Root nodule

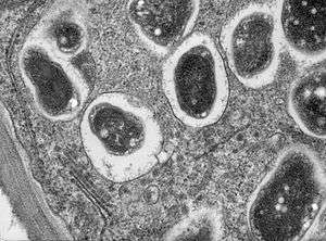
Cross section though a soybean (Glycine max 'Essex') root nodule. The bacterium, Bradyrhizobium japonicum, colonizes the roots and establishes a nitrogen fixing symbiosis. This high magnification image shows part of a cell with single bacteroids within their symbiosomes. In this image, endoplasmic reticulum, dictysome and cell wall can be seen.

Root nodules occur on the roots of plants (primarily Fabaceae) that associate with symbiotic nitrogen-fixing bacteria. Under nitrogen-limiting conditions, capable plants form a symbiotic relationship with a host-specific strain of bacteria known as rhizobia. This process has evolved multiple times within the Fabaceae, as well as in other species found within the Rosid clade.[1] The Fabaceae include legume crops such as beans and peas.

Within legume nodules, nitrogen gas from the atmosphere is converted into ammonia, which is then assimilated into amino acids (the building blocks of proteins), nucleotides (the building blocks of DNA and RNA as well as the important energy molecule ATP), and other cellular constituents such as vitamins, flavones, and hormones. Their ability to fix gaseous nitrogen makes legumes an ideal agricultural organism as their requirement for nitrogen fertilizer is reduced. Indeed high nitrogen content blocks nodule development as there is no benefit for the plant of forming the symbiosis. The energy for splitting the nitrogen gas in the nodule comes from sugar that is translocated from the leaf (a product of photosynthesis). Malate as a breakdown product of sucrose is the direct carbon source for the bacteroid. Nitrogen fixation in the nodule is very oxygen sensitive. Legume nodules harbor an iron containing protein called leghaemoglobin, closely related to animal myoglobin, to facilitate the conversion of nitrogen gas to ammonia.

Root nodule symbiosis

Leguminous family

Plants that contribute to nitrogen fixation include the legume family  Fabaceae  with taxa such as kudzu, clovers, soybeans, alfalfa, lupines, peanuts, and rooibos. They contain symbiotic bacteria called rhizobia within the nodules, producing nitrogen compounds that help the plant to grow and compete with other plants. When the plant dies, the fixed nitrogen is released, making it available to other plants and this helps to fertilize the soil.[2][3] The great majority of legumes have this association, but a few genera (e.g., Styphnolobium) do not. In many traditional and organic farming practices, fields are rotated through various types of crops, which usually includes one consisting mainly or entirely of clover or buckwheat (non-legume family Polygonaceae), which are often referred to as "green manure".

Inga alley farming relies on the leguminous genus Inga, a small tropical, tough-leaved, nitrogen-fixing tree.[4]

Non-leguminous

A sectioned alder tree root nodule.

Although by far the majority of plants able to form nitrogen-fixing root nodules are in the legume family Fabaceae, there are a few exceptions:

The ability to fix nitrogen is far from universally present in these families. For instance, of 122 genera in the Rosaceae, only 4 genera are capable of fixing nitrogen. All these families belong to the orders Cucurbitales, Fagales, and Rosales, which together with the Fabales form a clade of eurosids. In this clade, Fabales were the first lineage to branch off; thus, the ability to fix nitrogen may be plesiomorphic and subsequently lost in most descendants of the original nitrogen-fixing plant; however, it may be that the basic genetic and physiological requirements were present in an incipient state in the last common ancestors of all these plants, but only evolved to full function in some of them:

Family: Genera

Betulaceae: Alnus (alders)

Cannabaceae: Trema

Casuarinaceae:

Allocasuarina
Casuarina
Ceuthostoma
Gymnostoma

......


Coriariaceae: Coriaria

Datiscaceae: Datisca

Elaeagnaceae:

Elaeagnus (silverberries)
Hippophae (sea-buckthorns)
Shepherdia (buffaloberries)

......


Myricaceae:

Comptonia (sweetfern)
Morella
Myrica (bayberries)

......


Rhamnaceae:

Ceanothus
Colletia
Discaria
Kentrothamnus
Retanilla
Talguenea
Trevoa

......


Rosaceae:

Cercocarpus (mountain mahoganies)
Chamaebatia (mountain miseries)
Dryas
Purshia/Cowania (bitterbrushes/cliffroses)

Classification

Indeterminate nodules growing on the roots of Medicago italica

Two main types of nodule have been described: determinate and indeterminate.[7]

Determinate nodules are found on certain tribes of tropical legume such as those of the genera Glycine (soybean), Phaseolus (common bean), and Vigna. and on some temperate legumes such as Lotus. These determinate nodules lose meristematic activity shortly after initiation, thus growth is due to cell expansion resulting in mature nodules which are spherical in shape. Another types of determinate nodule is found in a wide range of herbs, shrubs and trees, such as Arachis (peanut). These are always associated with the axils of lateral or adventitious roots and are formed following infection via cracks where these roots emerge and not using root hairs. Their internal structure is quite different from those of the soybean type of nodule.[8]

Indeterminate nodules are found in the majority of legumes from all three sub-families, whether in temperate regions or in the tropics. They can be seen in papilioinoid legumes such as Pisum (pea), Medicago (alfalfa), Trifolium (clover), and Vicia (vetch) and all mimosoid legumes such as acacias (mimosas), the few nodulated caesalpinioid legumes such as partridge pea They earned the name "indeterminate" because they maintain an active apical meristem that produces new cells for growth over the life of the nodule. This results in the nodule having a generally cylindrical shape, which may be extensively branched.[8] Because they are actively growing, indeterminate nodules manifest zones which demarcate different stages of development/symbiosis:[9][10][11]

