Pneumonectomy

Pneumonectomy
Intervention

Appearance of the cut surface of a pneumonectomy specimen containing lung cancer, here a squamous cell carcinoma (the whitish tumor near the bronchi).
ICD-9-CM 32.5
MeSH D011013

A pneumonectomy (or pneumectomy) is a surgical procedure to remove a lung. Removal of just one lobe of the lung is specifically referred to as a lobectomy, and that of a segment of the lung as a wedge resection (or segmentectomy).

Indications

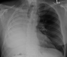
A chest x-ray of a person who has had their right lung removed

The most common reason for a pneumonectomy is to remove tumourous tissue arising from lung cancer. In the days prior to the use of antibiotics in tuberculosis treatment, tuberculosis was sometimes treated surgically by pneumonectomy.

The operation will reduce the respiratory capacity of the patient; before conducting a pneumonectomy, the surgeon will evaluate the ability of the patient to function after the lung tissue is removed. After the operation, patients are often given an incentive spirometer to help exercise their remaining lung and to improve breathing function.

A rib or two is sometimes removed to allow the surgeon better access to the lung.

Types

Diagram showing the parts removed in a pneumonectomy

There are two types of pneumonectomy:

  1. Simple pneumonectomy: removal of just the affected lung
  2. Extrapleural pneumonectomy (EPP): removal of the affected lung, plus part of the diaphragm, the parietal pleura (lining of the chest) and the pericardium (lining of the heart) on that side.[1] The linings are replaced by Gore-Tex in this radical and painful surgery that is used primarily for treatment of malignant mesothelioma.

History

Pioneering dates

See also

References

  1. http://www.cancer.gov/templates/db_alpha.aspx?CdrID=367446
  2. Naef, A (1993). "Hugh Morriston Davies: First Dissection Lobectomy in 1912". Annals of Thoracic Surgery. 56 (4): 988–989. doi:10.1016/0003-4975(93)90377-t. PMID 8215687.
  3. Rosenthal, R; Zenilman M (2001). "Principles and Practice of Geriatric Surgery". Springer: 393.
  4. Horn, L; Johnson DH (July 2008). "Evarts A. Graham and the first pneumonectomy for lung cancer". Journal of Clinical Oncology. 26 (19): 3268–3275. doi:10.1200/JCO.2008.16.8260. PMID 18591561.
  5. Churchill, E; Belsey R (1939). "Segmental Pneumonectomy in Bronchiectasis: The Lingula Segment of the Left Upper Lobe". Annals of Surgery. 109 (4): 481–499. doi:10.1097/00000658-193904000-00001. PMC 1391296Freely accessible. PMID 17857340.
This article is issued from Wikipedia - version of the 12/3/2016. The text is available under the Creative Commons Attribution/Share Alike but additional terms may apply for the media files.