Combined periodontic-endodontic lesions

Combined periodontic-endodontic lesions are localized, circumscribed areas of bacterial infection originating from either dental pulp, periodontal tissues surrounding the involved tooth or teeth or both.[1]

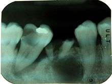
Source of infection

Periapical readiograph of lower right teeth, showing a large carious lesion in the distal of the lower right second molar. The same tooth also has an extensive periodontal defect. At this stage, without further information, it is difficult to tell which process has occurred first and lead to the death of the pulp.

Combined periodontic-endodontic lesions take the form of abscesses and can originate from either or both of two distinct locations[1] and may be informally subclassified as follows:

  1. Endo-Perio: infection from the pulp tissue within a tooth may spread into the bone immediately surrounding the tip, or apex, or the tooth root, forming a periapical abscess. This infection may then proliferate coronally to communicate with the margin of the alveolar bone and the oral cavity by spreading through the periodontal ligament.
  2. Perio-Endo: infection from a periodontal pocket may proliferate via accessory canals into the root canal of the affected tooth, leading to pulpal inflammation. Accessory canals may not be big enough to allow bacterial penetration, periodontal disease must reach the apex to induce an endodontic lesion.

Neither the prognosis, treatment nor expected treatment outcome depend on the source of the infection.[2]

A combined lesion may also be the result of a fractured tooth.

Treatment

Treatment includes conventional endodontic therapy followed by conventional periodontal therapy. If the lesion is deemed too severe for treatment, the involved tooth may require extraction.

References

  1. 1 2 American Academy of Periodontology (May 2000). "Parameter on acute periodontal diseases. American Academy of Periodontology" (PDF). J. Periodontol. 71 (5 Suppl): 863–6. doi:10.1902/jop.2000.71.5-S.863. PMID 10875694. Archived from the original (PDF) on 2010-11-28.
  2. American Academy of Periodontology (1999). "Consensus report: Periodontic-Endodontic Lesions". Ann. Periodontol. 4 (1): 90. doi:10.1902/annals.1999.4.1.90.
This article is issued from Wikipedia - version of the 11/28/2016. The text is available under the Creative Commons Attribution/Share Alike but additional terms may apply for the media files.