Diagram illustrating the different zones of an indeterminate root nodule (see text).
Zone I—the active meristem. This is where new nodule tissue is formed which will later differentiate into the other zones of the nodule.
Zone II—the infection zone. This zone is permeated with infection threads full of bacteria. The plant cells are larger than in the previous zone and cell division is halted.
Interzone II–III—Here the bacteria have entered the plant cells, which contain amyloplasts. They elongate and begin terminally differentiating into symbiotic, nitrogen-fixing bacteroids.
Zone III—the nitrogen fixation zone. Each cell in this zone contains a large, central vacuole and the cytoplasm is filled with fully differentiated bacteroids which are actively fixing nitrogen. The plant provides these cells with leghemoglobin, resulting in a distinct pink color.
Zone IV—the senescent zone. Here plant cells and their bacteroid contents are being degraded. The breakdown of the heme component of leghemoglobin results in a visible greening at the base of the nodule. This is the most widely studied type of nodule, but the details are quite different in nodules of peanut and relatives and some other important crops such as lupins where the nodule is formed following direct infection of rhizobia through the epidermis and where infection threads are never formed. Nodules grow around the root, forming a collar-like structure. In these nodules and in the peanut type the central infected tissue is uniform, lacking the uninfected ells seen in nodules of soybean and many indeterminate types such as peas and clovers.

Nodulation

Nitrogen-fixing nodules on a clover root.

Legumes release compounds called flavonoids from their roots, which trigger the production of nod factors by the bacteria. When the nod factor is sensed by the root, a number of biochemical and morphological changes happen: cell division is triggered in the root to create the nodule, and the root hair growth is redirected to wind around the bacteria multiple times until it fully encapsulates 1 or more bacteria. The bacteria encapsulated divide multiple times, forming a microcolony. From this microcolony, the bacteria enter the developing nodule through a structure called an infection thread, which grows through the root hair into the basal part of the epidermis cell, and onwards into the root cortex; they are then surrounded by a plant-derived membrane and differentiate into bacteroids that fix nitrogen.

Effective nodulation takes place approximately four weeks after planting a crop, with the size, and shape of the nodules will depend on the crop that was planted. Crops such as soybeans, or peanuts will have larger nodules than forage legumes such as red clover, or alfalfa. By visually analysis the number of nodules, and the internal color of the nodules, experts will be able to indicate the status of nitrogen fixation in the plant.[12]

Nodulation is controlled by a variety of processes, both external (heat, acidic soils, drought, nitrate) and internal (autoregulation of nodulation, ethylene). Autoregulation of nodulation controls nodule numbers per plant through a systemic process involving the leaf. Leaf tissue senses the early nodulation events in the root through an unknown chemical signal, then restricts further nodule development in newly developing root tissue. The Leucine rich repeat (LRR) receptor kinases (NARK in soybean (Glycine max); HAR1 in Lotus japonicus, SUNN in Medicago truncatula) are essential for autoregulation of nodulation (AON). Mutation leading to loss of function in these AON receptor kinases leads to supernodulation or hypernodulation. Often root growth abnormalities accompany the loss of AON receptor kinase activity, suggesting that nodule growth and root development are functionally linked. Investigations into the mechanisms of nodule formation showed that the ENOD40 gene, coding for a 12–13 amino acid protein [41], is up-regulated during nodule formation [3].

Connection to root structure

Root nodules apparently have evolved three times within the Fabaceae but are rare outside that family. The propensity of these plants to develop root nodules seems to relate to their root structure. In particular, a tendency to develop lateral roots in response to abscisic acid may enable the later evolution of root nodules.[13]

In other species

Main article: Actinorhizal plant
A sectioned Alder tree root nodule.
A whole Alder tree root nodule.

Root nodules that occur on non-legume genera like Parasponia in association with Rhizobium bacteria, and those that arise from symbiotic interactions with Actinobacteria Frankia in some plant genera such as Alnus, vary significantly from those formed in the legume-rhizobia symbiosis. In these symbioses the bacteria are never released from the infection thread. Frankia nodulates approximately two hundred species in the following orders (families in parentheses): Cucurbitales (Coriariaceae and Datiscaceae), Fagales (Betulaceae, Casuarinaceae, and Myricaceae), Rosales (Rhamnaceae, Elaeagnaceae and Rosaceae).[14] Actinorhizal symbioses account for roughly the same amount of nitrogen fixation as rhizobial symbioses.[14] All of these orders, with the Fabales, form a single nitrogen-fixing clade within the wider clade of Rosids.

Some fungi produce nodular structures known as tuberculate ectomycorrhizae on the roots of their plant hosts. Suillus tomentosus, for example, produces these structures with its plant host lodgepole pine (Pinus contorta var. latifolia). These structures have in turn been shown to host nitrogen fixing bacteria which contribute a significant amount of nitrogen and allow the pines to colonize nutrient-poor sites.[15]

See also

References

  1. Doyle, J. J. & Luckow, M. A. (2003). "The Rest of the Iceberg. Legume Diversity and Evolution in a Phylogenetic Context". Plant Physiology. 131 (3): 900–910. doi:10.1104/pp.102.018150. PMC 1540290Freely accessible. PMID 12644643.
  2. Postgate, J. (1998). Nitrogen Fixation, 3rd Edition. Cambridge University Press, