Lead poisoning

Lead poisoning
Synonyms plumbism, colica pictorum, saturnism, Devon colic, painter's colic
An X ray demonstrating the characteristic finding of lead poisoning in humans—dense metaphyseal lines.
Classification and external resources
Specialty Toxicology
ICD-10 T56.0
ICD-9-CM 984.9
DiseasesDB 7307
MedlinePlus 002473
eMedicine article/815399
Patient UK Lead poisoning
MeSH D007855

Lead poisoning is a type of metal poisoning caused by lead in the body. The brain is the most sensitive.[1] Symptoms may include abdominal pain, constipation, headaches, irritability, memory problems, inability to have children, and tingling in the hands and feet.[2] It causes almost 10% of intellectual disability of otherwise unknown cause and can result in behavioral problems. Some of the effects are permanent.[1] In severe cases anemia, seizures, coma, or death may occur.[2][1]

Exposure to lead can occur by contaminated air, water, dust, food, or consumer products. Children are at greater risk as they are more likely to put objects in their mouth such as those that contain lead paint and absorb a greater proportion of the lead that they eat.[1] Exposure at work is a common cause of lead poisoning in adults with certain occupations at particular risk.[3] Diagnosis is typically by measurement of the blood lead level.[1] The Centers for Disease Control (US) has set the upper limit for blood lead for adults at 10 µg/dl (10 µg/100 g) and for children at 5 µg/dl.[4][5] Elevated lead may also be detected by changes in red blood cells or dense lines in the bones of children as seen on X-ray.[6]

Lead poisoning is preventable.[1] This includes by individual efforts such as removing lead-containing items from the home,[7] workplace efforts such as improved ventilation and monitoring,[8] and nationwide policies such as laws that ban lead in products such as paint and gasoline, reduce allowable levels in water or soil, and provide for cleanup of contaminated soil.[1][6] The major treatments are removal of the source of lead and the use of medications that bind lead so it can be eliminated from the body, known as chelation therapy.[6] Chelation therapy in children is recommended when blood levels are greater than 40-45 ug/dl.[6][9] Medications used include dimercaprol, edetate calcium disodium, and succimer.[3]

In 2013 lead is believed to have resulted in 853,000 deaths. It occurs most commonly in the developing world. Those who are poor are at greater risk.[1] Lead is believed to result in 0.6% of the world's disease burden.[7] People have been mining and using lead for thousands of years. Descriptions of lead poisoning date to at least 2000 BC,[6] while efforts to limit lead's use date back to at least the 1500s.[7] Concerns for low levels of exposure begin in the 1970s with there being no safe threshold for lead exposure.[1][6]

Classification

Classically, "lead poisoning" or "lead intoxication" has been defined as exposure to high levels of lead typically associated with severe health effects.[10] Poisoning is a pattern of symptoms that occur with toxic effects from mid to high levels of exposure; toxicity is a wider spectrum of effects, including subclinical ones (those that do not cause symptoms).[11] However, professionals often use "lead poisoning" and "lead toxicity" interchangeably, and official sources do not always restrict the use of "lead poisoning" to refer only to symptomatic effects of lead.[11]

The amount of lead in the blood and tissues, as well as the time course of exposure, determine toxicity.[12] Lead poisoning may be acute (from intense exposure of short duration) or chronic (from repeat low-level exposure over a prolonged period), but the latter is much more common.[13] Diagnosis and treatment of lead exposure are based on blood lead level (the amount of lead in the blood), measured in micrograms of lead per deciliter of blood (μg/dL). Urine lead levels may be used as well, though less commonly. In cases of chronic exposure lead often sequesters in the highest concentrations first in the bones, then in the kidneys. If a provider is performing a provocative excretion test, or "chelation challenge", a measurement obtained from urine rather than blood is likely to provide a more accurate representation of total lead burden to a skilled interpreter.[14]

The US Centers for Disease Control and Prevention and the World Health Organization state that a blood lead level of 10 μg/dL or above is a cause for concern; however, lead may impair development and have harmful health effects even at lower levels, and there is no known safe exposure level.[15][16] Authorities such as the American Academy of Pediatrics define lead poisoning as blood lead levels higher than 10 μg/dL.[17]

Lead forms a variety of compounds and exists in the environment in various forms.[18] Features of poisoning differ depending on whether the agent is an organic compound (one that contains carbon), or an inorganic one.[19] Organic lead poisoning is now very rare, because countries across the world have phased out the use of organic lead compounds as gasoline additives, but such compounds are still used in industrial settings.[19] Organic lead compounds, which cross the skin and respiratory tract easily, affect the central nervous system predominantly.[19]

Signs and symptoms

Symptoms of lead poisoning.

Lead poisoning can cause a variety of symptoms and signs which vary depending on the individual and the duration of lead exposure.[20][21] Symptoms are nonspecific and may be subtle, and someone with elevated lead levels may have no symptoms.[22] Symptoms usually develop over weeks to months as lead builds up in the body during a chronic exposure, but acute symptoms from brief, intense exposures also occur.[23] Symptoms from exposure to organic lead, which is probably more toxic than inorganic lead due to its lipid solubility, occur rapidly.[24] Poisoning by organic lead compounds has symptoms predominantly in the central nervous system, such as insomnia, delirium, cognitive deficits, tremor, hallucinations, and convulsions.[19]

Symptoms may be different in adults and children; the main symptoms in adults are headache, abdominal pain, memory loss, kidney failure, male reproductive problems, and weakness, pain, or tingling in the extremities.[25]

Early symptoms of lead poisoning in adults are commonly nonspecific and include depression, loss of appetite, intermittent abdominal pain, nausea, diarrhea, constipation, and muscle pain.[26] Other early signs in adults include malaise, fatigue, decreased libido, and problems with sleep.[20] An unusual taste in the mouth and personality changes are also early signs.[27]

In adults, symptoms can occur at levels above 40 μg/dL, but are more likely to occur only above 50–60 μg/dL.[20] Symptoms begin to appear in children generally at around 60 μg/dL.[7] However, the lead levels at which symptoms appear vary widely depending on unknown characteristics of each individual.[28] At blood lead levels between 25 and 60 μg/dL, neuropsychiatric effects such as delayed reaction times, irritability, and difficulty concentrating, as well as slowed motor nerve conduction and headache can occur.[29] Anemia may appear at blood lead levels higher than 50 μg/dL.[26] In adults, abdominal colic, involving paroxysms of pain, may appear at blood lead levels greater than 80 μg/dL.[21] Signs that occur in adults at blood lead levels exceeding 100 μg/dL include wrist drop and foot drop, and signs of encephalopathy (a condition characterized by brain swelling), such as those that accompany increased pressure within the skull, delirium, coma, seizures, and headache.[30] In children, signs of encephalopathy such as bizarre behavior, discoordination, and apathy occur at lead levels exceeding 70 μg/dL.[30] For both adults and children, it is rare to be asymptomatic if blood lead levels exceed 100 μg/dL.[21]

Acute poisoning

In acute poisoning, typical neurological signs are pain, muscle weakness, numbness and tingling, and, rarely, symptoms associated with inflammation of the brain.[25] Abdominal pain, nausea, vomiting, diarrhea, and constipation are other acute symptoms.[31] Lead's effects on the mouth include astringency and a metallic taste.[31] Gastrointestinal problems, such as constipation, diarrhea, poor appetite, or weight loss, are common in acute poisoning. Absorption of large amounts of lead over a short time can cause shock (insufficient fluid in the circulatory system) due to loss of water from the gastrointestinal tract.[31] Hemolysis (the rupture of red blood cells) due to acute poisoning can cause anemia and hemoglobin in the urine.[31] Damage to kidneys can cause changes in urination such as decreased urine output.[31] People who survive acute poisoning often go on to display symptoms of chronic poisoning.[31]

Chronic poisoning

Chronic poisoning usually presents with symptoms affecting multiple systems,[19] but is associated with three main types of symptoms: gastrointestinal, neuromuscular, and neurological.[25] Central nervous system and neuromuscular symptoms usually result from intense exposure, while gastrointestinal symptoms usually result from exposure over longer periods.[31] Signs of chronic exposure include loss of short-term memory or concentration, depression, nausea, abdominal pain, loss of coordination, and numbness and tingling in the extremities.[27] Fatigue, problems with sleep, headaches, stupor, slurred speech, and anemia are also found in chronic lead poisoning.[25] A "lead hue" of the skin with pallor and/or lividity is another feature.[32][33] A blue line along the gum with bluish black edging to the teeth, known as a Burton line, is another indication of chronic lead poisoning.[34] Children with chronic poisoning may refuse to play or may have hyperkinetic or aggressive behavior disorders.[25] Visual disturbance may present with gradually progressing blurred vision as a result of central scotoma, caused by toxic optic neuritis.[35]

Effects on children

A fetus developing in the womb of a woman who has elevated blood lead level is susceptible to lead poisoning by intrauterine exposure, and is at greater risk of being born prematurely or with a low birth weight.[36]

Children are more at risk for lead poisoning because their smaller bodies are in a continuous state of growth and development.[37] Lead is absorbed at a faster rate compared to adults, which causes more physical harm than to older people. Furthermore, children, especially as they are learning to crawl and walk, are constantly on the floor and therefore more prone to ingesting and inhaling dust that is contaminated with lead.[38]

The classic signs and symptoms in children are loss of appetite, abdominal pain, vomiting, weight loss, constipation, anemia, kidney failure, irritability, lethargy, learning disabilities, and behavioral problems.[39] Slow development of normal childhood behaviors, such as talking and use of words, and permanent intellectual disability are both commonly seen.[36] Although less common, it is possible for fingernails to develop leukonychia striata if exposed to abnormally high lead concentrations.[40]

Complications

Lead affects every one of the body's organ systems, especially the nervous system, but also the bones and teeth, the kidneys, and the cardiovascular, immune, and reproductive systems.[41] Hearing loss and tooth decay have been linked to lead exposure,[42] as have cataracts.[43] Intrauterine and neonatal lead exposure promote tooth decay.[44][45][46][47][48][49][50] Aside from the developmental effects unique to young children, the health effects experienced by adults are similar to those in children, although the thresholds are generally higher.[51]

Kidneys

Kidney damage occurs with exposure to high levels of lead, and evidence suggests that lower levels can damage kidneys as well.[52] The toxic effect of lead causes nephropathy and may cause Fanconi syndrome, in which the proximal tubular function of the kidney is impaired.[53] Long-term exposure at levels lower than those that cause lead nephropathy have also been reported as nephrotoxic in patients from developed countries that had chronic kidney disease or were at risk because of hypertension or diabetes mellitus.[54] Lead poisoning inhibits excretion of the waste product urate and causes a predisposition for gout, in which urate builds up.[55][56][57] This condition is known as saturnine gout.

Cardiovascular system

Evidence suggests lead exposure is associated with high blood pressure, and studies have also found connections between lead exposure and coronary heart disease, heart rate variability, and death from stroke, but this evidence is more limited.[58] People who have been exposed to higher concentrations of lead may be at a higher risk for cardiac autonomic dysfunction on days when ozone and fine particles are higher.[59]

Reproductive system

Lead affects both the male and female reproductive systems. In men, when blood lead levels exceed 40 μg/dL, sperm count is reduced and changes occur in volume of sperm, their motility, and their morphology.[60] A pregnant woman's elevated blood lead level can lead to miscarriage, prematurity, low birth weight, and problems with development during childhood.[61] Lead is able to pass through the placenta and into breast milk, and blood lead levels in mothers and infants are usually similar.[23] A fetus may be poisoned in utero if lead from the mother's bones is subsequently mobilized by the changes in metabolism due to pregnancy; increased calcium intake in pregnancy may help mitigate this phenomenon.[62]

Nervous system

Eight MRI views of a brain in black and white, with yellow, orange, and red areas overlaid in spots mainly toward the front.
The brains of adults who were exposed to lead as children show decreased volume, especially in the prefrontal cortex, on MRI. Areas of volume loss are shown in color over a template of a normal brain.[63]

Lead affects the peripheral nervous system (especially motor nerves) and the central nervous system.[23] Peripheral nervous system effects are more prominent in adults and central nervous system effects are more prominent in children.[28] Lead causes the axons of nerve cells to degenerate and lose their myelin coats.[23]

Lead exposure in young children has been linked to learning disabilities,[64] and children with blood lead concentrations greater than 10 μg/dL are in danger of developmental disabilities.[31] Increased blood lead level in children has been correlated with decreases in intelligence, nonverbal reasoning, short-term memory, attention, reading and arithmetic ability, fine motor skills, emotional regulation, and social engagement.[61] The effect of lead on children's cognitive abilities takes place at very low levels.[42][61][65] There is apparently no lower threshold to the dose-response relationship (unlike other heavy metals such as mercury).[66] Reduced academic performance has been associated with lead exposure even at blood lead levels lower than 5 μg/dL.[67][68] Blood lead levels below 10 μg/dL have been reported to be associated with lower IQ and behavior problems such as aggression, in proportion with blood lead levels.[11] Between the blood lead levels of 5 and 35 μg/dL, an IQ decrease of 2–4 points for each μg/dL increase is reported in children.[31]

