Portal vein thrombosis
| Portal vein thrombosis | |
|---|---|
![]() | |
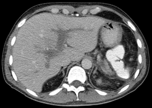
| Portal vein thrombosis seen with computed tomography. | |
| Classification and external resources | |
| Specialty | cardiology |
| ICD-10 | I81 |
| ICD-9-CM | 452 |
| eMedicine | radio/571 |
Portal vein thrombosis, previously known as Cauchois–Eppinger–Frugoni syndrome,[1] is a form of venous thrombosis affecting the hepatic portal vein, which can lead to portal hypertension and reduction in the blood supply to the liver.
Signs and symptoms
Portal vein thrombosis can cause fever, symptoms of indigestion, and gradually worsening abdominal pain. However, it can also develop without causing symptoms, leading to portal hypertension before it is diagnosed.[2] Other symptoms can develop based on the cause. For example, if portal vein thrombosis develops due to liver cirrhosis, bleeding or other signs of liver disease may be present. If portal vein thrombosis develops due to pylephlebitis, signs of infection such as fever, chills, night sweats may be present.
Causes
Causes can include pancreatitis, cirrhosis, diverticulitis, and cholangiocarcinoma. It is also a known complication of splenectomy.[3]
Diagnosis
The diagnosis of portal vein thrombosis is usually made by ultrasound, computed tomography with contrast or magnetic resonance imaging. D-dimer levels in the blood may be elevated as a result of fibrin degradation.
Treatment

Treatments include anticoagulants, shunts, bypass surgery, and transplants.
See also
References
- ↑ Strous, Rael D.; Edelman, Morris C. (2007). "Eponyms and the Nazi Era: Time to Remember and Time for Change". Israel Medical Association Journal. 9: 207–214.
- ↑ Hall, TC; Garcea, G; Metcalfe, M; Bilku, D; Dennison, AR (November 2011). "Management of acute non-cirrhotic and non-malignant portal vein thrombosis: a systematic review.". World journal of surgery. 35 (11): 2510–20. doi:10.1007/s00268-011-1198-0. PMID 21882035.
- ↑ Ali Cadili, Chris de Gara, "Complications of Splenectomy", The American Journal of Medicine, 2008, pp 371-375.
External links
| Wikimedia Commons has media related to Portal vein thrombosis. |
