Retropharyngeal space
| Retropharyngeal space | |
|---|---|
![]() Section of the neck at about the level of the sixth cervical vertebra. Showing the arrangement of the deep cervical fascia | |
![]() | |
| Details | |
| Identifiers | |
| Latin | Spatium retropharyngeum |
| TA | A05.3.01.118 |
| FMA | 55080 |
The retropharyngeal space is a potential space of the head and neck, bounded by the buccopharyngeal fascia anteriorly and the alar fascia posteriorly. Together with the lateral pharyngeal space, these spaces are termed the parapharyngeal spaces.[1]
It contains the retropharyngeal lymph nodes.[2]
Because serious infections of teeth can spread down this space into the posterior mediastinum, it is often confused with the danger space. The danger space is actually between the alar fascia and the prevertebral fascia and extends from the cranial base above to the level of the diaphragm.
Clinical significance
A midline raphe is present in this space making some infections appear unilateral. However without treatment infections can easily spread from one space to the adjacent space.
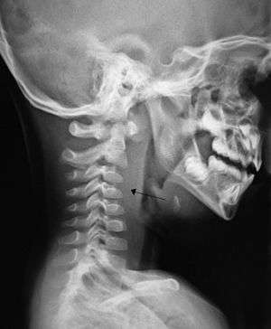
If more than half of the size of the C2 vertebra, it may indicate retropharyngeal abscess.[3]
Relations
It is limited above by the base of the skull, and below where the alar fascia fuses with the buccopharyngeal fascia at about the level of T4 and the carina.
Relations of the retropharyngeal space:
- Superior: Base of the skull
- Inferior: Superior mediastinum
- Lateral: Carotid sheath
- Anterior: Buccopharyngeal fascia
- Posterior: Alar fascia[4]
Additional images
References
This article incorporates text in the public domain from the 20th edition of Gray's Anatomy (1918)
- ↑ Berman, editors, Kenneth M. Hargreaves, Stephen Cohen ; web editor, Louis H. (2010). Cohen's pathways of the pulp (10th ed.). St. Louis, Mo.: Mosby Elsevier. p. 593. ISBN 978-0323064897.
- ↑ Chong VF, Fan YF (October 2000). "Radiology of the retropharyngeal space". Clin Radiol. 55 (10): 740–8. doi:10.1053/crad.2000.0510. PMID 11052873.
- ↑ Gary Frank; Samir S Shah; Marina Catallozzi; Lisa B Zaoutis (1 June 2005). The Philadelphia guide: inpatient pediatrics. Lippincott Williams & Wilkins. pp. 181–. ISBN 978-1-4051-0428-9. Retrieved 26 May 2010.
- ↑ Ozlugedik S, Ibrahim Acar H, Apaydin N, et al. (October 2005). "Retropharyngeal space and lymph nodes: an anatomical guide for surgical dissection". Acta Otolaryngol. 125 (10): 1111–5. doi:10.1080/00016480510035421. PMID 16298795.
External links
- Anatomy figure: 31:01-04 at Human Anatomy Online, SUNY Downstate Medical Center
- MedEd at Loyola Radio/curriculum/Bones/Image476a.jpg