High blood lead levels in adults are also associated with decreases in cognitive performance and with psychiatric symptoms such as depression and anxiety.[69] It was found in a large group of current and former inorganic lead workers in Korea that blood lead levels in the range of 20–50 μg/dL were correlated with neuro-cognitive defects.[70] Increases in blood lead levels from about 50 to about 100 μg/dL in adults have been found to be associated with persistent, and possibly permanent, impairment of central nervous system function.[52]

Lead exposure in children is also correlated with neuropsychiatric disorders such as attention deficit hyperactivity disorder and anti-social behaviour.[65] Elevated lead levels in children are correlated with higher scores on aggression and delinquency measures.[7] A correlation has also been found between prenatal and early childhood lead exposure and violent crime in adulthood.[61] Countries with the highest air lead levels have also been found to have the highest murder rates, after adjusting for confounding factors.[7] A May 2000 study by economic consultant Rick Nevin theorizes that lead exposure explains 65% to 90% of the variation in violent crime rates in the US.[71][72] A 2007 paper by the same author claims to show a strong association between preschool blood lead and subsequent crime rate trends over several decades across nine countries.[73][74] It is believed that the U.S. ban on lead paint in buildings in the late 1970s, as well as the phaseout of leaded gasoline in the 1970s and 1980s, partially helped contribute to the decline of violent crime in the United States since the early 1990s.[74]

Exposure routes

Lead is a common environmental pollutant.[17] Causes of environmental contamination include industrial use of lead, such as is found in facilities that process lead-acid batteries or produce lead wire or pipes, and metal recycling and foundries.[75] Children living near facilities that process lead, such as lead smelters, have been found to have unusually high blood lead levels.[76] In August 2009, parents rioted in China after lead poisoning was found in nearly 2000 children living near zinc and manganese smelters.[77] Lead exposure can occur from contact with lead in air, household dust, soil, water, and commercial products.[15] Leaded gasoline has also been linked to increases in lead pollution.[78][79] Some research has suggested a link between leaded gasoline and crime rates.[80][81]

Occupational exposure

A man in a hard hat with a clear face plate leans over a conveyor belt with a metal instrument. He is in a factory setting with heavy machinery in the background.
Battery recycling workers are at risk for lead exposure.[82] This worker ladles molten lead into billets in a lead-acid battery recovery facility.

In adults, occupational exposure is the main cause of lead poisoning.[7] People can be exposed when working in facilities that produce a variety of lead-containing products; these include radiation shields, ammunition, certain surgical equipment, developing dental x-ray films prior to digital x-rays (each film packet had a lead liner to prevent the radiation from going through), fetal monitors, plumbing, circuit boards, jet engines, and ceramic glazes.[27] In addition, lead miners and smelters, plumbers and fitters, auto mechanics, glass manufacturers, construction workers, battery manufacturers and recyclers, firing range instructors, and plastic manufacturers are at risk for lead exposure.[76] Other occupations that present lead exposure risks include welding, manufacture of rubber, printing, zinc and copper smelting, processing of ore, combustion of solid waste, and production of paints and pigments.[83] Parents who are exposed to lead in the workplace can bring lead dust home on clothes or skin and expose their children.[83]

Food

Lead may be found in food when food is grown in soil that is high in lead, airborne lead contaminates the crops, animals eat lead in their diet, or lead enters the food either from what it was stored or cooked in.[84]

Paint

Some lead compounds are colorful and are used widely in paints,[85] and lead paint is a major route of lead exposure in children.[86] A study conducted in 1998–2000 found that 38 million housing units in the US had lead-based paint, down from a 1990 estimate of 64 million.[87] Deteriorating lead paint can produce dangerous lead levels in household dust and soil.[88] Deteriorating lead paint and lead-containing household dust are the main causes of chronic lead poisoning.[25] The lead breaks down into the dust and since children are more prone to crawling on the floor, it is easily ingested.[87] Many young children display pica, eating things that are not food. Even a small amount of a lead-containing product such as a paint chip or a sip of glaze can contain tens or hundreds of milligrams of lead.[89] Eating chips of lead paint presents a particular hazard to children, generally producing more severe poisoning than occurs from dust.[90] Because removing lead paint from dwellings, e.g. by sanding or torching creates lead-containing dust and fumes, it is generally safer to seal the lead paint under new paint (excepting moveable windows and doors, which create paint dust when operated).[91] Alternately, special precautions must be taken if the lead paint is to be removed.[91] In oil painting it was once common for colours such as yellow or white to be made with lead carbonate. Lead white oil colour was the main white of oil painters until superseded by compounds containing zinc or titanium in the mid-20th century. It is speculated that the painter Caravaggio and possibly Francisco Goya and Vincent Van Gogh had lead poisoning due to overexposure or carelessness when handling this colour.[92]

Soil

a closeup of a red gasoline pump with a warning label that reads, "for use as a motor fuel only" (in larger writing) "contains lead" (in smaller writing) "(tetraethyl)"
A lead warning on a fuel pump. Tetraethyllead, which used to be added to automotive gasoline (and still is added to some aviation gasolines), contributed to soil contamination.

Residual lead in soil contributes to lead exposure in urban areas.[11] It has been thought that the more polluted an area is with various contaminants, the more likely it is to contain lead. However, this is not always the case, as there are several other reasons for lead contamination in soil.[93] Lead content in soil may be caused by broken-down lead paint, residues from lead-containing gasoline, used engine oil, or pesticides used in the past, contaminated landfills, or from nearby industries such as foundries or smelters.[94] Although leaded soil is less of a problem in countries that no longer have leaded gasoline, it remains prevalent, raising concerns about the safety of urban agriculture;[95] eating food grown in contaminated soil can present a lead hazard.[96]

Water

Lead from the atmosphere or soil can end up in groundwater and surface water.[97] It is also potentially in drinking water, e.g. from plumbing and fixtures that are either made of lead or have lead solder.[90][98] Since acidic water breaks down lead in plumbing more readily, chemicals can be added to municipal water to increase the pH and thus reduce the corrosivity of the public water supply.[90] Chloramines, which were adopted as a substitute for chlorine disinfectants due to fewer health concerns, increase corrositivity.[99] In the US, 14–20% of total lead exposure is attributed to drinking water.[99] In 2004, a team of seven reporters from The Washington Post discovered high levels of lead in the drinking water in Washington, D.C. and won an award for investigative reporting for a series of articles about this contamination.[100][101] In the Flint water crisis, a switch to a more corrosive municipal water source elevated lead levels in drinking water in domestic tap water.[102][103]

In Australia, collecting rainwater from roof runoff used as potable water may contain lead if there are lead contaminants on the roof or in the storage tank.[15] The Australian Drinking Water Guidelines allow a maximum of .01 mg/L lead in water.[15]

Lead-containing products

Lead can be found in products such as kohl, an ancient cosmetic from the Middle East, South Asia, and parts of Africa that has many names; and from some toys.[11] In 2007, millions of toys made in China were recalled from multiple countries owing to safety hazards including lead paint.[104] Vinyl mini-blinds, found especially in older housing, may contain lead.[17] Lead is commonly incorporated into herbal remedies such as Indian Ayurvedic preparations and remedies of Chinese origin.[15][20][27] There are also risks of elevated blood lead levels caused by folk remedies like azarcon and greta, which each contain about 95% lead.[20]

Ingestion of metallic lead, such as small lead fishing lures, increases blood lead levels and can be fatal.[105][106][107][108] Ingestion of lead-contaminated food is also a threat. Ceramic glaze often contains lead, and dishes that have been improperly fired can leach the metal into food, potentially causing severe poisoning.[109] In some places, the solder in cans used for food contains lead.[27] When manufacturing medical instruments and hardware, solder containing lead may be present.[110] People who eat animals hunted with lead bullets may be at risk for lead exposure.[111] Bullets lodged in the body rarely cause significant levels of lead,[112][113] but bullets lodged in the joints are the exception, as they deteriorate and release lead into the body over time.[114]

In May 2015, Indian food safety regulators in the state of Uttar Pradesh found that samples of Maggi 2 Minute Noodles contained lead up to 17 times beyond permissible limits.[115][116][117][118] On 3 June 2015, New Delhi Government banned the sale of Maggi noodles in New Delhi stores for 15 days because it was found to contain lead beyond the permissible limit.[119] The Gujarat FDA on June 4, 2015 banned the noodles for 30 days after 27 out of 39 samples were detected with objectionable levels of metallic lead, among other things.[120] Some India's biggest retailers like Future Group, Big Bazaar, Easyday and Nilgiris have imposed a nationwide ban on Maggi noodles.[121] Many other states too have banned Maggi noodles.

Bullets

Contact with ammunition is a source of lead exposure. As of 2013, lead-based ammunition production is the second largest annual use of lead in the US, accounting for over 60,000 metric tons consumed in 2012, second only to the manufacture of storage batteries.[122] The Environmental Protection Agency (EPA) does not regulate lead, as a matter of law.[123] Lead birdshot is banned in some areas, but this is primarily for the benefit of the birds and their predators, rather than humans.[124] Non-lead alternatives include steel, tungsten-nickel-iron, bismuth-tin, and tungsten-polymer.

Because game animals can be shot using lead bullets, the potential for lead ingestion from game meat consumption has been studied clinically and epidemiologically. In a recent study conducted by the CDC,[125] a cohort from North Dakota was enrolled and asked to self-report historical consumption of game meat, and participation in other activities that could cause lead exposure. The study found that participants' age, sex, housing age, current hobbies with potential for lead exposure, and game consumption were all associated with blood lead level (PbB).

This study has been cited by popular media as simple evidence that hunting increases exposure to lead poisoning, prompting the University of Illinois Extension to release a statement that there is no such risk.[126] Concerning the CDC report, the authors' conclusion in a related Epi-AID Trip Report[127] notes the small increase associated with game consumption in the study, and urges interpretation with respect to environmental context:

While this study suggests that consumption of wild game meat can adversely affect PbB, no participant had PbB higher than the CDC recommended threshold of 10μg/dl—the level at which CDC recommends case management; and the geometric mean PbB among this study population (1.17μg/dl) was lower than the overall population geometric mean PbB in the United States (1.60 μg/dl).[128] The clinical significance of low PbB in this sample population and the small quantitative increase of 0.30μg/dl in PbB associated with wild game consumption should be interpreted in the context of naturally occurring PbB.[127]

Copper-jacketed, lead-based bullets are more economical to produce and use than lead or any other material. Alternative materials are available such as steel, copper, and tungsten, but alternatives are universally less effective and/or more expensive. However, the biggest impediment to using the vast majority of alternatives relates to current laws in the United States pertaining to armor-piercing rounds. Laws and regulations relating to armor-piercing ammunition expressly prohibit the use of brass, bronze, steel, tungsten, and nearly every metallic alternative in any bullet that can be shot by a handgun, which at this time is nearly every caliber smaller than 50BMG (including the popular .223 Remington, .308 Winchester and .30-06 to name just a few). Some lead-based bullets are resistant to fragmentation, offering hunters the ability to clean game animals with negligible risk of including lead fragments in prepared meat. Other bullets are prone to fragmentation and exacerbate the risk of lead ingestion from prepared meat. In practice, use of a non-fragmenting bullet and proper cleaning of the game animal's wound can eliminate the risk of lead ingestion from eating game;[111] however, isolating such practice to experimentally determine its association with blood lead levels in study is difficult. Bismuth is an element used as a lead-replacement for shotgun pellets used in waterfowl hunting although shotshells made from bismuth are nearly ten times the cost of lead.

