Giant platelet disorder

Giant platelet disorder
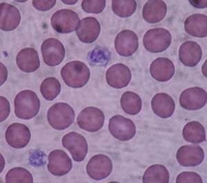
Two giant platelets (stained purple) are visible in this image from a light microscope (40×) from a peripheral blood smear surrounded by red blood cells. One normal platelet can be seen in the upper left side of the image (purple) and is significantly smaller in size than the red blood cells (stained pink).
Classification and external resources
Specialty hematology
ICD-10 D69.1

Giant platelet disorders are rare disorders featuring abnormally large platelets, thrombocytopenia and a tendency to bleeding. Giant platelets cannot stick adequately to an injured blood vessel walls, resulting in abnormal bleeding when injured. Giant platelet disorder occurs for inherited diseases like Bernard-Soulier syndrome, gray platelet syndrome and May-Hegglin anomaly.

Classification

Giant platelet disorders can be further categorized:[1]

Signs and symptoms

Symptoms usually present from the period of birth to early childhood as: nose bleeds, bruising, and/or gum bleeding. Problems later in life may arise from anything that can cause internal bleeding such as: stomach ulcers, surgery, trauma, or menstruation.[3] Abnormality of the abdomen, Epistaxis, Menorrhagia, Purpura, Thrombocytopenia, and prolonged bleeding time have also been listed as symptoms of various Giant Platelet Disorders.[4]

Diagnosis

People may be diagnosed after prolonged and/or recurring bleeding episodes. Children and adults may also be diagnosed after profuse bleeding after a trauma or tooth extraction. Ultimately, a laboratory diagnosis is usually required. This would utilize platelet aggregation studies and flow cytometry.[5]

Genetics

Many of the further classifications of Giant Platelet Disorder occur as a result of being genetically passed down through families as an autosomal recessive disorder, such as in Bernard-Soulier syndrome and Grey Platelet syndrome.[6]

Treatment

There has been no general recommendation for treatment of patients with Giant Platelet Disorders, as there are many different specific classifications to further categorize this disorder which each need differing treatments. Platelet transfusion is the main treatment for people presenting with bleeding symptoms. There have been experiments with DDAVP (1-deamino-8-arginine vasopressin) and splenectomy on people with Giant platelet disorders with mixed results, making this type of treatment contentious.[7]

References

  1. Mhawech, Paulette; Saleem, Abdus (2000). "Inherited Giant Platelet Disorders". American Journal of Clinical Pathology. 113 (2): 176–90. doi:10.1309/FC4H-LM5V-VCW8-DNJU. PMID 10664620.
  2. Platelet Disorders Overview of Platelet Disorders at eMedicine
  3. "Giant platelet syndrome". MedicineNet. Retrieved 2016-04-14.
  4. "Giant platelet syndrome | Disease | Symptoms | Genetic and Rare Diseases Information Center (GARD) – an NCATS Program". rarediseases.info.nih.gov. Retrieved 2016-04-28.
  5. "Bernard-Soulier Disease (Giant Platelet Syndrome) Symptoms, Causes, Treatment - What is Bernard-Soulier syndrome? - MedicineNet". MedicineNet. Retrieved 2016-04-28.
  6. D’Andrea, Giovanna; Chetta, Massimiliano; Margaglione, Maurizio (2009-10-01). "Inherited platelet disorders: thrombocytopenias and thrombocytopathies". Blood Transfusion. 7 (4): 278–292. doi:10.2450/2009.0078-08. ISSN 1723-2007. PMC 2782805Freely accessible. PMID 20011639.
  7. Mhawech, Paulette (2000). "Inherited Giant Platelet Disorders" (PDF). American Society of Clinical Pathologists. Retrieved April 21, 2016.


This article is issued from Wikipedia - version of the 8/1/2016. The text is available under the Creative Commons Attribution/Share Alike but additional terms may apply for the media files.