Nonossifying fibroma
| Nonossifying fibroma | |
|---|---|
![]() | |
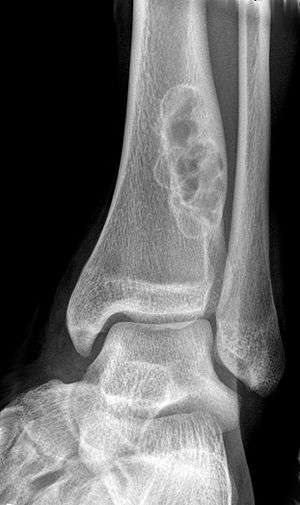
| X-ray of nonossifying fibroma of distal tibia. | |
| Classification and external resources | |
| Specialty | rheumatology |
| ICD-10 | M89.8 |
| ICD-9-CM | 733.99 |
| eMedicine | article/389590 |
A nonossifying fibroma (also called fibroxanthoma) is a fibrous bone lesion that is usually asymptomatic and discovered as an incidental finding on x-ray. It is the most common benign bone tumor in children and adolescents. However, it is controversial whether it represents a true neoplasm or rather a developmental disorder of growing bone. Radiographically, the tumor presents as a well marginated radiolucent lesion, with a distinct multilocular appearance. These foci consist of collagen rich connective tissue, fibroblasts, histiocytes and osteoclasts. They originate from the growth plate, and are located in adjacent parts of the metaphysis and diaphysis of long bones, most often of the legs. No treatment is needed in asymptomatic patients and spontaneous remission with replacement by bone tissue is to be expected.
Multiple nonossifying fibromas occur in Jaffe-Campanacci syndrome in combination with cafe-au-lait spots, mental retardation, hypogonadism, ocular and cardiovascular abnormalities.
See also
References
External links
-

Wikimedia Commons has media related to Nonossifying fibroma. - Wheeless' Textbook of Orthopaedics: Nonossifying Fibroma