Pathophysiology

Two chemical diagrams of tetra-ethyl lead, or (CH3CH2)4Pb. On the left one, carbon and hydrogen are labeled, on the right they are shown as lines only.
Tetraethyllead, still used as an additive in some fuels, can be absorbed through the skin.[27]

Exposure occurs through inhalation, ingestion or occasionally skin contact. Lead may be taken in through direct contact with mouth, nose, and eyes (mucous membranes), and through breaks in the skin. Tetraethyllead, which was a gasoline additive and is still used in fuels such as aviation fuel, passes through the skin; however inorganic lead found in paint, food, and most lead-containing consumer products is only minimally absorbed through the skin.[27] The main sources of absorption of inorganic lead are from ingestion and inhalation.[26] In adults, about 35–40% of inhaled lead dust is deposited in the lungs, and about 95% of that goes into the bloodstream.[26] Of ingested inorganic lead, about 15% is absorbed, but this percentage is higher in children, pregnant women, and people with deficiencies of calcium, zinc, or iron.[20] Children and infants may absorb about 50% of ingested lead, but little is known about absorption rates in children.[129]

The main body compartments that store lead are the blood, soft tissues, and bone; the half-life of lead in these tissues is measured in weeks for blood, months for soft tissues, and years for bone.[20] Lead in the bones, teeth, hair, and nails is bound tightly and not available to other tissues, and is generally thought not to be harmful.[130] In adults, 94% of absorbed lead is deposited in the bones and teeth, but children only store 70% in this manner, a fact which may partially account for the more serious health effects on children.[16] The estimated half-life of lead in bone is 20 to 30 years, and bone can introduce lead into the bloodstream long after the initial exposure is gone.[27] The half-life of lead in the blood in men is about 40 days, but it may be longer in children and pregnant women, whose bones are undergoing remodeling, which allows the lead to be continuously re-introduced into the bloodstream.[16] Also, if lead exposure takes place over years, clearance is much slower, partly due to the re-release of lead from bone.[131] Many other tissues store lead, but those with the highest concentrations (other than blood, bone, and teeth) are the brain, spleen, kidneys, liver, and lungs.[23] It is removed from the body very slowly, mainly through urine.[12] Smaller amounts of lead are also eliminated through the feces, and very small amounts in hair, nails, and sweat.[132]

Lead has no known physiologically relevant role in the body,[41][75] and its harmful effects are myriad. Lead and other heavy metals create reactive radicals which damage cell structures including DNA and cell membranes.[133] Lead also interferes with DNA transcription, enzymes that help in the synthesis of vitamin D, and enzymes that maintain the integrity of the cell membrane.[23] Anemia may result when the cell membranes of red blood cells become more fragile as the result of damage to their membranes.[134] Lead interferes with metabolism of bones and teeth[135] and alters the permeability of blood vessels and collagen synthesis.[7] Lead may also be harmful to the developing immune system, causing production of excessive inflammatory proteins; this mechanism may mean that lead exposure is a risk factor for asthma in children.[135] Lead exposure has also been associated with a decrease in activity of immune cells such as polymorphonuclear leukocytes.[135] Lead also interferes with the normal metabolism of calcium in cells and causes it to build up within them.[90]

Enzymes

ALAD enzyme with lead bound (PDB: 1QNV)

The primary cause of lead's toxicity is its interference with a variety of enzymes because it binds to sulfhydryl groups found on many enzymes.[12] Part of lead's toxicity results from its ability to mimic other metals that take part in biological processes, which act as cofactors in many enzymatic reactions, displacing them at the enzymes on which they act.[23] Lead is able to bind to and interact with many of the same enzymes as these metals but, due to its differing chemistry, does not properly function as a cofactor, thus interfering with the enzyme's ability to catalyze its normal reaction or reactions. Among the essential metals with which lead interacts are calcium, iron, and zinc.[132]

One of the main causes for the pathology of lead is that it interferes with the activity of an essential enzyme called delta-aminolevulinic acid dehydratase, or ALAD (see image of the enzyme structure), which is important in the biosynthesis of heme, the cofactor found in hemoglobin.[27] Lead also inhibits the enzyme ferrochelatase, another enzyme involved in the formation of heme.[16][27][136] Ferrochelatase catalyzes the joining of protoporphyrin and Fe2+ to form heme.[16][23][27] Lead's interference with heme synthesis results in production of zinc protoporphyrin and the development of anemia.[137] Another effect of lead's interference with heme synthesis is the buildup of heme precursors, such as aminolevulinic acid, which may be directly or indirectly harmful to neurons.[138]

Neurons

Two black-and-white photos; one shows dark, fairly regular rings on a lighter background, and the other shows irregular, smaller, and not as dark clusters.
Lead exposure damages cells in the hippocampus, a part of the brain involved in memory. Hippocampi of lead-exposed rats (bottom) show structural damage such as irregular nuclei (IN) and denaturation of myelin (DNS) compared to controls (top).[139]

The brain is the organ most sensitive to lead exposure.[63] Lead is able to pass through the endothelial cells at the blood brain barrier because it can substitute for calcium ions and be uptaken by Calcium-ATPase pumps.[140] Lead poisoning interferes with the normal development of a child's brain and nervous system; therefore children are at greater risk of lead neurotoxicity than adults are.[141] In a child's developing brain, lead interferes with synapse formation in the cerebral cortex, neurochemical development (including that of neurotransmitters), and organization of ion channels.[137] It causes loss of neurons' myelin sheaths, reduces numbers of neurons, interferes with neurotransmission, and decreases neuronal growth.[12]

Lead interferes with the release of neurotransmitters, chemicals used by neurons to send signals to other cells.[23][7] It interferes with the release of glutamate, a neurotransmitter important in many functions including learning, by blocking NMDA receptors. The targeting of NMDA receptors is thought to be one of the main causes for lead's toxicity to neurons.[139] A Johns Hopkins University report found that in addition to inhibiting the NMDA receptor, lead exposure decreased the level of expression of the gene for the receptor in part of the brain.[142] In addition, lead has been found in animal studies to cause programmed cell death in brain cells.[7]

Diagnosis

Diagnosis includes determining the clinical signs and the medical history, with inquiry into possible routes of exposure.[143] Clinical toxicologists, medical specialists in the area of poisoning, may be involved in diagnosis and treatment. The main tool in diagnosing and assessing the severity of lead poisoning is laboratory analysis of the blood lead level (BLL).[22]

dozens of pink circular bodies with white centers on a white background. Arrows point to three of the cells; two are speckled with dark purple dots, and the third has an irregular outer border
Basophilic stippling (arrows) of red blood cells in a 53-year-old who had elevated blood lead levels due to drinking repeatedly from glasses decorated with lead paint.[144]

Blood film examination may reveal basophilic stippling of red blood cells (dots in red blood cells visible through a microscope), as well as the changes normally associated with iron-deficiency anemia (microcytosis and hypochromasia).[27][53] However, basophilic stippling is also seen in unrelated conditions, such as megaloblastic anemia caused by vitamin B12 (colbalamin) and folate deficiencies.[145]

Exposure to lead also can be evaluated by measuring erythrocyte protoporphyrin (EP) in blood samples.[27] EP is a part of red blood cells known to increase when the amount of lead in the blood is high, with a delay of a few weeks.[21] Thus EP levels in conjunction with blood lead levels can suggest the time period of exposure; if blood lead levels are high but EP is still normal, this finding suggests exposure was recent.[21][29] However, the EP level alone is not sensitive enough to identify elevated blood lead levels below about 35 μg/dL.[27] Due to this higher threshold for detection and the fact that EP levels also increase in iron deficiency, use of this method for detecting lead exposure has decreased.[146]

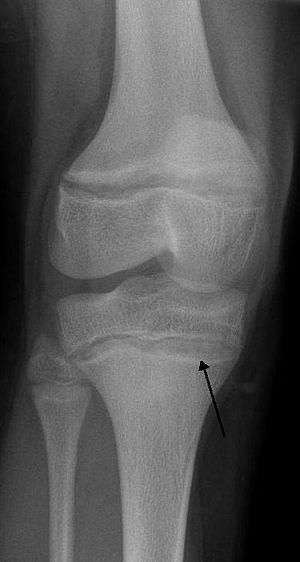
Blood lead levels are an indicator mainly of recent or current lead exposure, not of total body burden.[147] Lead in bones can be measured noninvasively by X-ray fluorescence; this may be the best measure of cumulative exposure and total body burden.[29] However this method is not widely available and is mainly used for research rather than routine diagnosis.[82] Another radiographic sign of elevated lead levels is the presence of radiodense lines called lead lines at the metaphysis in the long bones of growing children, especially around the knees.[148] These lead lines, caused by increased calcification due to disrupted metabolism in the growing bones, become wider as the duration of lead exposure increases.[148] X-rays may also reveal lead-containing foreign materials such as paint chips in the gastrointestinal tract.[19][148]

Fecal lead content that is measured over the course of a few days may also be an accurate way to estimate the overall amount of childhood lead intake. This form of measurement may serve as a useful way to see the extent of oral lead exposure from all the diet and environmental sources of lead.[149]

Lead poisoning shares symptoms with other conditions and may be easily missed.[31] Conditions that present similarly and must be ruled out in diagnosing lead poisoning include carpal tunnel syndrome, Guillain–Barré syndrome, renal colic, appendicitis, encephalitis in adults, and viral gastroenteritis in children.[143] Other differential diagnoses in children include constipation, abdominal colic, iron deficiency, subdural hematoma, neoplasms of the central nervous system, emotional and behavior disorders, and intellectual disability.[22]

Reference levels

The current reference range for acceptable blood lead concentrations in healthy persons without excessive exposure to environmental sources of lead is less than 5 µg/dL for children.[4] It was less than 25 µg/dL for adults.[150] Previous to 2012 the value for children was 10 (µg/dl).[151] The current biological exposure index (a level that should not be exceeded) for lead-exposed workers in the U.S. is 30 µg/dL in a random blood specimen.

The National Institute for Occupational Safety and Health (CDC/NIOSH) reference blood lead level in adults is 10 μg/dL[152] The U.S. national BLL geometric mean among adults was 1.2 μg/dL in 2009–2010.[153]

Blood lead concentrations in poisoning victims have ranged from 30->80 µg/dL in children exposed to lead paint in older houses, 77–104 µg/dL in persons working with pottery glazes, 90–137 µg/dL in individuals consuming contaminated herbal medicines, 109–139 µg/dL in indoor shooting range instructors and as high as 330 µg/dL in those drinking fruit juices from glazed earthenware containers.[154]

Prevention

A box of cigarette-like white cylinders on the left, in the middle a white cylinder with a pink tip, on the right a paper with four circles, two blank and two pink
Testing kits are commercially available for detecting lead. These swabs, when wiped on a surface, turn red in the presence of lead.

In most cases, lead poisoning is preventable[76] by avoiding exposure to lead.[15] Prevention strategies can be divided into individual (measures taken by a family), preventive medicine (identifying and intervening with high-risk individuals), and public health (reducing risk on a population level).[11]

Recommended steps by individuals to reduce the blood lead levels of children include increasing their frequency of hand washing and their intake of calcium and iron, discouraging them from putting their hands to their mouths, vacuuming frequently, and eliminating the presence of lead-containing objects such as blinds and jewellery in the house.[155] In houses with lead pipes or plumbing solder, these can be replaced.[155] Less permanent but cheaper methods include running water in the morning to flush out the most contaminated water, or adjusting the water's chemistry to prevent corrosion of pipes.[155] Lead testing kits are commercially available for detecting the presence of lead in the household.[109] As hot water is more likely than cold water to contain higher amounts of lead, use only cold water from the tap for drinking, cooking, and for making baby formula. Since most of the lead in household water usually comes from plumbing in the house and not from the local water supply, using cold water can avoid lead exposure.[156] Measures such as dust control and household education do not appear to be effective in changing children's blood levels.[157]

Screening is an important method in preventive medicine strategies.[11] Screening programs exist to test the blood of children at high risk for lead exposure, such as those who live near lead-related industries.[22]

Prevention measures also exist on national and municipal levels. Recommendations by health professionals for lowering childhood exposures include banning the use of lead where it is not essential and strengthening regulations that limit the amount of lead in soil, water, air, household dust, and products.[42] Regulations exist to limit the amount of lead in paint; for example, a 1978 law in the US restricted the lead in paint for residences, furniture, and toys to 0.06% or less.[85] In October 2008, the US Environmental Protection Agency reduced the allowable lead level by a factor of ten to 0.15 micrograms per cubic meter of air, giving states five years to comply with the standards.[158] The European Union's Restriction of Hazardous Substances Directive limits amounts of lead and other toxic substances in electronics and electrical equipment. In some places, remediation programs exist to reduce the presence of lead when it is found to be high, for example in drinking water.[155] As a more radical solution, entire towns located near former lead mines have been "closed" by the government, and the population resettled elsewhere, as was the case with Picher, Oklahoma in 2009.[159][160]

Treatment

CDC management guidelines for children with elevated blood levels[161]
Blood lead
level (μg/dL)
Treatment
10–14 Education,
repeat screening
15–19 Repeat screening, case
management to abate sources
20–44 Medical evaluation,
case management
45–69 Medical evaluation,
chelation, case management
>69 Hospitalization, immediate
chelation, case management

The mainstays of treatment are removal from the source of lead and, for people who have significantly high blood lead levels or who have symptoms of poisoning, chelation therapy.[162] Treatment of iron, calcium, and zinc deficiencies, which are associated with increased lead absorption, is another part of treatment for lead poisoning.[163] When lead-containing materials are present in the gastrointestinal tract (as evidenced by abdominal X-rays), whole bowel irrigation, cathartics, endoscopy, or even surgical removal may be used to eliminate it from the gut and prevent further exposure.[164] Lead-containing bullets and shrapnel may also present a threat of further exposure and may need to be surgically removed if they are in or near fluid-filled or synovial spaces.[89] If lead encephalopathy is present, anticonvulsants may be given to control seizures, and treatments to control swelling of the brain include corticosteroids and mannitol.[19][165] Treatment of organic lead poisoning involves removing the lead compound from the skin, preventing further exposure, treating seizures, and possibly chelation therapy for people with high blood lead concentrations.[166]

a chemical diagram of [CH2N(CH2CO2-)2]2 (shown in black) with the four O- tails binding a metal ion (shown in red).
EDTA, a chelating agent, binds a heavy metal, sequestering it.

