found to be reciprocally connected with the caudal part of the posterior parietal lobe in rhesus monkeys.[14] Also the medial posterior parietal cortex is connected with posterior ventral bank of the cingulate sulcus.[14]

Other connections

The anterior cingulate is connected to the posterior cingulate at least in rabbits. Posterior cingulate gyrus is connected with retrosplenial cortex and this connection is part of the dorsal splenium of the corpus callosum. The anterior and posterior cingulate gyrus and retrosplenial cortex send projections to subiculum and presubiculum.[15]

Clinical significance

Schizophrenia

Using a three-dimensional magnetic resonance imaging procedure to measure the volume of the rostral anterior cingulate gyrus (perigenual cingulate gyrus), Takahashi et al. (2003) found that the rostral anterior cingulate gyrus is larger in control (healthy) females than males, but this sex difference was not found in schizophrenic patients. Schizophrenic patients also had a smaller volume of perigenual cingulate gyrus than control subjects.[16]

Haznedar et al. (2004) studied metabolic rate of glucose in anterior and posterior cingulate gyrus in patients with schizophrenia, schizotypal personality disorder (SPD) and compared them with a control group. The metabolic rate of glucose was found to be lower in the left anterior cingulate gyrus and the right posterior cingulate gyrus in patients with schizophrenia relative to controls. Although SPD patients were expected to show a glucose metabolic rate somewhere between the schizophrenic and controls, they actually had higher metabolic glucose rate in the left posterior cingulate gyrus. The volume of the left anterior cingulate gyrus was reduced in schizophrenic patients as compared with controls, but there was not any difference between SPD patients and schizophrenic patients. From these results it appears that the schizophrenia and SPD are two different disorders.[17]

A study of the volume of the gray and white matter in the anterior cingulate gyrus in patients with schizophrenia and their healthy first and second degree relatives revealed no significant difference in the volume of the white matter in the schizophrenic patients and their healthy relatives. Nonetheless a significant difference in the volume of gray matter was detected, schizophrenic patients had smaller volume of gray matter than their second degree relatives, but not relative to their first degree relatives. Both schizophrenic and their first degree healthy relatives have smaller gray matter volume than the second degree healthy relatives. It appears that genes are responsible for the decreased volume of gray matter in schizophrenic patients.[18]

Fujiwara et al. (2007) did an experiment in which they correlated the size of anterior cingulate gyrus in schizophrenic patients with their functioning on social cognition, psychopathology and emotions with control group. The smaller the size of anterior cingulate gyrus, the lower was the level of social functioning and the higher was the psychopathology in schizophrenic patient. The anterior cingulate gyrus was found to be bilaterally smaller in patients with schizophrenia as compared with control group. No difference in IQ tests and basic visuoperceptual ability with facial stimuli was found between schizophrenia patients and the control.[19]

Summary

Schizophrenic patients have differences in the anterior cingulate gyrus when compared with controls. The anterior cingulate gyrus was found to be smaller in schizophrenic patients.[19] The volume of the gray matter in the anterior cingulate gyrus was found to be lower in schizophrenic patients.[17][18] Healthy females have larger rostral anterior cingulate gyrus than males, this sex difference in size is absent in schizophrenic patients.[16] The metabolic rate of glucose was lower in the left anterior cingulate gyrus and in the right posterior cingulate gyrus.[17]

In addition to changes in the cingulate cortex more brain structures show changes in schizophrenic patients as compared to controls. The hippocampus in schizophrenic patients was found to be smaller in size when compared with controls of the same age group,[20] and, similarly, the caudate and putamen were found to be smaller in volume in a longitudinal study of schizophrenic patients.[21] While the volume of gray matter is smaller, the size of the lateral and third ventricles is larger in schizophrenic patients.[22]

