Dermal cylindroma

Dermal cylindroma
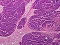
Micrograph of a dermal cylindroma. H&E stain.
Classification and external resources
ICD-O M8200/3
eMedicine derm/94
MeSH D003528

In dermatologic pathology, a dermal cylindroma, also dermal eccrine cylindroma[1]:666) and (less specifically) cylindroma, is a benign adnexal tumor,[2] which occurs on the scalp and forehead.

Multiple cylindromas may grow together in a "hat-like" configuration, sometimes referred to as a turban tumor.[3] Cylindromas are uncommon dysplasias of skin appendages.[4]

Histology

Dermal cylindromas are:

They lack of a significant number of lymphocytes; this differentiates them from spiradenomas.

Additional images

See also

References

  1. James, William D.; Berger, Timothy G.; et al. (2006). Andrews' Diseases of the Skin: clinical Dermatology. Saunders Elsevier. ISBN 0-7216-2921-0.
  2. "Cylindroma" at Dorland's Medical Dictionary
  3. "Cylindroma: Background, Pathophysiology, Epidemiology".
  4. Cylindroma at eMedicine


This article is issued from Wikipedia - version of the 7/17/2016. The text is available under the Creative Commons Attribution/Share Alike but additional terms may apply for the media files.