A chelating agent is a molecule with at least two negatively charged groups that allow it to form complexes with metal ions with multiple positive charges, such as lead.[167] The chelate that is thus formed is nontoxic[168] and can be excreted in the urine, initially at up to 50 times the normal rate.[138] The chelating agents used for treatment of lead poisoning are edetate disodium calcium (CaNa2EDTA), dimercaprol (BAL), which are injected, and succimer and d-penicillamine, which are administered orally.[169] Chelation therapy is used in cases of acute lead poisoning,[27] severe poisoning, and encephalopathy,[164] and is considered for people with blood lead levels above 25 µg/dL.[31] While the use of chelation for people with symptoms of lead poisoning is widely supported, use in asymptomatic people with high blood lead levels is more controversial.[19] Chelation therapy is of limited value for cases of chronic exposure to low levels of lead.[170] Chelation therapy is usually stopped when symptoms resolve or when blood lead levels return to premorbid levels.[19] When lead exposure has taken place over a long period, blood lead levels may rise after chelation is stopped because lead is leached into blood from stores in the bone;[19] thus repeated treatments are often necessary.[7]

People receiving dimercaprol need to be assessed for peanut allergies since the commercial formulation contains peanut oil. Calcium EDTA is also effective if administered four hours after the administration of dimercaprol. Administering dimercaprol, DMSA (Succimer), or DMPS prior to calcium EDTA is necessary to prevent the redistribution of lead into the central nervous system.[171] Dimercaprol used alone may also redistribute lead to the brain and testes.[171] An adverse side effect of calcium EDTA is renal toxicity. Succimer (DMSA) is the preferred agent in mild to moderate lead poisoning cases. This may be the case in instances where children have a blood lead level >25μg/dL. The most reported adverse side effect for succimer is gastrointestinal disturbances.[172] It is also important to note that chelation therapy only lowers blood lead levels and may not prevent the lead-induced cognitive problems associated with lower lead levels in tissue. This may be because of the inability of these agents to remove sufficient amounts of lead from tissue or inability to reverse preexisting damage.[172] Chelating agents can have adverse effects;[82] for example, chelation therapy can lower the body's levels of necessary nutrients like zinc.[168][173] Chelating agents taken orally can increase the body's absorption of lead through the intestine.[174]

Chelation challenge, also known as provocation testing, is used to indicate an elevated and mobilizable body burden of heavy metals including lead.[82] This testing involves collecting urine before and after administering a one-off dose of chelating agent to mobilize heavy metals into the urine.[82] Then urine is analyzed by a laboratory for levels of heavy metals; from this analysis overall body burden is inferred.[175] Chelation challenge mainly measures the burden of lead in soft tissues, though whether it accurately reflects long-term exposure or the amount of lead stored in bone remains controversial.[14][19] Although the technique has been used to determine whether chelation therapy is indicated and to diagnose heavy metal exposure, some evidence does not support these uses as blood levels after chelation are not comparable to the reference range typically used to diagnose heavy metal poisoning.[82] The single chelation dose could also redistribute the heavy metals to more sensitive areas such as central nervous system tissue.[82]

Epidemiology

Since lead has been used widely for centuries, the effects of exposure are worldwide.[155] Environmental lead is ubiquitous, and everyone has some measurable blood lead level.[20][131] Atmospheric lead pollution increased dramatically beginning in the 1950s as a result of the widespread use of leaded gasoline.[176] Lead is one of the largest environmental medicine problems in terms of numbers of people exposed and the public health toll it takes.[43] Lead exposure accounts for about 0.2% of all deaths and 0.6% of disability adjusted life years globally.[177]

Although regulation reducing lead in products has greatly reduced exposure in the developed world since the 1970s, lead is still allowed in products in many developing countries.[43] In all countries that have banned leaded gasoline, average blood lead levels have fallen sharply.[170] However, some developing countries still allow leaded gasoline,[155] which is the primary source of lead exposure in most developing countries.[64] Beyond exposure from gasoline, the frequent use of pesticides in developing countries adds a risk of lead exposure and subsequent poisoning.[178] Poor children in developing countries are at especially high risk for lead poisoning.[64] Of North American children, 7% have blood lead levels above 10 μg/dL, whereas among Central and South American children, the percentage is 33 to 34%.[155] About one fifth of the world's disease burden from lead poisoning occurs in the Western Pacific, and another fifth is in Southeast Asia.[155]

In developed countries, people with low levels of education living in poorer areas are most at risk for elevated lead.[43] In the US, the groups most at risk for lead exposure are the impoverished, city-dwellers, and immigrants.[61] African-American children and those living in old housing have also been found to be at elevated risk for high blood lead levels in the US.[179] Low-income people often live in old housing with lead paint, which may begin to peel, exposing residents to high levels of lead-containing dust.

Risk factors for elevated lead exposure include alcohol consumption and smoking (possibly because of contamination of tobacco leaves with lead-containing pesticides).[131] Adults with certain risk factors might be more susceptible to toxicity; these include calcium and iron deficiencies, old age, disease of organs targeted by lead (e.g. the brain, the kidneys), and possibly genetic susceptibility.[70] Differences in vulnerability to lead-induced neurological damage between males and females have also been found, but some studies have found males to be at greater risk, while others have found females to be.[28]

In adults, blood lead levels steadily increase with increasing age.[15] In adults of all ages, men have higher blood lead levels than women do.[15] Children are more sensitive to elevated blood lead levels than adults are.[180] Children may also have a higher intake of lead than adults; they breathe faster and may be more likely to have contact with and ingest soil.[88] Children of ages one to three tend to have the highest blood lead levels, possibly because at that age they begin to walk and explore their environment, and they use their mouths in their exploration.[28] Blood levels usually peak at about 18–24 months old.[12] In many countries including the US, household paint and dust are the major route of exposure in children.[88]

Notable cases

Cases of mass lead poisoning can occur, primarily in underdeveloped countries.

15,000 people are being relocated from Jiyuan in central Henan province to other locations after 1000 children living around China's largest smelter plant (owned and operated by Yuguang Gold and Lead) were found to have excess lead in their blood. The total cost of this project is estimated to around 1 billion yuan ($150 million). 70% of the cost will be paid by local government and the smelter company, while the rest will be paid by the residents themselves. The government has suspended production at 32 of 35 lead plants.[181] The affected area includes people from 10 different villages.[182]

The Zamfara State lead poisoning epidemic occurred in Nigeria in 2010. As of October 5, 2010 at least 400 children have died from the effects of lead poisoning.[183]

Prognosis

Reversibility

Outcome is related to the extent and duration of lead exposure.[184] Effects of lead on the physiology of the kidneys and blood are generally reversible; its effects on the central nervous system are not.[53] While peripheral effects in adults often go away when lead exposure ceases, evidence suggests that most of lead's effects on a child's central nervous system are irreversible.[28] Children with lead poisoning may thus have adverse health, cognitive, and behavioral effects that follow them into adulthood.[94]

Encephalopathy

Lead encephalopathy is a medical emergency and causes permanent brain damage in 70–80% of children affected by it, even those that receive the best treatment.[22] The mortality rate for people who develop cerebral involvement is about 25%, and of those who survive who had lead encephalopathy symptoms by the time chelation therapy was begun, about 40% have permanent neurological problems such as cerebral palsy.[31]

Long-term

Exposure to lead may also decrease lifespan and have health effects in the long term.[7] Death rates from a variety of causes have been found to be higher in people with elevated blood lead levels; these include cancer, stroke, and heart disease, and general death rates from all causes.[15] Lead is considered a possible human carcinogen based on evidence from animal studies.[185] Evidence also suggests that age-related mental decline and psychiatric symptoms are correlated with lead exposure.[131] Cumulative exposure over a prolonged period may have a more important effect on some aspects of health than recent exposure.[131] Some health effects, such as high blood pressure, are only significant risks when lead exposure is prolonged (over about one year).[70]

History

an ancient Greek black-and-white woodcut print of a middle aged bearded man. His left hand rests on a book and in his right he holds a plant.
Dioscorides noted lead's effect on the mind in the first century A.D.
a block with two dull, dark gray metal spouts coming from the top. The spouts are chipped and very old-looking.
Roman lead water pipes with taps

Lead poisoning was among the first known and most widely studied work and environmental hazards.[133] One of the first metals to be smelted and used,[85] lead is thought to have been discovered and first mined in Anatolia around 6500 BCE.[86] Its density, workability, and corrosion resistance were among the metal's attractions.[133]

In the 2nd century BCE the Greek botanist Nicander described the colic and paralysis seen in lead-poisoned people.[25][7] Dioscorides, a Greek physician who lived in the 1st century CE, wrote that lead makes the mind "give way".[85][186]

Lead was used extensively in Roman aqueducts from about 500 BCE to 300 CE[86] Julius Caesar's engineer, Vitruvius, reported, "water is much more wholesome from earthenware pipes than from lead pipes. For it seems to be made injurious by lead, because white lead is produced by it, and this is said to be harmful to the human body."[187] Gout, prevalent in affluent Rome, is thought to be the result of lead, or leaded eating and drinking vessels. Sugar of lead (lead(II) acetate) was used to sweeten wine, and the gout that resulted from this was known as "saturnine" gout.[188] It is even hypothesized that lead poisoning may have contributed to the decline of the Roman Empire,[7][85] a hypothesis thoroughly disputed:

The great disadvantage of lead has always been that it is poisonous. This was fully recognised by the ancients, and Vitruvius specifically warns against its use. Because it was nevertheless used in profusion for carrying drinking water, the conclusion has often been drawn that the Romans must therefore have suffered from lead poisoning; sometimes conclusions are carried even further and it is inferred that this caused infertility and other unwelcome conditions, and that lead plumbing was largely responsible for the decline and fall of Rome.

Two things make this otherwise attractive hypothesis impossible. First, the calcium carbonate deposit that formed so thickly inside the aqueduct channels also formed inside the pipes, effectively insulating the water from the lead, so that the two never touched. Second, because the Romans had so few taps and the water was constantly running, it was never inside the pipes for more than a few minutes, and certainly not long enough to become contaminated.[189]

However, recent research supports the idea that the lead found in the water came from the supply pipes, rather than another source of contamination. It was not unknown for locals to punch holes in the pipes to draw water off, increasing the number of people exposed to the lead.

Thirty years ago, Jerome Nriagu argued in a milestone paper that Roman civilization collapsed as a result of lead poisoning. Clair Patterson, the scientist who convinced governments to ban lead from gasoline, enthusiastically endorsed this idea, which nevertheless triggered a volley of publications aimed at refuting it. Although today lead is no longer seen as the prime culprit of Rome’s demise, its status in the system of water distribution by lead pipes (fistulæ) still stands as a major public health issue. By measuring Pb isotope compositions of sediments from the Tiber River and the Trajanic Harbor, the present work shows that “tap water” from ancient Rome had 100 times more lead than local spring waters.[190][191][192]

Romans also consumed lead through the consumption of defrutum, carenum, and sapa, musts made by boiling down fruit in lead cookware. Defrutum and its relatives were used in ancient Roman cuisine and cosmetics, including as a food preservative.[193] The use of leaden cookware, though popular, was not the general standard and copper cookware was used far more generally. There is also no indication how often sapa was added or in what quantity.

The consumption of sapa as having a role in the fall of the Roman Empire was used in a theory proposed by geochemist Jerome Nriagu[194] to state that "lead poisoning contributed to the decline of the Roman Empire". In 1984, John Scarborough, a pharmacologist and classicist, criticized the conclusions drawn by Nriagu's book as "so full of false evidence, miscitations, typographical errors, and a blatant flippancy regarding primary sources that the reader cannot trust the basic arguments."[195]

After antiquity, mention of lead poisoning was absent from medical literature until the end of the Middle Ages.[196] In 1656 the German physician Samuel Stockhausen recognized dust and fumes containing lead compounds as the cause of disease, called since ancient Roman times morbi metallici, that were known to afflict miners, smelter workers, potters, and others whose work exposed them to the metal.[197][198]

The painter Caravaggio might have died of lead poisoning. Bones with high lead levels were recently found in a grave thought likely to be his.[199] Paints used at the time contained high amounts of lead salts. Caravaggio is known to have exhibited violent behavior, as caused by lead poisoning.