History

Cingulum means "belt" in Latin. The name was likely chosen because this cortex, in great part, surrounds the corpus callosum. Cingulate is an adjective (cingularis or cingulatus). The cingulate cortex is a part of the "grand lobe limbique" of Broca (1898) that consisted (in addition to the olfactory part, which is no more considered there today) of a superior cingulate part, supracallosal; and an inferior hippocampic part, infracallosal. The limbic lobe was separated from the remainder of the cortex by Broca for two reasons: first because it is not convoluted, and second because the gyri are directed parasagittally (contrary to the transverse gyrification). Since the parasagittal gyrification is observed in non-primate species, the limbic lobe was thus declared to be "bestial". As with other parts of the cortex, there have been and continue to be discrepancies concerning boundaries and naming. Brodmann (1909), a student of Cécile Vogt-Mugnier and Oskar Vogt, who worked on Cercopithecus (and not much in human [Bailey and von Bonin]), elaborated a system of numeration that unfortunately had no typological logic (1, 2 and 3 are sensory, 4 is motor, 5 is parietal, 6 is premotor and 7 is again parietal!). Area 25 was even not placed by him in the same place in the human brain. Area 24 (anterior) was distinguished from 23 (posterior) on the basis that it was agranular. More recently, the typographical von Economo's system was adopted by Bailey and von Bonin. Simple typographical naming should be preferred, for evident heuristic purposes.

Additional images

Wikimedia Commons has media related to Anterior cingulate cortex.
Wikimedia Commons has media related to Cingulate_cortex.

