Liposarcoma
| Liposarcoma | |
|---|---|
|
| |
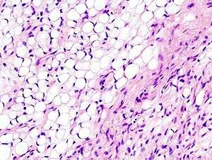
| Micrograph of myxoid liposarcoma. H&E stain. | |
| Classification and external resources | |
| Specialty | Oncology |
| ICD-O | M8850/3 |
| DiseasesDB | 31482 |
| eMedicine | derm/856 |
| MeSH | D008080 |
Liposarcoma is a cancer that arises in fat cells in deep soft tissue, such as that inside the thigh or in the retroperitoneum.[1] Liposarcoma is a rare type of cancer that bears a resemblance to fat cells when examined under a microscope.[2]
They are typically large bulky tumors, and tend to have multiple smaller satellites that extend beyond the main confines of the tumor.
Liposarcomas, like all sarcomas, are rare.[3]
Signs and symptoms

Patients usually note a deep seated mass in their soft tissue. Only when the tumor is very large do symptoms of pain or functional disturbances occur.
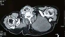
Retroperitoneal tumors may present themselves with signs of weight loss and emaciation and abdominal pain. These tumors may also compress the kidney or ureter leading to kidney failure.
Diagnosis

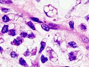
The diagnosis is established by histologic examination of the tissue, i.e., biopsy or excision. Lipoblasts are often present; these are cells with an abundant clear multi-vacuolated cytoplasm and an eccentric darkly staining nucleus that is indented by the vacuoles.
Subtypes
Several subtypes of liposarcoma exist:
- Well-differentiated liposarcoma, synonymous with atypical lipomatous tumor—the former term is used almost exclusively for lesions in the retroperitoneum, while the latter is used for lesions arising elsewhere
- Dedifferentiated liposarcoma—well-differentiated (high-grade) liposarcoma adjacent to a more poorly differentiated tumor
- Myxoid/round cell liposarcoma.
- Pleomorphic liposarcoma.
Micrograph of a myxoid liposarcoma. H&E stain.
Micrograph of a dedifferentiated liposarcoma. H&E stain.
Prognosis
The prognosis varies depending on the site of origin, the type of cancer cell, the tumor size, the depth, and proximity to lymph nodes. Well-differentiated liposarcomas treated with surgery, intra-operative distilled water lavage[4] and radiation have a low recurrence rate (about 10%) and rarely metastasize.[5]
Five-year survival rates vary from 100% to 56% based on histological subtype.[5]
Epidemiology
Most frequent in middle-aged and older adults (age 40 and above), liposarcomas are the second most common of all soft-tissue sarcomas following malignant fibrous histiocytomas. Annually 2.5 cases occur per million population.
Society and culture
Notable cases
- Chad Brown (1961–2014), a poker player
- Richard Feynman (1918–1988), a theoretical physicist died following surgery to address the disease
- Rob Ford (1969–2016), former mayor of Toronto who died of pleomorphic liposarcoma
- Hokie Gajan (1959–2016), former running back for the New Orleans Saints and radio color commentator for the team
- Charlie Davies, soccer player for the Philadelphia Union of Major League Soccer
- Mark Strand (1934-2014), former US Poet Laureate and Pulitzer Prize winner
Philanthropy
The Liposarcoma Genome Project at the Massachusetts General Hospital Cancer Center is currently researching liposarcoma to learn more about its genetic drivers and design effective new treatment options for patients.
The Wendy Walk is an organization devoted to funding research for liposarcoma.
See also
References
- ↑ Dei Tos AP (August 2000). "Liposarcoma: new entities and evolving concepts". Ann Diagn Pathol. 4 (4): 252–66. doi:10.1053/adpa.2000.8133. PMID 10982304.
- ↑ Bell, Teresa (October 2012). "What is Liposarcoma?". The Liddy Shriver Sarcoma Initiative. Retrieved 2015-04-22.
- ↑ Goldstein-Rice, E (2008). "The Importance of Treatment at a Specialty Center for Sarcomas". ESUN.
- ↑ Song CH, Chai FY, Saukani MF, Singh H, Jiffre D (July 2013). "Management and Prevention of Recurrent Paratesticular Liposarcoma". Malays J Med Sci. 20 (4): 95–97. PMC 3773360
. PMID 24044004. - 1 2 Gebhardt, M; Buecker, PJ (2004). "Liposarcoma". ESUN.
External links
- humpath #2495 (Pathology images)
- Information from The Doctor's Doctor website
- Liposarcoma by Dr. Gebhardt and Dr. Buecker