Neutral lipid storage disease

Neutral lipid storage disease
Classification and external resources
OMIM 275630
DiseasesDB 32708

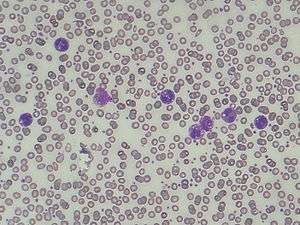
Neutral lipid storage disease (also known as Chanarin–Dorfman syndrome) is an autosomal recessive disorder characterized by accumulation of triglycerides in the cytoplasm of leukocytes, muscle, liver, fibroblasts, and other tissues.[1]:502[2]:564

It can be associated with CGI58.[3][4]

See also

References

  1. Freedberg, et al. (2003). Fitzpatrick's Dermatology in General Medicine. (6th ed.). McGraw-Hill. ISBN 0-07-138076-0.
  2. James, William; Berger, Timothy; Elston, Dirk (2005). Andrews' Diseases of the Skin: Clinical Dermatology. (10th ed.). Saunders. ISBN 0-7216-2921-0.
  3. Lefèvre C, Jobard F, Caux F, et al. (November 2001). "Mutations in CGI-58, the gene encoding a new protein of the esterase/lipase/thioesterase subfamily, in Chanarin-Dorfman syndrome". Am. J. Hum. Genet. 69 (5): 1002–12. doi:10.1086/324121. PMC 1274347Freely accessible. PMID 11590543.
  4. Yamaguchi, Tomohiro; Osumi, Takashi (2009). "Chanarin–Dorfman syndrome: Deficiency in CGI-58, a lipid droplet-bound coactivator of lipase". Biochimica et Biophysica Acta (BBA) - Molecular and Cell Biology of Lipids. 1791 (6): 519–523. doi:10.1016/j.bbalip.2008.10.012. ISSN 1388-1981.


This article is issued from Wikipedia - version of the 9/6/2016. The text is available under the Creative Commons Attribution/Share Alike but additional terms may apply for the media files.