Lymph node

Lymph node

Diagram of a lymph node, showing the flow of lymph through the lymph sinuses.
Details
System Immune system[1][2] (Lymphatic system)
Identifiers
Latin nodus lymphaticus (singular); nodi lymphatici (plural)
TA A13.2.03.001
FMA 5034

Anatomical terminology

A lymph node is an oval- or kidney-shaped organ of the lymphatic system, present widely throughout the body including the armpit and stomach and linked by lymphatic vessels. Lymph nodes are major sites of B, T, and other immune cells. Lymph nodes are important for the proper functioning of the immune system, acting as filters for foreign particles and cancer cells. Lymph nodes do not deal with toxicity, which is primarily dealt with by the liver and kidneys.

Lymph nodes also have clinical significance. They become inflamed or enlarged in various infections and diseases which may range from trivial throat infections, to life-threatening cancers. The condition of the lymph nodes is very important in cancer staging, which decides the treatment to be used, and determines the prognosis. When swollen, inflamed or enlarged, lymph nodes can be hard, firm or tender.[3]

Structure

1) Capsule; 2) Subcapsular sinus; 3) Germinal centre; 4) Lymphoid nodule; 5) Trabeculae

Lymph nodes are kidney or oval shaped and range in size from a few millimeters to about 1–2 cm long.[4] Each lymph node is surrounded by a fibrous capsule, and inside the lymph node the fibrous capsule extends to form trabeculae. The substance of the lymph node is divided into the outer cortex and the inner medulla. The cortex is continuous around the medulla except at the hilum, where the medulla comes in direct contact with the hilum.[4]

Thin reticular fibers and elastin form a supporting meshwork called a reticular network inside the node. White blood cells (leukocytes), the most prominent ones being lymphocytes, are tightly packed in the follicles (B cells) and the cortex (T cells). Elsewhere in the node, there are only occasional leucocytes. As part of the reticular network there are follicular dendritic cells in the B cell follicle and fibroblastic reticular cells in the T cell cortex. The reticular network not only provides the structural support, but also the surface for adhesion of the dendritic cells, macrophages and lymphocytes. It allows exchange of material with blood through the high endothelial venules and provides the growth and regulatory factors necessary for activation and maturation of immune cells.[5]

The number and composition of follicles can change especially when challenged by an antigen, when they develop a germinal center.[4]

Lymph node histology

Lymph enters the convex side of the lymph node through multiple afferent lymphatic vessels, to flow through the sinuses. A lymph sinus which includes the subcapsular sinus, is a channel within the node, lined by endothelial cells along with fibroblastic reticular cells and this allows for the smooth flow of lymph through them.The endothelium of the subcapsular sinus is continuous with that of the afferent lymph vessel and is also with that of the similar sinuses flanking the trabeculae and within the cortex. All of these sinuses drain the filtered lymphatic fluid into the medullary sinuses, from where the lymph flows into the efferent lymph vessels to exit the node at the hilum on the concave side.[4] These vessels are smaller and don't allow the passage of the macrophages so that they remain contained to function within the lymph node. In the course of the lymph, lymphocytes may be activated as part of the adaptive immune response.

Capsule

Lymph node tissue showing trabeculae

The lymph node capsule is composed of dense irregular connective tissue with some plain muscle fibers, and from its internal surface are given off a number of membranous processes or trabeculae, consisting, in humans, of connective tissue, with a small admixture of plain muscle fibers; but in many of the lower animals composed almost entirely of involuntary muscle. They pass inward, radiating toward the center of the gland, for about one-third or one-fourth of the space between the circumference and the center of the node. In some animals they are sufficiently well-marked to divide the peripheral or cortical portion of the gland into a number of compartments (follicles), but in humans this arrangement is not obvious. The larger trabeculae springing from the capsule break up into finer bands, and these interlace to form a mesh-work in the central or medullary portion of the gland. In these spaces formed by the interlacing trabeculae is contained the proper gland substance or lymphoid tissue. The gland pulp does not, however, completely fill the spaces, but leaves, between its outer margin and the enclosing trabeculae, a channel or space of uniform width throughout. This is termed the subcapsular sinus (lymph path or lymph sinus). Running across it are a number of finer trabeculæ of reticular connective tissue, the fibers of which are, for the most part, covered by ramifying cells.

Afferent and efferent vessels

Subcapsular sinus

The subcapsular sinus (lymph path, lymph sinus, marginal sinus) is the space between the capsule and the cortex which allows the free movement of lymphatic fluid and so contains a sparsity of lymphocytes.[4] It is continuous with the similar lymph sinuses that flank the trabeculae.[4]

The lymph node contains lymphoid tissue, i.e., a meshwork or fibers called reticulum with white blood cells enmeshed in it. The regions where there are few cells within the meshwork are known as lymph sinus. It is lined by reticular cells, fibroblasts and fixed macrophages.[4]

The subcapsular sinus has clinical importance as it is the most likely location where the earliest manifestations of a metastatic carcinoma in a lymph node would be found.

Cortex

Diagram of a lymph node

The cortex of the lymph node is the peripheral portion underneath the capsule and the subcapsular sinus.[6] The subcapsular sinus drains to trabecular sinuses, and then the lymph flows into the medullary sinuses.

The outer cortex consists mainly of the B cells arranged as follicles, which may develop a germinal center when challenged with an antigen, and the deeper cortex mainly consisting of the T cells. There is a zone known as the subcortical zone where T-cells (or cells that are mainly red) mainly interact with dendritic cells, and where the reticular network is dense. The predominant site within the lymph nodes which contain T cells & accessory cells is also known as paracortex (reticular network).[7]

Medulla

The medulla contains large blood vessels, sinuses and medullary cords that contain antibody-secreting plasma cells.

