Morton's toe


Morton's toe (or Morton's foot, Greek foot, "Royal toe", "Turkey toe", "LaMay toe", "hallicusbradymetatarsalgia" "Sheppard's toe", Morton's syndrome,[1] long toe, boss toe.) is the condition of a shortened first metatarsal in relation to the second metatarsal. It is a type of brachymetatarsia.[1]
The metatarsal bones behind the toes vary in relative length. For most feet, a smooth curve can be traced through the joints at the bases of the toes. But in Morton's foot, the line has to bend more sharply to go through the base of the big toe, as shown in the diagram.
This is because the first metatarsal, behind the big toe, is short compared to the second metatarsal, next to it. The longer second metatarsal puts the joint at the base of the second toe (the second metatarsal-phalangeal, or MTP, joint) farther forward.
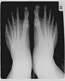
If the big toe and the second toe are the same length (as measured from the MPT joint to the tip, including only the phalanges), then the second toe will protrude farther than the big toe, as shown in the photo. If the second toe is shorter than the big toe, the big toe may still protrude the farthest, or there may be little difference, as shown in the X-ray.

Etymology
The name derives from American orthopedic surgeon Dudley Joy Morton (1884–1960),[2] who originally described it as part of Morton's triad (a.k.a. Morton's syndrome or Morton's foot syndrome):[1] a congenital short first metatarsal bone, a hypermobile first metatarsal segment, and calluses under the second and third metatarsals.
Confusion has arisen from "Morton's foot" being used for a different condition, Morton's metatarsalgia, which affects the space between the bones and is named after Thomas George Morton (1835–1903).[3]
Prevalence
Morton's Toe is a common variant of foot shape. Its recorded prevalence varies in different populations, from a few percent to tens of percent.[4][5][6]
Effects
The most common symptom experienced due to Morton's toe is callusing and /or discomfort of the ball of the foot at the base of the second toe. The first metatarsal head would normally bear the majority of a person's body weight during the propulsive phases of gait, but because the second metatarsal head is farthest forward, the force is transferred there. Pain may also be felt in the arch of the foot, at the ankleward end of the first and second metatarsals.[7]
In shoe-wearing cultures, Morton's toe can be problematic. For instance, wearing shoes with a profile that does not accommodate a longer second toe may cause foot pain. A small (80-person) study[6] found no statistically significant difference in the frequency of longer second toes between people with and without ingrown toenails, but tight and ill-fitting shoes are generally considered to increase the risk of ingrown toenails,[6][8] and shoes are often too tight on the toes.[9]
Treatment
Asymptomatic anatomical variations in feet generally do not need treatment.[4]
Conservative treatment for foot pain with Morton's toe may involve exercises[10] or placing a flexible pad under the first toe and metatarsal;[7] an early version of the latter treatment was once patented by Dudley Joy Morton.[11] Restoring the Morton’s toe to normal function with proprioceptive orthotics can help alleviate numerous problems of the feet such as metatarsalgia, hammer toes, bunions, Morton's neuroma, plantar fasciitis, and general fatigue of the feet. Rare cases of disabling pain are sometimes treated surgically.
Cultural associations
Morton's toe, especially the second-toe-is-longer versions, has a long association with disputed anthropological and ethnic interpretations. Morton called it Metatarsus atavicus, considering it an atavism recalling prehuman grasping toes. In statuary and shoe fitting, a more-protuberant second toe has been called the Greek foot (as opposed to the Egyptian foot, where the great toe is longer). It was an idealized form in Greek sculpture, and this persisted as an aesthetic standard through Roman and Renaissance periods and later (the Statue of Liberty has toes of this proportion). There are also associations found within Celtic groups. The French call it commonly pied grec (just as the Italians call it piede greco), but sometimes pied ancestral or pied de Néanderthal.[12]
See also
- Digit ratio
- Foot
- List of Mendelian traits in humans
- Runner's toe, repetitive injury seen in runners
Notes
- 1 2 3 Schimizzi, A; Brage, M (September 2004). "Brachymetatarsia". Foot Ankle Clin. 9 (3): 555–70, ix. doi:10.1016/j.fcl.2004.05.002. PMID 15324790.
- ↑ Morton's syndrome (Dudley Joy Morton) at Who Named It?
- ↑ http://www.whonamedit.com/doctor.cfm/2324.html Thomas George Morton
- 1 2 "Clinical Examination of the Foot and Ankle" (PDF). Primary Care: Clinics in Office Practice. 32: 105–132. doi:10.1016/j.pop.2004.11.002.
- ↑ Online Mendelian Inheritance in Man: An Online Catalog of Human Genes and Genetic Disorders. http://www.omim.org/entry/189200
- 1 2 3 "Does Egyptian foot present an increased risk of ingrown toenail?". Plastic and Reconstructive Surgery. 117: 2111–2112. doi:10.1097/01.prs.0000214750.33936.45.
- 1 2 Decherchi, Patrick (2005). "Dudley Joy Morton's foot syndrome". Presse Médicale. 34 (22 Pt 1): 1737–40. PMID 16374398.
- ↑ Gibbs RC (1985). "Toe nail disease secondary to poorly fitting shoes or abnormal biomechanics". Cutis. 36: 399–400. PMID 4064760.
- ↑ Plantar pressures in habitually barefoot walkers. Kristiaan D’Août, Todd C. Pataky, Dirk De Clercq, Peter Aerts, June 2009, doi:10.1080/19424280903386411
- ↑ "Effect of the Intrinsic Foot Muscle Exercise Combined with Interphalangeal Flexion Exercise on Metatarsalgia with Morton's Toe". Journal of Physical Therapy Science. 26: 1997–1998. doi:10.1589/jpts.26.1997.
- ↑ "Means for compensating for foot abnormalities". freepatentsonline.com. Retrieved 13 November 2016.
- ↑ Kuhn, H; Gerdes-Kuhn, R; Küster, H.-H. (November 2003). "Zur Historie der Civinini-Durlacher-Neuropathie, genannt Morton Metatarsalgie". Fuss & Sprunggelenk.
References
| Wikimedia Commons has media related to Morton's syndrome. |
- Morton, D. J. "Metatarsus atavicus: the identification of a distinct type of foot disorder", The Journal of Bone and Joint Surgery, Boston, 1927, 9: 531-544.
- Toes, relative lengths of first and second Online Mendelian Inheritance in Man.
- EFORT – European Federation of National Associations of Orthopaedics and Traumatology: Scientific Library: Concepts of the human foot in mythology, art and surgery, John Kirkup, EFORT (Bulletin of European Orthopaedics), #11, Nov. 1999.
- www.painontopoffoottalk.com List of foot pain causing from medicine student.
- "British feet" Discover Magazine, June, 1996, Retrieved July, 2006.
- Fett, HC; Pool, CC (1949). "Plantar interdigital neuroma or Morton's toe". American journal of surgery. 78 (4): 522–5. doi:10.1016/0002-9610(49)90218-4. PMID 18141198.