Radiologic sign

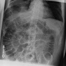
The dark areas on both sides of the intestines indicate that air is present in both sides. This is called "Rigler's sign".
A radiologic sign is an objective indication of some medical fact or quality that is detected by a physician during examination of a radiograph (e.g., a plain film X-ray, CT scan, MRI image).
Examples
- Football sign
- Golden S sign
- Hampton's hump
- Kerley lines
- Omental cake
- Peribronchial cuffing
- Pneumatosis intestinalis
- Rigler's sign
- Westermark sign
See also
This article is issued from Wikipedia - version of the 8/15/2016. The text is available under the Creative Commons Attribution/Share Alike but additional terms may apply for the media files.