In 17th-century Germany, the physician Eberhard Gockel discovered lead-contaminated wine to be the cause of an epidemic of colic.[197] He had noticed that monks who did not drink wine were healthy, while wine drinkers developed colic,[25] and traced the cause to sugar of lead, made by simmering litharge with vinegar.[197] As a result, Eberhard Ludwig, Duke of Württemberg issued an edict in 1696 banning the adulteration of wines with litharge.[197]

In the 18th century lead poisoning was fairly frequent on account of the widespread drinking of rum, which was made in stills with a lead component (the "worm"). It was a significant cause of mortality amongst slaves and sailors in the colonial West Indies.[200][201] Lead poisoning from rum was also noted in Boston.[202] Benjamin Franklin suspected lead to be a risk in 1786.[203] Also in the 18th century, "Devonshire colic" was the name given to the symptoms suffered by people of Devon who drank cider made in presses that were lined with lead.[25] Lead was added to cheap wine illegally in the 18th and early 19th centuries as a sweetener.[204] The composer Beethoven, a heavy wine drinker, suffered elevated lead levels (as later detected in his hair) possibly due to this; the cause of his death is controversial, but lead poisoning is a contender as a factor.[204][205]

With the Industrial Revolution in the 19th century, lead poisoning became common in the work setting.[85] The introduction of lead paint for residential use in the 19th century increased childhood exposure to lead; for millennia before this, most lead exposure had been occupational.[28] An important step in the understanding of childhood lead poisoning occurred when toxicity in children from lead paint was recognized in Australia in 1897.[85] France, Belgium, and Austria banned white lead interior paints in 1909; the League of Nations followed suit in 1922.[86] However, in the United States, laws banning lead house paint were not passed until 1971, and it was phased out and not fully banned until 1978.[86]

The 20th century saw an increase in worldwide lead exposure levels due to the increased widespread use of the metal.[206] Beginning in the 1920s, lead was added to gasoline to improve its combustion; lead from this exhaust persists today in soil and dust in buildings.[15] Blood lead levels worldwide have been declining sharply since the 1980s, when leaded gasoline began to be phased out.[15] In those countries that have banned lead in solder for food and drink cans and have banned leaded gasoline additives, blood lead levels have fallen sharply since the mid-1980s.[207]

The levels found today in most people are orders of magnitude greater than those of pre-industrial society.[27][67] Due to reductions of lead in products and the workplace, acute lead poisoning is rare in most countries today, but low level lead exposure is still common.[208] It was not until the second half of the 20th century that subclinical lead exposure became understood to be a problem.[196] During the end of the 20th century, the blood lead levels deemed acceptable steadily declined.[209] Blood lead levels once considered safe are now considered hazardous, with no known safe threshold.[76][210]

In the late 1950s through the 1970s Herbert Needleman and Clair Cameron Patterson did research trying to prove lead's toxicity to humans.[211] In the 1980s Needleman was falsely accused of scientific misconduct by the lead industry associates.[212][213]

In 2002 Tommy Thompson, secretary of Health and Human Services appointed at least two persons with conflicts of interest to the CDC's Lead Advisory Committee.[214][215]

In 2014 a case by the state of California against a number of companies decided against Sherwin-Williams, NL Industries and ConAgra and ordered them to pay $1.15 billion. The case is currently under appeal.[216]

Studies have found a weak link between lead from leaded gasoline and crime rates.[217]

Other species

Main article: Animal lead poisoning

Humans are not alone in suffering from lead's effects; plants and animals are also affected by lead toxicity to varying degrees depending on species.[96] Animals experience many of the same effects of lead exposure as humans do, such as abdominal pain, peripheral neuropathy, and behavioral changes such as increased aggression.[43] Much of what is known about human lead toxicity and its effects is derived from animal studies.[28] Animals are used to test the effects of treatments, such as chelating agents,[218] and to provide information on the pathophysiology of lead, such as how it is absorbed and distributed in the body.[219]

Farm animals such as cows and horses[220] as well as pet animals are also susceptible to the effects of lead toxicity.[168] Sources of lead exposure in pets can be the same as those that present health threats to humans sharing the environment, such as paint and blinds, and there is sometimes lead in toys made for pets.[168] Lead poisoning in a pet dog may indicate that children in the same household are at increased risk for elevated lead levels.[43]

Wildlife

A large tan bird of prey with dark brown neck feathers and a bare red head sits on a dead cow in a desert with dead grass and scrub
Turkey vultures, Cathartes aura (shown), and California condors can be poisoned when they eat carcasses of animals shot with lead pellets.

Lead, one of the leading causes of toxicity in waterfowl, has been known to cause die-offs of wild bird populations.[168] When hunters use lead shot, waterfowl such as ducks can ingest the spent pellets later and be poisoned; predators that eat these birds are also at risk.[221] Lead shot-related waterfowl poisonings were first documented in the US in the 1880s.[43] By 1919, the spent lead pellets from waterfowl hunting was positively identified as the source of waterfowl deaths.[222] Lead shot has been banned for hunting waterfowl in several countries,[43] including the US in 1991 and Canada in 1997.[223] Other threats to wildlife include lead paint, sediment from lead mines and smelters, and lead weights from fishing lines.[223] Lead in some fishing gear has been banned in several countries.[43]

The critically endangered California condor has also been affected by lead poisoning. As scavengers, condors eat carcasses of game that have been shot but not retrieved, and with them the fragments from lead bullets; this increases their lead levels.[224] Among condors around the Grand Canyon, lead poisoning due to eating lead shot is the most frequently diagnosed cause of death.[224] In an effort to protect this species, in areas designated as the California condor's range the use of projectiles containing lead has been banned to hunt deer, feral pigs, elk, pronghorn antelope, coyotes, ground squirrels, and other non-game wildlife.[225] Also, conservation programs exist which routinely capture condors, check their blood lead levels, and treat cases of poisoning.[224]

