Rapidly progressive glomerulonephritis
| Rapidly progressive glomerulonephritis | |
|---|---|
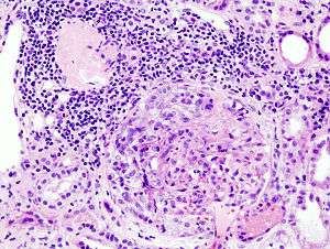
![]() | |
| Histopathological image of crescentic glomerulonephritis in a patient with MPO-ANCA positive rapid progressive glomerulonephritis. Hematoxylin & eosin stain. | |
| Classification and external resources | |
| Specialty | Nephrology |
| ICD-10 | N01 |
| DiseasesDB | 3165 |
| eMedicine | med/881 med/890 |
Rapidly progressive glomerulonephritis (RPGN) is a syndrome of the kidney that is characterized by a rapid loss of renal function,[1][2] (usually a 50% decline in the glomerular filtration rate (GFR) within 3 months)[2] with glomerular crescent formation seen in at least 50%[2] or 75%[1] of glomeruli seen on kidney biopsies. If left untreated, it rapidly progresses into acute renal failure[3] and death within months. In 50% of cases, RPGN is associated with an underlying disease such as Goodpasture syndrome, systemic lupus erythematosus or granulomatosis with polyangiitis; the remaining cases are idiopathic. Regardless of the underlying cause, RPGN involves severe injury to the kidneys' glomeruli, with many of the glomeruli containing characteristic glomerular crescents (crescent-shaped scars).

Signs and symptoms
Most types of RPGN are characterized by severe and rapid loss of kidney function featuring severe hematuria (blood in the urine), red blood cell casts in the urine, and proteinuria (protein in the urine), sometimes exceeding 3 g protein/24 h, a range associated with nephrotic syndrome. Some patients also experience hypertension (high blood pressure) and edema. Severe disease is characterized by pronounced oliguria or anuria, which portends a poor prognosis.[4]
Classification
.jpg)
RPGN can be classified into three types, based upon the immunofluorescence patterns:[5]
Type I
Accounting for approximately 20% of RPGN, type I RPGN is characterized by the presence of autoantibodies directed against the glomerular basement membrane (GBM). It is also called anti-GBM glomerulonephritis. The antibodies are directed against a particular protein found in the GBM, type IV collagen, specifically the noncollagenous region of its α3 chain.[4] In addition to the anti-GBM antibodies, some cases of type I RPGN are also associated with antibodies directed against the basement membrane of lung alveoli, producing Goodpasture syndrome. The majority of type I disease, however, features anti-GBM antibodies alone; these cases are considered idiopathic.[4]
Type II
RPGN caused by the deposition of immune complexes accounts for 25% of RPGN and is classified as type II. Thus any immune complex disease that involves the glomerulus may progress to RPGN if severe enough. These diseases include systemic lupus erythematosus, acute proliferative glomerulonephritis, Henoch–Schönlein purpura and IgA nephropathy.[4]
Type III
Also known as pauci-immune RPGN, type III RPGN accounts for 55% of RPGN and features neither immune complex deposition nor anti-GBM antibodies. Instead, the glomeruli are damaged in an undefined manner, perhaps through the activation of neutrophils in response to ANCA. Type III RPGN may be isolated to the glomerulus (primary, or idiopathic) or associated with a systemic disease (secondary). In most cases of the latter, the systemic disease is an ANCA-associated vasculitis such as granulomatosis with polyangiitis, microscopic polyangiitis or eosinophilic granulomatosis with polyangiitis.[4]
Pathophysiology

In the pathophysiology of rapidly progressive glomerulonephritis the antineutrophil cytoplasmic antibodies (ANCA) interact with antigens in cytoplasm of neutrophils. It is thought that ANCA causes an early degranulation giving way to release of lytic enzymes at site of injury. ANCA are linked to the pathogenesis of glomerulonephritis, antineutrophil cytoplasmic antibodies specificity is determined via (ELISA), with pANCA(antibody) directed against MPO[6]
Diagnosis
Serum analysis often aids in the diagnosis of a specific underlying disease. The presence of anti-Glomerular basement membrane (GBM) antibodies suggests type I RPGN; antinuclear antibodies (ANA) may support a diagnosis of systemic lupus erythematosus and type II RPGN; and type III and idiopathic RPGN are frequently associated with anti-neutrophil cytoplasmic antibodies (ANCA)-positive serum.[4]
Impaired renal functions in an individual with 3 months or less of the condition is an indication of RPGN. An ultrasonographic examination of the abdomen should also be done. Upon urine examination, urinary sediment (proteinuria) can indicate proliferative glomerulonephritis, many cases of rapidly progressive glomerulonephritis need a renal biopsy to make a diagnosis.[7]
Treatment
Therapy for rapidly progressive glomerulonephritis is done via corticosteroids and cyclophosphamide. The predictor of kidney survival is serum creatinine value. The substitution of azathioprine for cyclophosphamide after a 90-day initial period is another option.Plasmapheresis can be used for patients who present with severe renal failure.[8]
Epidemiology
The epidemiology of rapidly progressive glomerulonephritis according to Hedger,et al., is an incidence rate of 3.9 individuals per million (3.3–4.7) with a 95% confidence intervals.[9]
References
- 1 2 TheFreeDictionary > rapidly progressive glomerulonephritis Citing: McGraw-Hill Concise Dictionary of Modern Medicine. 2002
- 1 2 3 eMedicine > Glomerulonephritis, Crescentic Author: Malvinder S Parmar. Updated: Sep 25, 2008
- ↑ "rapidly progressive glomerulonephritis" at Dorland's Medical Dictionary
- 1 2 3 4 5 6 Cotran, Ramzi S.; Kumar, Vinay; Fausto, Nelson; Nelso Fausto; Robbins, Stanley L.; Abbas, Abul K. (2005). Robbins and Cotran pathologic basis of disease. St. Louis, MO: Elsevier Saunders. pp. 976–8. ISBN 0-7216-0187-1.
- ↑ Ghosh, Amit K. (2008). Mayo Clinic Internal Medicine Review: Eighth Edition (Mayo Clinic Internal Medicine Review). Informa Healthcare. p. 694. ISBN 1-4200-8478-X.
- ↑ "Rapidly Progressive Glomerulonephritis: Background, Pathophysiology, Epidemiology".
- ↑ Bhowmik, Dipankar (January 2011). "Clinical Approach to Rapidly Progressive Renal Failure" (PDF). Journal of the Association of Physicians of India. Retrieved 31 October 2015.
- ↑ "Rapidly Progressive Glomerulonephritis Treatment & Management: Medical Care, Consultations".
- ↑ Hedger, Neil; Stevens, Judith; Drey, Nick; Walker, Sarah; Roderick, Paul (2000-10-01). "Incidence and outcome of pauci‐immune rapidly progressive glomerulonephritis in Wessex, UK: a 10‐year retrospective study". Nephrology Dialysis Transplantation. 15 (10): 1593–1599. doi:10.1093/ndt/15.10.1593. ISSN 0931-0509. PMID 11007827.
Further reference
- Greenhall, George H. B.; Salama, Alan D. (2015-02-19). "What is new in the management of rapidly progressive glomerulonephritis?". Clinical Kidney Journal: sfv008. doi:10.1093/ckj/sfv008. ISSN 2048-8505. PMC 4370308
. PMID 25815169.
.jpg)