The medullary cords are cords of lymphatic tissue, and include plasma cells, macrophages, and B cells. The medullary sinuses (or sinusoids) are vessel-like spaces separating the medullary cords. Lymph flows into the medullary sinuses from cortical sinuses, and into efferent lymphatic vessels. Medullary sinuses contain histiocytes (immobile macrophages) and reticular cells.

Function

Main article: Lymphatic system
There are clusters of nodes under the arms, in the groin, neck and abdomen

The lymph fluid inside the lymph nodes contains lymphocytes, a type of white blood cell, which continuously recirculates through the lymph nodes and the bloodstream. Molecules found on bacteria cell walls or chemical substances secreted from bacteria, called antigens, may be taken up by dedicated antigen-presenting cells such as dendritic cells into the lymph system and then into lymph nodes. In response to the antigens, the lymphocytes in the lymph node make antibodies which will go out of the lymph node into circulation, seek, and target the pathogens producing the antigens by targeting them for destruction by other cells. If the lymphocytes are unable to fight a particular pathogen, the general immune system will be activated to assist. The increased numbers of immune system cells fighting the infection will make the node expand and become swollen.

Lymph circulates to the lymph node via afferent lymphatic vessels and drains into the node just beneath the capsule in a space called the subcapsular sinus. The subcapsular sinus drains into trabecular sinuses and finally into medullary sinuses. The sinus space is criss-crossed by the pseudopods of macrophages, which act to trap foreign particles and filter the lymph. The medullary sinuses converge at the hilum and lymph then leaves the lymph node via the efferent lymphatic vessel towards either a more central lymph node or ultimately for drainage into a central venous subclavian blood vessel.

When a lymphocyte recognizes an antigen, B cells become activated and migrate to germinal centers (by definition, a "secondary nodule" has a germinal center, while a "primary nodule" does not). When antibody-producing plasma cells are formed, they migrate to the medullary cords. Stimulation of the lymphocytes by antigens can accelerate the migration process to about 10 times normal, resulting in characteristic swelling of the lymph nodes.

The spleen and tonsils are large lymphoid organs that serve similar functions to lymph nodes, though the spleen filters blood cells rather than lymph.

Clinical significance

Main articles: Lymphadenopathy and Lymphedema
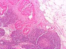
Micrograph of a mesenteric lymph node with adenocarcinoma

Lymph nodes may become enlarged due to an infection, tumour or inflamed due to leukemia. This increase in size is primarily due to an elevated rate of trafficking of lymphocytes into the node from the blood, exceeding the rate of outflow from the node. They may also be enlarged secondarily as a result of the activation and proliferation of antigen-specific T and B cells (clonal expansion). In some cases, where there is no infection they may still feel enlarged due to a previous infection. Lymphogranuloma venereum is a sexually transmitted infection that travels through the lymphatics and targets lymph nodes where the bacteria multiply. Enlarged and painful lymph nodes can result.

Lymphadenopathy is a term meaning "disease of the lymph nodes." It is, however, almost synonymously used with "swollen or enlarged lymph nodes." In this case, the lymph nodes are detectable by touch (palpable); this is a sign of various infections and diseases.

Lymphedema is a fairly widespread condition of the lymphatic system resulting in localised fluid retention and tissue swelling. Affected tissues are at risk of infection. Primary lymphedema generally results from poorly developed or missing lymph nodes. Secondary lymphedema results mostly from the dissection of lymph nodes during breast cancer surgery and also from other treatments usually involving radiation.

Lymphomas are classed as tumors of the hematopoietic and lymphoid tissues and mostly refer to malignancies. Lymph nodes may become swollen but are not often painful.

Additional images

See also

References

  1. "What are lymph nodes". Siamak N. Nabili, MD, MPH. 2015-02-05.
  2. "Lymph Nodes Directory". www.webmd.com.
  3. "Swollen Glands and Other Lumps Under the Skin-Topic Overview". Children.webmd.com. 2011-04-14. Retrieved 2014-02-28.
  4. 1 2 3 4 5 6 7 Warwick, Roger; Peter L. Williams (1973) [1858]. "Angiology (Chapter 6)". Gray's anatomy. illustrated by Richard E. M. Moore (Thirty-fifth ed.). London: Longman. pp. 588–785.
  5. Kaldjian, Eric P.; J. Elizabeth Gretz, Arthur O. Anderson, Yinghui Shi and Stephen Shaw (October 2001). "Spatial and molecular organization of lymph node T cell cortex: a labyrinthine cavity bounded by an epithelium-like monolayer of fibroblastic reticular cells anchored to basement membrane-like extracellular matrix". International Immunology. Oxford Journals. 13 (10): 1243–1253. doi:10.1093/intimm/13.10.1243. PMID 11581169. Retrieved 2008-07-11. Cite uses deprecated parameter |coauthors= (help)
  6. "Definition: cortex of lymph node from Online Medical Dictionary". Retrieved 2008-10-19.
  7. Katakai, Tomoya; Takahiro Hara, Hiroyuki Gonda1, Manabu Sugai and Akira Shimizu (5 July 2004). "A novel reticular stromal structure in lymph node cortex: an immuno-platform for interactions among dendritic cells, T cells and B cells". International Immunology. 16 (8): 1133–1142. doi:10.1093/intimm/dxh113. PMID 15237106. Retrieved 2008-07-11. Cite uses deprecated parameter |coauthors= (help)

External links

Wikimedia Commons has media related to Lymph nodes.
This article is issued from Wikipedia - version of the 11/10/2016. The text is available under the Creative Commons Attribution/Share Alike but additional terms may apply for the media files.