Notes

  1. 1 2 3 4 5 6 7 8 9 "Lead poisoning and health". WHO. September 2016. Retrieved 14 October 2016.
  2. 1 2 "Lead Information for Workers". CDC. 30 September 2013. Retrieved 14 October 2016.
  3. 1 2 Gracia, RC; Snodgrass, WR (1 January 2007). "Lead toxicity and chelation therapy.". American journal of health-system pharmacy : AJHP : official journal of the American Society of Health-System Pharmacists. 64 (1): 45–53. PMID 17189579.
  4. 1 2 "Advisory Committee On Childhood Lead Poisoning Prevention (ACCLPP)". CDC. May 2012. Retrieved 18 May 2012.
  5. The Code of Federal Regulations of the United States of America. U.S. Government Printing Office. 2005. p. 116.
  6. 1 2 3 4 5 6 Dapul, H; Laraque, D (August 2014). "Lead poisoning in children.". Advances in pediatrics. 61 (1): 313–33. PMID 25037135.
  7. 1 2 3 4 5 6 7 8 9 10 11 12 13 14 Needleman, H (2004). "Lead poisoning". Annual Review of Medicine. 55: 209–22. doi:10.1146/annurev.med.55.091902.103653. PMID 14746518.
  8. "Lead Information for Employers". CDC. 30 September 2013. Retrieved 14 October 2016.
  9. "What Do Parents Need to Know to Protect Their Children?". CDC. 30 October 2012. Retrieved 14 October 2016.
  10. Grant (2009) p. 785
  11. 1 2 3 4 5 6 7 Guidotti, TL; Ragain, L (2007). "Protecting children from toxic exposure: three strategies". Pediatric clinics of North America. 54 (2): 227–35, vii. doi:10.1016/j.pcl.2007.02.002. PMID 17448358.
  12. 1 2 3 4 5 Pearson, Schonfeld (2003) p.369
  13. Trevor, Katzung, Masters (2007) p. 479
  14. 1 2 Lowry, Jennifer A. (2010) ORAL CHELATION THERAPY FOR PATIENTS WITH LEAD POISONING. WHO
  15. 1 2 3 4 5 6 7 8 9 10 11 Rossi, E (2008). "Low Level Environmental Lead Exposure – A Continuing Challenge". The Clinical biochemist. Reviews / Australian Association of Clinical Biochemists. 29 (2): 63–70. PMC 2533151Freely accessible. PMID 18787644.
  16. 1 2 3 4 5 Barbosa Jr, F; Tanus-Santos, JE; Gerlach, RF; Parsons, PJ (2005). "A Critical Review of Biomarkers Used for Monitoring Human Exposure to Lead: Advantages, Limitations, and Future Needs". Environmental Health Perspectives. 113 (12): 1669–74. doi:10.1289/ehp.7917. PMC 1314903Freely accessible. PMID 16330345.
  17. 1 2 3 Ragan, P; Turner, T (2009). "Working to prevent lead poisoning in children: getting the lead out". JAAPA. 22 (7): 40–5. doi:10.1097/01720610-200907000-00010. PMID 19697571.
  18. Grant (2009) p. 761
  19. 1 2 3 4 5 6 7 8 9 10 11 Kosnett (2007) p. 948
  20. 1 2 3 4 5 6 7 8 Karri, SK; Saper, RB; Kales, SN (2008). "Lead Encephalopathy Due to Traditional Medicines". Current drug safety. 3 (1): 54–9. doi:10.2174/157488608783333907. PMC 2538609Freely accessible. PMID 18690981.
  21. 1 2 3 4 5 Kosnett (2005) p. 825
  22. 1 2 3 4 5 Mycyk, Hryhorczuk, Amitai (2005) p. 463
  23. 1 2 3 4 5 6 7 8 9 Dart, Hurlbut, Boyer-Hassen (2004) p. 1426
  24. Timbrell, J.A., ed. (2008). "Biochemical mechanisms of toxicity: Specific examples". Principles of Biochemical Toxicology (4th ed.). Informa Health Care. ISBN 0-8493-7302-6.
  25. 1 2 3 4 5 6 7 8 9 Pearce, JM (2007). "Burton's line in lead poisoning". European neurology. 57 (2): 118–9. doi:10.1159/000098100. PMID 17179719.
  26. 1 2 3 4 Merrill, Morton, Soileau (2007) p. 860
  27. 1 2 3 4 5 6 7 8 9 10 11 12 13 14 15 16 Patrick, L (2006). "Lead toxicity, a review of the literature. Part 1: Exposure, evaluation, and treatment". Alternative Medicine Review. 11 (1): 2–22. PMID 16597190.
  28. 1 2 3 4 5 6 7 Bellinger, DC (2004). "Lead". Pediatrics. 113 (4 Suppl): 1016–22. doi:10.1542/peds.113.4.S1.1016. PMID 15060194.
  29. 1 2 3 Kosnett (2006) p.240
  30. 1 2 Henretig (2006) p. 1314
  31. 1 2 3 4 5 6 7 8 9 10 11 12 Brunton (2007) p. 1131
  32. James, William; Berger, Timothy; Elston, Dirk (2005). Andrews' Diseases of the Skin: Clinical Dermatology. (10th ed.). Saunders. ISBN 0-7216-2921-0. :859
  33. El Safoury, OmarSoliman; Abd El Fatah, DinaSabry; Ibrahim, Magdy (2009). "Treatment of periocular hyperpigmentation due to lead of kohl (surma) by penicillamine: A single group non-randomized clinical trial". Indian Journal of Dermatology. 54 (4): 361. doi:10.4103/0019-5154.57614. ISSN 0019-5154.
  34. Rambousek (2008) p.177
  35. Review of Ophthalmology® > Wills Eye Resident Case Series. Revophth.com. Retrieved on 2015-04-23.
  36. 1 2 J. Chisolm, H. Harrison. (1956-12-01) "The Exposure of Children to Lead," Journal of the American Academy of Pediatrics.Vol. 18. pp. 943 -958
  37. Landrigan, PJ; Schechter, CB; Lipton, JM; Fahs, MC; Schwartz, J (2002). "Environmental pollutants and disease in American children". Environmental Health Perspectives. 110 (7): 721–8. doi:10.1289/ehp.02110721. PMC 1240919Freely accessible. PMID 12117650.
  38. Woolf, AD; Goldman, R; Bellinger, DC (2007). "Update on the clinical management of childhood lead poisoning". Pediatric clinics of North America. 54 (2): 271–94, viii. doi:10.1016/j.pcl.2007.01.008. PMID 17448360.
  39. Blood Lead Level Testing, Department of Ecology State of Washington. 2011
  40. Baran, Robert et al. (2012) Baran and Dawber’s Diseases of the Nails and Their Management. John Wiley & Sons. ISBN 1118286707. p. 417.
  41. 1 2 White, LD; Cory-Slechta, DA; Gilbert, ME; Tiffany-Castiglioni, E; Zawia, NH; Virgolini, M; Rossi-George, A; Lasley, SM; et al. (2007). "New and evolving concepts in the neurotoxicology of lead". Toxicology and applied pharmacology. 225 (1): 1–27. doi:10.1016/j.taap.2007.08.001. PMID 17904601.
  42. 1 2 3 Lanphear, BP; Hornung, R; Khoury, J; Yolton, K; Baghurst, P; Bellinger, DC; Canfield, RL; Dietrich, KN; et al. (2005). "Low-Level Environmental Lead Exposure and Children's Intellectual Function: An International Pooled Analysis". Environmental Health Perspectives. 113 (7): 894–9. doi:10.1289/ehp.7688. PMC 1257652Freely accessible. PMID 16002379.
  43. 1 2 3 4 5 6 7 8 9 Pokras, MA; Kneeland, MR (2008). "Lead poisoning: using transdisciplinary approaches to solve an ancient problem". EcoHealth. 5 (3): 379–85. doi:10.1007/s10393-008-0177-x. PMID 19165554.
  44. Brudevold F, Steadman LT (1956). "The distribution of lead in human enamel" (PDF). J Dent Res. 35 (3): 430–437. doi:10.1177/00220345560350031401. PMID 13332147.
  45. Brudevold F, Aasenden R, Srinivasian BN, Bakhos Y (1977). "Lead in enamel and saliva, dental caries, and the use of enamel biopsies for mesuring past exposure to lead" (PDF). J Dent Res. 56 (10): 1165–1171. doi:10.1177/00220345770560100701. PMID 272374.
  46. Goyer RA (1990). "Transplacental transport of lead". Environ Health Perspect. Environmental Health Perspectives, Vol. 89. 89: 101–105. doi:10.2307/3430905. JSTOR 3430905. PMC 1567784Freely accessible. PMID 2088735.
  47. Moss ME, Lamphear BP, Auinger P (1999). "Association of dental caries and blood lead levels". JAMA. 281 (24): 2294–2298. doi:10.1001/jama.281.24.2294. PMID 10386553.
  48. Campbell JR, Moss ME, Raubertas RF (2000). "The association between caries and childhood lead exposure". Environ Health Perspect. Environmental Health Perspectives, Vol. 108, No. 11. 108 (11): 1099–1102. doi:10.2307/3434965. JSTOR 3434965. PMC 1240169Freely accessible. PMID 11102303.
  49. Gemmel A, Tavares M, Alperin S, Soncini J, Daniel D, Dunn J, Crawford S, Braveman N, Clarkson TW, McKinlay S, Bellinger DC (2002). "Blood lead level and dental caries in school-age children". Environ Health Perspect. 110 (10): A625–A630. doi:10.1289/ehp.021100625. PMC 1241049Freely accessible. PMID 12361944.
  50. Billings RJ, Berkowitz RJ, Watson G (2004). "Teeth" (PDF). Pediatrics. 113 (4): 1120–1127. PMID 15060208.
  51. Agency for Toxic Substances and Disease Registry (August 20, 2007). "Lead Toxicity: Who Is at Risk of Lead Exposure?". Environmental Health and Medicine Education. U.S. Department of Health and Human Services. Course: WB 1105.
  52. 1 2 Grant (2009) p. 789
  53. 1 2 3 Rubin, Strayer (2008) p. 267
  54. Ekong, EB; Jaar, BG; Weaver, VM (2006). "Lead-related nephrotoxicity: a review of the epidemiologic evidence". Kidney International. 70 (12): 2074–84. doi:10.1038/sj.ki.5001809. PMID 17063179.
  55. Wright, LF; Saylor, RP; Cecere, FA (1984). "Occult lead intoxication in patients with gout and kidney disease". The Journal of rheumatology. 11 (4): 517–20. PMID 6434739.
  56. Lin JL, Huang PT (1994). "Body lead stores and urate excretion in men with chronic renal disease". J. Rheumatol. 21 (4): 705–9. PMID 8035397.
  57. Shadick NA, Kim R, Weiss S, Liang MH, Sparrow D, Hu H (2000). "Effect of low level lead exposure on hyperuricemia and gout among middle aged and elderly men: the normative aging study". J. Rheumatol. 27 (7): 1708–12. PMID 10914856.
  58. Navas-Acien, A; Guallar, E; Silbergeld, EK; Rothenberg, SJ (2007). "Lead Exposure and Cardiovascular Disease—A Systematic Review". Environmental Health Perspectives. 115 (3): 472–82. doi:10.1289/ehp.9785. PMC 1849948Freely accessible. PMID 17431501.
  59. Park, SK; O'Neill, MS; Vokonas, PS; Sparrow, D; Wright, RO; Coull, B; Nie, H; Hu, H; et al. (2008). "Air Pollution and Heart Rate Variability: Effect Modification by Chronic Lead Exposure". Epidemiology (Cambridge, Mass.). 19 (1): 111–20. doi:10.1097/EDE.0b013e31815c408a. PMC 2671065Freely accessible. PMID 18091001.
  60. Grant (2009) p. 792
  61. 1 2 3 4 5 Cleveland, LM; Minter, ML; Cobb, KA; Scott, AA; German, VF (2008). "Lead hazards for pregnant women and children: part 1: immigrants and the poor shoulder most of the burden of lead exposure in this country. Part 1 of a two-part article details how exposure happens, whom it affects, and the harm it can do". The American journal of nursing. 108 (10): 40–9; quiz 50. doi:10.1097/01.NAJ.0000337736.76730.66. PMID 18827541.
  62. Bellinger, DC (2005). "Teratogen update: lead and pregnancy". Birth defects research. Part A, Clinical and molecular teratology. 73 (6): 409–20. doi:10.1002/bdra.20127. PMID 15880700.
  63. 1 2 Cecil, KM; Brubaker, CJ; Adler, CM; Dietrich, KN; Altaye, M; Egelhoff, JC; Wessel, S; Elangovan, I; et al. (2008). Balmes, John, ed. "Decreased Brain Volume in Adults with Childhood Lead Exposure". PLOS Medicine. 5 (5): e112. doi:10.1371/journal.pmed.0050112. PMC 2689675Freely accessible. PMID 18507499.
  64. 1 2 3 Meyer, PA; McGeehin, MA; Falk, H (2003). "A global approach to childhood lead poisoning prevention". International journal of hygiene and environmental health. 206 (4–5): 363–9. doi:10.1078/1438-4639-00232. PMID 12971691.
  65. 1 2 Bellinger, DC (2008). "Very low lead exposures and children's neurodevelopment". Current Opinion in Pediatrics. 20 (2): 172–7. doi:10.1097/MOP.0b013e3282f4f97b. PMID 18332714.
  66. Needleman, HL; Schell, A; Bellinger, D; Leviton, A; Allred, EN (1990). "The long-term effects of exposure to low doses of lead in childhood. An 11-year follow-up report". The New England Journal of Medicine. 322 (2): 83–8. doi:10.1056/NEJM199001113220203. PMID 2294437.
  67. 1 2 Merrill, Morton, Soileau (2007) p. 861
  68. Casarett, Klaassen, Doull (2007) p. 944
  69. Shih, RA; Hu, H; Weisskopf, MG; Schwartz, BS (2007). "Cumulative Lead Dose and Cognitive Function in Adults: A Review of Studies That Measured Both Blood Lead and Bone Lead". Environmental Health Perspectives. 115 (3): 483–92. doi:10.1289/ehp.9786. PMC 1849945Freely accessible. PMID 17431502.
  70. 1 2 3 Kosnett, MJ; Wedeen, RP; Rothenberg, SJ; Hipkins, KL; Materna, BL; Schwartz, BS; Hu, H; Woolf, A (2007). "Recommendations for Medical Management of Adult Lead Exposure". Environmental Health Perspectives. 115 (3): 463–71. doi:10.1289/ehp.9784. PMC 1849937Freely accessible. PMID 17431500.
  71. "Research Links Lead Exposure to Changes in Violent Crime Rates Throughout the 20th century" (PDF). ICF International.
  72. Nevin, R (2000). "How lead exposure relates to temporal changes in IQ, violent crime, and unwed pregnancy". Environmental research. 83 (1): 1–22. Bibcode:2000ER.....83....1N. doi:10.1006/enrs.1999.4045. PMID 10845777.
  73. Nevin, R (2007). "Understanding international crime trends: the legacy of preschool lead exposure". Environmental research. 104 (3): 315–36. Bibcode:2007ER....104..315N. doi:10.1016/j.envres.2007.02.008. PMID 17451672.
  74. 1 2 Vedantam, Shankar (July 8, 2007). "Research links lead exposure, criminal activity". Washington Post. Retrieved September 24, 2009.
  75. 1 2 Mañay, N; Cousillas, AZ; Alvarez, C; Heller, T (2008). "Lead contamination in Uruguay: the "La Teja" neighborhood case". Reviews of environmental contamination and toxicology. Reviews of Environmental Contamination and Toxicology. 195: 93–115. doi:10.1007/978-0-387-77030-7_4. ISBN 978-0-387-77029-1. PMID 18418955.
  76. 1 2 3 4 Sanborn, MD; Abelsohn, A; Campbell, M; Weir, E (2002). "Identifying and managing adverse environmental health effects: 3. Lead exposure". Canadian Medical Association Journal. 166 (10): 1287–92. PMC 111081Freely accessible. PMID 12041847.
  77. Watts, J (2009). "Lead poisoning cases spark riots in China". Lancet. 374 (9693): 868. doi:10.1016/S0140-6736(09)61612-3. PMID 19757511.
  78. Jack Lewis (May 1985). "Lead Poisoning: A Historical Perspective". EPA.
  79. Deborah Blum (January 5, 2013). "Looney Gas and Lead Poisoning: A Short, Sad History". Wired.
  80. Kevin Drum (January 2013). "America's Real Criminal Element: Lead". Mother Jones.
  81. Dominic Casciani (April 20, 2014). "Did removing lead from petrol spark a decline in crime?". BBC.
  82. 1 2 3 4 5 6 7 Brodkin, E; Copes, R; Mattman, A; Kennedy, J; Kling, R; Yassi, A (2007). "Lead and mercury exposures: interpretation and action". Canadian Medical Association Journal. 176 (1): 59–63. doi:10.1503/cmaj.060790. PMC 1764574Freely accessible. PMID 17200393.
  83. 1 2 Dart, Hurlbut, Boyer-Hassen (2004) p. 1424
  84. Castellino, Nicolo; Sannolo, Nicola; Castellino, Pietro (1994). Inorganic Lead Exposure and Intoxications. CRC Press. p. 86. ISBN 9780873719971.
  85. 1 2 3 4 5 6 7 Henretig (2006) p. 1310
  86. 1 2 3 4 5 Gilbert, SG; Weiss, B (2006). "A rationale for lowering the blood lead action level from 10 to 2 μg/dL". Neurotoxicology. 27 (5): 693–701. doi:10.1016/j.neuro.2006.06.008. PMC 2212280Freely accessible. PMID 16889836.
  87. 1 2 Jacobs, David E.; Clickner, Robert P.; Zhou, Joey Y.; Viet, Susan M.; Marker, David A.; Rogers, John W.; Zeldin, Darryl C.; Broene, Pamela; et al. (2002). "The prevalence of lead-based paint hazards in U.S. housing". Environmental Health Perspectives. 110 (10): A599–606. doi:10.1289/ehp.021100599. JSTOR 3455813. PMC 1241046Freely accessible. PMID 12361941.
  88. 1 2 3 Dart, Hurlbut, Boyer-Hassen (2004) p. 1423
  89. 1 2 Kosnett (2006) p.241
  90. 1 2 3 4 Chisolm (2004) pp. 221–22
  91. 1 2 Salvato (2003) p.116
  92. Tom Kington. "The mystery of Caravaggio's death solved at last – painting killed him". the Guardian.
  93. Barltrop D, Strehlow CD, Thornton I, Webb JS (November 1975). "Absorption of lead from dust and soil". Postgrad Med J. 51 (601): 801–4. doi:10.1136/pgmj.51.601.801. PMC 2496115Freely accessible. PMID 1208289.
  94. 1 2 Woolf, AD; Goldman, R; Bellinger, DC (2007). "Update on the clinical management of childhood lead poisoning". Pediatric clinics of North America. 54 (2): 271–94, viii. doi:10.1016/j.pcl.2007.01.008. PMID 17448360.
  95. Murphy, K. (May 13, 2009). "For urban gardeners, lead is a concern". New York Times. Retrieved September 18, 2009.
  96. 1 2 Yu (2005) p.188
  97. Yu (2005) p.187
  98. Menkes (2006) p.703
  99. 1 2 Maas, RP; Patch, SC; Morgan, DM; Pandolfo, TJ (2005). "Reducing lead exposure from drinking water: recent history and current status". Public Health Reports. 120 (3): 316–21. PMC 1497727Freely accessible. PMID 16134575.
  100. "Alum Wins Investigative Reporting Award with Post Team". University of Maryland. February 25, 2005. Archived from the original on September 12, 2006. Retrieved 2007-11-07.
  101. "HONORS". The Washington Post. February 23, 2005.
  102. Christopher Ingraham (15 January 2016). "This is how toxic Flint's water really is". Washington Post.
  103. Eliott C. McLaughlin, CNN (18 January 2016). "Flint's water crisis: 5 things to know - CNN.com". CNN.
  104. "Mattel CEO: 'Rigorous standards' after massive toy recall". CNN. November 15, 2007. Retrieved September 26, 2009.
  105. Schep, LJ; Fountain, JS; Cox, WM; Pesola, GR (2006). "Lead shot in the appendix". The New England Journal of Medicine. 354 (16): 1757; author reply 1757. doi:10.1056/NEJMc060133. PMID 16625019.
  106. Madsen, HH; Skjdt, T; Jrgensen, PJ; Grandjean, P (1988). "Blood lead levels in patients with lead shot retained in the appendix". Acta radiologica (Stockholm, Sweden : 1987). 29 (6): 745–6. doi:10.1080/02841858809171977. PMID 3190952.
  107. Durlach, V; Lisovoski, F; Gross, A; Ostermann, G; Leutenegger, M (1986). "Appendicectomy in an unusual case of lead poisoning". Lancet. 1 (8482): 687–8. doi:10.1016/S0140-6736(86)91769-1. PMID 2869380.
  108. Centers for Disease Control and Prevention (CDC) (2006). "Death of a child after ingestion of a metallic charm—Minnesota, 2006". MMWR. Morbidity and mortality weekly report. 55 (12): 340–1. PMID 16572103.
  109. 1 2 Salvato (2003) p.117
