Dacrocyte
Dacrocytes (teardrop cells)
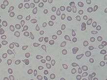
A dacrocyte (or dacryocyte) is a type of poikilocyte that is shaped like a teardrop (a "teardrop cell"). A marked increase of dacrocytes is known as "dacrocytosis". These tear drop cells are found also in beta thalassemia major, especially after splenectomy. Dacrocytosis can be associated with myelophthisic anemia, commonly caused by myelofibrosis.[1]
References
- ↑ "Poikilocytosis: Abnormalities of Erythrocyte Shape". Retrieved 2009-03-07.
External links
This article is issued from Wikipedia - version of the 7/14/2015. The text is available under the Creative Commons Attribution/Share Alike but additional terms may apply for the media files.