References

  1. Hadland, K. A.; Rushworth M.F.; et al. (2003). "The effect of cingulate lesions on social behaviour and emotion". Neuropsychologia. 41 (8): 919–931. doi:10.1016/s0028-3932(02)00325-1. PMID 12667528.
  2. "Cingulate binds learning". Trends Cogn Sci. 1 (1): 2. 1997. doi:10.1016/s1364-6613(97)85002-4. PMID 21223838.
  3. Kozlovskiy, S.; Vartanov A.; Pyasik M.; Nikonova E.; Velichkovsky B. (10 October 2013). "Anatomical Characteristics of Cingulate Cortex and Neuropsychological Memory Tests Performance". Procedia - Social and Behavioral Sciences. 86: 128–133. doi:10.1016/j.sbspro.2013.08.537.
  4. Kozlovskiy, S.A.; Vartanov A.V.; Nikonova E.Y.; Pyasik M.M.; Velichkovsky B.M. (2012). "The Cingulate Cortex and Human Memory Processes". Psychology in Russia: State of the Art. 5: 231–243. doi:10.11621/pir.2012.0014.
  5. Hayden, B. Y.; Platt, M. L. (2010). "Neurons in Anterior Cingulate Cortex Multiplex Information about Reward and Action". Journal of Neuroscience. 30 (9): 3339–3346. doi:10.1523/JNEUROSCI.4874-09.2010. PMC 2847481Freely accessible. PMID 20203193.
  6. Drevets, W. C.; Savitz, J.; Trimble, M. (2008). "The subgenual anterior cingulate cortex in mood disorders". CNS spectrums. 13 (8): 663–681. PMC 2729429Freely accessible. PMID 18704022.
  7. Adams, R.; David, A. S. (2007). "Patterns of anterior cingulate activation in schizophrenia: A selective review". Neuropsychiatric disease and treatment. 3 (1): 87–101. doi:10.2147/nedt.2007.3.1.87. PMC 2654525Freely accessible. PMID 19300540.
  8. Dorland's. Illustrated medical dictionary. Elsevier Saunders. p. 363. ISBN 978-14160-6257-8.
  9. McFarland, N. R., Harber, S. N. (2000). Convergent Inputs from Thalamic Motor Nuclei and Frontal Cortical Areas to the Dorsal Striatum in the Primate. The Journal of Neuroscience, May 15, 2000, 20(10):3798–3813.
  10. 1 2 Wyass, J. M.; Van Groen, T. (1992). "Connections between the retrosplenial cortex and the hippocampal formation in the rat: A review". Hippocampus. 2 (1): 1–11. doi:10.1002/hipo.450020102. PMID 1308170.
  11. 1 2 3 Pandya, D. N.; Hoesen, G. W.; Mesulam, M. -M. (1981). "Efferent connections of the cingulate gyrus in the rhesus monkey". Experimental Brain Research. 42-42 (3–4). doi:10.1007/BF00237497.
  12. Fujii, M. (1983). "Fiber connections between the thalamic posterior lateral nucleus and the cingulate gyrus in the cat". Neuroscience Letters. 39 (2): 137–142. doi:10.1016/0304-3940(83)90066-6. PMID 6688863.
  13. Petrides, M; Pandya, DN (Oct 24, 2007). "Efferent association pathways from the rostral prefrontal cortex in the macaque monkey.". The Journal of neuroscience : the official journal of the Society for Neuroscience. 27 (43): 11573–86. doi:10.1523/JNEUROSCI.2419-07.2007. PMID 17959800.
  14. 1 2 Cavada, C.; Goldman-Rakic, P. S. (1989). "Posterior parietal cortex in rhesus monkey: I. Parcellation of areas based on distinctive limbic and sensory corticocortical connections". The Journal of Comparative Neurology. 287 (4): 393–421. doi:10.1002/cne.902870402. PMID 2477405.
  15. Adey, W. R. (1951). "An Experimental Study of the Hippocampal Connexions of the Cingulate Cortex in the Rabbit". Brain. 74 (2): 233–247. doi:10.1093/brain/74.2.233. PMID 14858747.
  16. 1 2 Takahashi, T.; Suzuki, M.; Kawasaki, Y.; Hagino, H.; Yamashita, I.; Nohara, S.; Nakamura, K.; Seto, H.; Kurachi, M. (2003). "Perigenual cingulate gyrus volume in patients with schizophrenia: A magnetic resonance imaging study". Biological Psychiatry. 53 (7): 593–600. doi:10.1016/S0006-3223(02)01483-X. PMID 12679237.
  17. 1 2 3 Haznedar, M. M.; Buchsbaum, M. S.; Hazlett, E. A.; Shihabuddin, L.; New, A.; Siever, L. J. (2004). "Cingulate gyrus volume and metabolism in the schizophrenia spectrum". Schizophrenia Research. 71 (2–3): 249–262. doi:10.1016/j.schres.2004.02.025. PMID 15474896.
  18. 1 2 Costain, G.; Ho, A.; Crawley, A. P.; Mikulis, D. J.; Brzustowicz, L. M.; Chow, E. W. C.; Bassett, A. S. (2010). "Reduced gray matter in the anterior cingulate gyrus in familial schizophrenia: A preliminary report". Schizophrenia Research. 122 (1–3): 81–84. doi:10.1016/j.schres.2010.06.014. PMC 3129334Freely accessible. PMID 20638248.
  19. 1 2 Fujiwara, H.; Hirao, K.; Namiki, C.; Yamada, M.; Shimizu, M.; Fukuyama, H.; Hayashi, T.; Murai, T. (2007). "Anterior cingulate pathology and social cognition in schizophrenia: A study of gray matter, white matter and sulcal morphometry". NeuroImage. 36 (4): 1236–1245. doi:10.1016/j.neuroimage.2007.03.068. PMID 17524666.
  20. Koolschijn, P. C. D. M. P.; Van Haren, N. E. M.; Cahn, W.; Schnack, H. G.; Janssen, J.; Klumpers, F.; Hulshoff Pol, H. E.; Kahn, R. S. (2010). "Hippocampal Volume Change in Schizophrenia". The Journal of Clinical Psychiatry. 71 (6): 737–744. doi:10.4088/JCP.08m04574yel. PMID 20492835.
  21. Mitelman, S. A.; Canfield, E. L.; Chu, K. W.; Brickman, A. M.; Shihabuddin, L.; Hazlett, E. A.; Buchsbaum, M. S. (2009). "Poor outcome in chronic schizophrenia is associated with progressive loss of volume of the putamen". Schizophrenia Research. 113 (2–3): 241–245. doi:10.1016/j.schres.2009.06.022. PMC 2763420Freely accessible. PMID 19616411.
  22. Kempton, M. J.; Stahl, D.; Williams, S. C. R.; Delisi, L. E. (2010). "Progressive lateral ventricular enlargement in schizophrenia: A meta-analysis of longitudinal MRI studies". Schizophrenia Research. 120 (1–3): 54–62. doi:10.1016/j.schres.2010.03.036. PMID 20537866.
This article is issued from Wikipedia - version of the 11/7/2016. The text is available under the Creative Commons Attribution/Share Alike but additional terms may apply for the media files.