  110. The Best Way To Solder Nitinol. Blogs.indium.com (2011-02-28). Retrieved on 2011-12-03.
  111. 1 2 Hunt, WG; Watson, RT; Oaks, JL; Parish, CN; Burnham, KK; Tucker, RL; Belthoff, JR; Hart, G (2009). Zhang, Baohong, ed. "Lead Bullet Fragments in Venison from Rifle-Killed Deer: Potential for Human Dietary Exposure". PLoS ONE. 4 (4): e5330. Bibcode:2009PLoSO...4.5330H. doi:10.1371/journal.pone.0005330. PMC 2669501Freely accessible. PMID 19390698.
  112. Spitz, M; Lucato, LT; Haddad, MS; Barbosa, ER (2008). "Choreoathetosis secondary to lead toxicity". Arquivos de neuro-psiquiatria. 66 (3A): 575–7. doi:10.1590/S0004-282X2008000400031. PMID 18813727.
  113. Dimaio, VJ; Dimaio, SM; Garriott, JC; Simpson, P (1983). "A fatal case of lead poisoning due to a retained bullet". The American Journal of Forensic Medicine and Pathology. 4 (2): 165–9. doi:10.1097/00000433-198306000-00013. PMID 6859004.
  114. Fiorica, V; Brinker, JE (1989). "Increased lead absorption and lead poisoning from a retained bullet". The Journal of the Oklahoma State Medical Association. 82 (2): 63–7. PMID 2926538.
  115. "Doubts over MSG and Lead Content in Maggi Instant Noodles". 19 May 2015.
  116. "Beware! Eating 2 -Minute Maggi Noodles can ruin your Nervous System". news.biharprabha.com. 18 May 2015. Retrieved 18 May 2015.
  117. "Maggi Noodles Packets Recalled Across Uttar Pradesh, Say Food Inspectors: Report". NDTV. New Delhi, India. 20 May 2015. Retrieved 20 May 2015.
  118. Sushmi Dey (16 May 2015). "'Maggi' under regulatory scanner for lead, MSG beyond permissible limit". The Times of India. New Delhi, India. Retrieved 20 May 2015.
  119. "Delhi govt bans sales of Maggi from its stores: Report". Times of India. New Delhi, India. 3 June 2015. Retrieved 3 June 2015.
  120. IANS (June 4, 2015). "Gujarat bans Maggi noodles for 30 days". The Times of India. (The Times Group). Retrieved June 4, 2015.
  121. "Future Group bans Maggi too: The two-minute death of a India's favourite noodle brand". FirstPost. 3 June 2015. Retrieved 3 June 2015.
  122. "Lead Exposure in Wisconsin Birds" (PDF). Wisconsin department of natural resources. 3 September 2008. Retrieved 10 December 2012.
  123. Iqbal, Shahed; Blumenthal, Wendy; Kennedy, Chinaro; Yip, Fuyuen Y.; Pickard, Stephen; Flanders, W. Dana; Loringer, Kelly; Kruger, Kirby; Caldwell, Kathleen L.; Jean Brown, Mary (2009). "Hunting with lead: Association between blood lead levels and wild game consumption". Environmental Research. 109 (8): 952–959. doi:10.1016/j.envres.2009.08.007. ISSN 0013-9351.
  124. "No Danger of Lead Poisoning from Meat Obtained by Hunting". University of Illinois. December 20, 2008. Retrieved March 2, 2011.
  125. 1 2 Iqbal, Shahed. "Epi-AID Trip Report: Assessment of human health risk from consumption of wild game meat with possible lead contamination among the residents of the State of North Dakota" (PDF). Epi-AID Trip Report. National Center for Environmental Health, Centers for Disease Control and Prevention: Atlanta, Georgia, USA. Retrieved March 2, 2011.
  126. "Blood lead levels—United States, 1999–2002". MMWR Morb. Mortal. Wkly. Rep. 54 (20): 513–6. May 2005. PMID 15917736.
  127. Grant (2009) p. 767
  128. Rubin, Strayer (2008) p. 266
  129. 1 2 3 4 5 Hu, H; Shih, R; Rothenberg, S; Schwartz, BS (2007). "The Epidemiology of Lead Toxicity in Adults: Measuring Dose and Consideration of Other Methodologic Issues". Environmental Health Perspectives. 115 (3): 455–62. doi:10.1289/ehp.9783. PMC 1849918Freely accessible. PMID 17431499.
  130. 1 2 Kosnett (2006) p.238
  131. 1 2 3 Flora, SJ; Mittal, M; Mehta, A (2008). "Heavy metal induced oxidative stress & its possible reversal by chelation therapy". The Indian journal of medical research. 128 (4): 501–23. PMID 19106443.
  132. Yu (2005) p.193
  133. 1 2 3 Casarett, Klaassen, Doull (2007) p. 946
  134. Fujita H, Nishitani C, Ogawa K (2002). "Lead, chemical porphyria, and heme as a biological mediator". Tohoku J. Exp. Med. 196 (2): 53–64. doi:10.1620/tjem.196.53. PMID 12498316.
  135. 1 2 Mycyk, Hryhorczuk, Amitai (2005) p. 462
  136. 1 2 Kosnett (2005) p. 822
  137. 1 2 Xu, J; Yan, HC; Yang, B; Tong, LS; Zou, YX; Tian, Y (2009). "Effects of lead exposure on hippocampal metabotropic glutamate receptor subtype 3 and 7 in developmental rats". Journal of negative results in biomedicine. 8: 5. doi:10.1186/1477-5751-8-5. PMC 2674876Freely accessible. PMID 19374778.
  138. Lidsky, Theodore; et al. (2003). "Lead neurotoxicity in children: basic mechanisms and clinical correlates". Brain. 126 (Pt 1): 5–19. doi:10.1093/brain/awg014. PMID 12477693.
  139. Sanders, T; Liu, Y; Buchner, V; Tchounwou, PB (2009). "Neurotoxic Effects and Biomarkers of Lead Exposure: A Review". Reviews on environmental health. 24 (1): 15–45. doi:10.1515/REVEH.2009.24.1.15. PMC 2858639Freely accessible. PMID 19476290.
  140. "How Lead Changes the Brain to Impair Learning and Memory, How Lead Changes the Brain to Impair Learning and Memory". Johns Hopkins Bloomberg School of Public Health. Retrieved 2007-08-14.
  141. 1 2 Henretig (2006) p. 1316
  142. Fred HL, van Dijk HA. "Images of Memorable Cases: Case 81". Connexions. Retrieved August 25, 2009.
  143. Fischer C (2007). Kaplan Medical USMLE Steps 2 and 3 Notes: Internal Medicine, Hematology. pp. 176–177.
  144. Grant (2009) p. 784
  145. Vaziri, ND (2008). "Mechanisms of lead-induced hypertension and cardiovascular disease". American Journal of Physiology. Heart and Circulatory Physiology. 295 (2): H454–65. doi:10.1152/ajpheart.00158.2008. PMC 2519216Freely accessible. PMID 18567711.
  146. 1 2 3 Mycyk, Hryhorczuk, Amitai (2005) p. 464
  147. Gwiazda, R; Campbell, C; Smith, D (2005). "A Noninvasive Isotopic Approach to Estimate the Bone Lead Contribution to Blood in Children: Implications for Assessing the Efficacy of Lead Abatement". Environmental Health Perspectives. 113 (1): 104–10. doi:10.1289/ehp.7241. PMC 1253718Freely accessible. PMID 15626656.
  148. Wu, A. (2006) Tietz Clinical Guide to Laboratory Tests, 4th ed., Saunders Elsevier, St. Louis, MO, pp. 658–659.
  149. "Low Level Lead Exposure Harms Children: A Renewed Call for Primary Prevention" (PDF). Centers for Disease Control and Prevention. Retrieved 5 January 2012.
  150. "NIOSH Adult Blood Lead Epidemiology & Surveillance (ABLES) program description. Cincinnati, OH: US Department of Health and Human Services, CDC, National Institute for Occupational Safety and Health". NIOSH. cdc.gov. 2013.
  151. "Fourth National Report on Human Exposure to Environmental Chemicals. Updated Tables" (PDF). US Department of Health and Human Services. Atlanta, GA: cdc.gov. September 2012.
  152. Baselt, Randall Clint (2008). Disposition of Toxic Drugs and Chemicals in Man (8th ed.). Biomedical Publications. pp. 823–6. ISBN 978-0-9626523-7-0.
  153. 1 2 3 4 5 6 7 8 Payne, M (2008). "Lead in drinking water". Canadian Medical Association Journal. 179 (3): 253–4. doi:10.1503/cmaj.071483. PMC 2474873Freely accessible. PMID 18663205.
  154. National Environmental Public Health Tracking Network, 2010.
  155. Yeoh, B; Woolfenden, S; Lanphear, B; Ridley, GF; Livingstone, N (15 December 2014). "Household interventions for preventing domestic lead exposure in children.". The Cochrane database of systematic reviews. 12: CD006047. doi:10.1002/14651858.CD006047.pub4. PMID 25506680.
  156. Chisamera, D (October 19, 2008). "EPA Sets Tightest Lead Air Emission Standard". eFluxMedia.
  157. "Polluted Kansas Town Seeks Federal Buyout". All things considered. National Public Radio. August 25, 2009. Retrieved August 25, 2009.
  158. Treece Journal: Welcome to Our Town. Wish We Weren't Here. Saulny, S. New York Times, September 13, 2009
  159. Kosnett (2006) p.242
  160. Henretig (2006) p. 1321
  161. Mycyk, Hryhorczuk, Amitai (2005) p. 465
  162. 1 2 Olson (2007) p.1658
  163. Kosnett (2005) p. 832
  164. Kosnett (2007) p. 949
  165. Trevor, Katzung, Masters (2007) p. 480
  166. 1 2 3 4 5 Lightfoot, TL; Yeager, JM (2008). "Pet bird toxicity and related environmental concerns". The Veterinary Clinics of North America. Exotic Animal Practice. 11 (2): 229–59, vi. doi:10.1016/j.cvex.2008.01.006. PMID 18406386.
  167. Menkes (2006) p.706
  168. 1 2 Meyer, PA; Brown, MJ; Falk, H (2008). "Global approach to reducing lead exposure and poisoning". Mutation research. 659 (1–2): 166–75. doi:10.1016/j.mrrev.2008.03.003. PMID 18436472.
  169. 1 2 Flora, SJ; Pachauri, V (Jul 2010). "Chelation in metal intoxication.". International journal of environmental research and public health. 7 (12): 2745–88. doi:10.3390/ijerph7072745. PMC 2922724Freely accessible. PMID 20717537.
  170. 1 2 Gracia RC, Snodgrass WR (January 2007). "Lead toxicity and chelation therapy". Am J Health Syst Pharm. 64 (1): 45–53. doi:10.2146/ajhp060175. PMID 17189579.
  171. Bradberry, S; Vale, A (2009). "A comparison of sodium calcium edetate (edetate calcium disodium) and succimer (DMSA) in the treatment of inorganic lead poisoning". Clinical toxicology (Philadelphia, Pa.). 47 (9): 841–58. doi:10.3109/15563650903321064. PMID 19852620.
  172. Pearson, Schonfeld (2003) p.370
  173. Lee, BK; Schwartz, BS; Stewart, W; Ahn, KD (1995). "Provocative chelation with DMSA and EDTA: evidence for differential access to lead storage sites". Occupational and Environmental Medicine. 52 (1): 13–9. doi:10.1136/oem.52.1.13. PMC 1128144Freely accessible. PMID 7697134.
  174. Herbert L. Needleman (June 28, 1999). "The Removal of Lead from Gasoline" (PDF). University of North Carolina.
  175. Global health risks : mortality and burden of disease attributable to selected major risks. (PDF). Geneva, Switzerland: World Health Organization. 2009. p. 24. ISBN 9789241563871.
  176. Konradsen F, van der Hoek W, Cole DC, et al. (November 2003). "Reducing acute poisoning in developing countries—options for restricting the availability of pesticides". Toxicology. 192 (2–3): 249–61. doi:10.1016/S0300-483X(03)00339-1. PMID 14580791.
  177. Jones, RL; Homa, DM; Meyer, PA; Brody, DJ; Caldwell, KL; Pirkle, JL; Brown, MJ (2009). "Trends in blood lead levels and blood lead testing among US children aged 1 to 5 years, 1988–2004". Pediatrics. 123 (3): e376–85. doi:10.1542/peds.2007-3608. PMID 19254973.
  178. Murata, K; Iwata, T; Dakeishi, M; Karita, K (2009). "Lead toxicity: does the critical level of lead resulting in adverse effects differ between adults and children?". Journal of occupational health. 51 (1): 1–12. doi:10.1539/joh.K8003. PMID 18987427.
  179. "China to relocate 15,000 from lead-poisoned area". AFP. 2009-10-16. Archived from the original on 2009-10-19. Retrieved 2009-10-20.
  180. "China to move residents from lead smelter base-report". Reuters. 2009-10-18. Retrieved 2009-10-20.
  181. "Aid groups say lead poisoning has killed 400 children in Nigeria". Associated Press. 2010-10-05. Retrieved 2010-10-05.
  182. Chisolm (2004) p. 223
  183. Merrill, Morton, Soileau (2007) p. 862
  184. Needleman, H (2009). "Low level lead exposure: history and discovery". Annals of Epidemiology. 19 (4): 235–8. doi:10.1016/j.annepidem.2009.01.022. PMID 19344860.
  185. Prioreschi, P (1998). A History of Medicine, Volume 3 Of Roman Medicine. Horatius Press. p. 279. ISBN 1-888456-03-5.
  186. Couper RTL.; Fernandez, P. L.; Alonso, P. L. (2006). "The Severe Gout of Emperor Charles V". N Engl J Med. 355 (18): 1935–36. doi:10.1056/NEJMc062352. PMID 17079773.
  187. Hodge 1992, p. 308
  188. Delile, H.; Blichert-Toft, J.; Goiran, J. -P.; Keay, S.; Albarede, F. (2014). "Lead in ancient Rome's city waters". Proceedings of the National Academy of Sciences. 111 (18): 6594–6599. Bibcode:2014PNAS..111.6594D. doi:10.1073/pnas.1400097111.
  189. Ancient Rome's tap water heavily contaminated with lead, researchers say – The Guardian
  190. Lead in Ancient Rome’s Water Was 100 Times Natural Levels – Discover
  191. Director: Chris Warren (2004). Tales of the Living Dead: Poisoned Roman Babies (television). Brighton TV for National Geographic.
  192. Nriagu JO (1983). "Saturnine gout among Roman aristocrats. Did lead poisoning contribute to the fall of the Empire?". N. Engl. J. Med. 308 (11): 660–3. doi:10.1056/NEJM198303173081123. PMID 6338384.
  193. Scarborough, John (1984). The Myth of Lead Poisoning Among the Romans: An Essay Review
  194. 1 2 Hernberg, S (2000). "Lead poisoning in a historical perspective". American journal of industrial medicine. 38 (3): 244–54. doi:10.1002/1097-0274(200009)38:3<244::AID-AJIM3>3.0.CO;2-F. PMID 10940962.
  195. 1 2 3 4 Eisinger, J (1982). "Lead and wine. Eberhard Gockel and the colica Pictonum". Medical History. 26 (3): 279–302. doi:10.1017/s0025727300041508. PMC 1139187Freely accessible. PMID 6750289.
  196. Gochfeld, M (2005). "Chronologic history of occupational medicine". Journal of occupational and environmental medicine / American College of Occupational and Environmental Medicine. 47 (2): 96–114. doi:10.1097/01.jom.0000152917.03649.0e. PMID 15706170.
  197. The mystery of Caravaggio's death solved at last – painting killed him, Tom Kington, The Guardian, Wednesday, 16 June 2010.
  198. Varney, Tamara L, Murphy, A. Reginald et al. (October 2012). "A Preliminary Investigation of Lead Poisoning in a Napoleonic Era Naval Cemetery in Antigua, W.I." (PDF). Caribbean Connection. 2.
  199. Curtin, Philip D. (November 1989). Death by Migration: Europe's Encounter with the Tropical World in the Nineteenth Century. pp. 78–79. ISBN 978-0521389228.
  200. Brands, H. W. (2000). The First American: The Life and Times of Benjamin Franklin. New York: Anchor Books. ISBN 9780385495400.
  201. The Franklin Institute (2010). "Benjamin Franklin's Lead Letter," History's Lead Story
  202. 1 2 Mai, FM (2006). "Beethoven's terminal illness and death". The journal of the Royal College of Physicians of Edinburgh. 36 (3): 258–63. PMID 17214130.
  203. Weiss, Rick Study Concludes Beethoven Died From Lead Poisoning, The Washington Post, December 6, 2005
  204. Grant (2009) p. 757
  205. Mycyk, Hryhorczuk, Amitai (2005) p. 467
  206. Chiras, DD (2009). Environmental Science (8th ed.). Jones & Bartlett. p. 394. ISBN 0-7637-5925-2.
  207. Grant (2009) p. 758
  208. Agency for Toxic Substances and Disease Registry (August 20, 2007). "Lead Toxicity Cover Page". Environmental Health and Medicine Education. U.S. Department of Health and Human Services. Course: WB 1105.
  209. Denworth, Lydia. Toxic Truth: a scientist, a Doctor, and the battle over Lead. Beacon Press. p. 210. ISBN 9780807000328.
  210. Kennedy, Donald (1997). Academic Duty. Harvard University Press. p. 237. ISBN 9780674002227.
  211. Rosner, David; Markowitz, Gerald (May–June 2005). "Standing Up to the Lead Industry: An Interview with Herber Needleman". Public Health Reports. Association of Schools and Programs of Public Health (ASPPH). 120 (3): 8. Retrieved 31 August 2014.
  212. "Lead Poisoning Prevention Panel Influenced by Industry". The Center for Science and Democracy. Union of Concerned Scientists. 8 February 2004. Retrieved 8 October 2002.
  213. Markey, Edward J. (8 October 2002). "Turning Lead Into Gold: How the Bush Administration is Poisoning the Lead Advisory Committee at the CDC" (PDF). US House of Representatives. Archived from the original (PDF) on 24 October 2002. Retrieved 28 August 2014.
  214. (PDF) https://media2.mofo.com/documents/140113-lead-paint.pdf. Retrieved 21 August 2016. Missing or empty |title= (help)
  215. Hall, W (2013). "Did the elimination of lead from petrol reduce crime in the USA in the 1990s?". F1000Research. 2: 156. doi:10.12688/f1000research.2-156.v2. PMC 3829390Freely accessible. PMID 24555074.
  216. Redig, PT; Arent, LR (2008). "Raptor toxicology". The Veterinary Clinics of North America. Exotic Animal Practice. 11 (2): 261–82, vi. doi:10.1016/j.cvex.2007.12.004. PMID 18406387.
  217. Grant (2009) pp. 768, 771, 774
  218. Neathery, MW; Miller, WJ (1975). "Metabolism and toxicity of cadmium, mercury, and lead in animals: a review". Journal of Dairy Science. 58 (12): 1767–81. doi:10.3168/jds.S0022-0302(75)84785-0. PMID 1107364.
  219. Ferreyra, H; Romano, M; Uhart, M (2009). "Recent and chronic exposure of wild ducks to lead in human-modified wetlands in Santa Fe Province, Argentina". Journal of wildlife diseases. 45 (3): 823–7. doi:10.7589/0090-3558-45.3.823. PMID 19617495.
  220. Federal Cartridge Company Waterfowl and Steel Shot Guide. Volume I; 1988.
  221. 1 2 Degernes, LA (2008). "Waterfowl toxicology: a review". The Veterinary Clinics of North America. Exotic Animal Practice. 11 (2): 283–300, vi. doi:10.1016/j.cvex.2007.12.001. PMID 18406388.
  222. 1 2 3 Green, RE; Hunt, WG; Parish, CN; Newton, I; Pizzari, Tom (2008). Pizzari, Tom, ed. "Effectiveness of Action to Reduce Exposure of Free-Ranging California Condors in Arizona and Utah to Lead from Spent Ammunition". PLoS ONE. 3 (12): e4022. Bibcode:2008PLoSO...3.4022G. doi:10.1371/journal.pone.0004022. PMC 2603582Freely accessible. PMID 19107211.
  223. "Get the Lead Out (Protecting the Condor)". California Department of Fish and Game. Retrieved 2009-07-28.

References

  • Brunton, L.L.; Goodman, L.S.; Blumenthal, D.; Buxton, I.; Parker, K.L., eds. (2007). "Principles of toxicology". Goodman and Gilman's Manual of Pharmacology and Therapeutics. McGraw-Hill Professional. ISBN 0-07-144343-6. 
  • Casarett, LJ; Klaassen, CD; Doull, J, eds. (2007). "Toxic effects of metals". Casarett and Doull's Toxicology: The Basic Science of Poisons (7th ed.). McGraw-Hill Professional. ISBN 0-07-147051-4. 
  • Chisolm, J.J. (2004). "Lead poisoning". In Crocetti, M.; Barone, M.A.; Oski, F.A. Oski's Essential Pediatrics (2nd ed.). Lippincott Williams & Wilkins. ISBN 0-7817-3770-2. 
  • Dart, R.C.; Hurlbut, K.M.; Boyer-Hassen, L.V. (2004). "Lead". In Dart, RC. Medical Toxicology (3rd ed.). Lippincott Williams & Wilkins. ISBN 0-7817-2845-2. 
  • Grant, L.D. (2009). "Lead and compounds". In Lippmann, M. Environmental Toxicants: Human Exposures and Their Health Effects (3rd ed.). Wiley-Interscience. ISBN 0-471-79335-3. 
  • Henretig F.M. (2006). "Lead". In Goldfrank, LR. Goldfrank's Toxicologic Emergencies (8th ed.). McGraw-Hill Professional. ISBN 0-07-143763-0. 
  • Hodge, A. Trevor (1992). Roman Aqueducts & Water Supply. London: Duckworth. ISBN 0-7156-2194-7. 
  • Kosnett M.J. (2005). "Lead". In Brent, J. Critical Care Toxicology: Diagnosis and Management of the Critically Poisoned Patient. Gulf Professional Publishing. ISBN 0-8151-4387-7. 
  • Kosnett, M.J. (2007). "Heavy metal intoxication and chelators". In Katzung, B.G. Basic and Clinical Pharmacology. McGraw-Hill Professional. ISBN 0-07-145153-6. 
  • Kosnett, M.J. "Lead". In Olson, K.R. Poisoning and Drug Overdose (5th ed.). McGraw-Hill Professional. p. 2006. ISBN 0-07-144333-9. 
  • Menkes, J.H. (2006). "Toxic and nutritional disorders". In Menkes, J.H.; Sarnat, H.B.; Maria, B.L. Child Neurology (7th ed.). Lippincott Williams & Wilkins. p. 706. ISBN 0-7817-5104-7. 
  • Merrill, J.C.; Morton, J.J.P.; Soileau, S.D. (2007). "Metals". In Hayes, A.W. Principles and Methods of Toxicology (5th ed.). CRC Press. ISBN 0-8493-3778-X. 
  • Mycyk, M.; Hryhorczuk, D.; Amitai, Y. (2005). "Lead". In Erickson, TB; Ahrens, WR; Aks, S; Ling, L. Pediatric Toxicology: Diagnosis and Management of the Poisoned Child. McGraw-Hill Professional. ISBN 0-07-141736-2. 
  • Olson, K.R. (2007). "Poisoning". In McPhee, S.J.; Tierney, L.M.; Papadakis, M.A. Current Medical Diagnosis and Treatment (46th ed.). McGraw-Hill Professional. ISBN 0-07-147247-9. 
  • Pearson H.A.; Schonfeld, D.J. (2003). "Lead". In Rudolph, C.D. Rudolph's Pediatrics (21st ed.). McGraw-Hill Professional. ISBN 0-8385-8285-0. 
  • Rambousek, A.J., ed. (2008). "The symptoms and treatment of industrial poisoning". Industrial Poisoning from Fumes, Gases, and Poisons of Manufacturing Processes. READ BOOKS. ISBN 1-4086-7025-9. 
  • Rubin, R.; Strayer, D.S., eds. (2008). "Environmental and nutritional pathology". Rubin's Pathology: Clinicopathologic Foundations of Medicine (5th ed.). Lippincott Williams & Wilkins. ISBN 0-7817-9516-8. 
  • Salvato, J.A.; Nemerow, N.L.; Agardy, F.J., eds. (2003). "Noninfectious and noncommunicable diseases and conditions associated with the environment, including air, water, and food". Environmental Engineering (5th ed.). John Wiley and Sons. ISBN 0-471-41813-7. 
  • Trevor, A.J.; Katzung, B.G.; Masters, S.B., eds. (2007). "Heavy metals". Katzung & Trevor's Pharmacology: Examination & Board Review (8th ed.). McGraw-Hill Professional. ISBN 0-07-148869-3. 
  • Yu, M.H. (2005). "Soil and water pollution: Environmental metals and metalloids". Environmental Toxicology: Biological and Health Effects of Pollutants. CRC Press. ISBN 1-56670-670-X. 

This article is issued from Wikipedia - version of the 11/29/2016. The text is available under the Creative Commons Attribution/Share Alike but additional terms may apply for the media files.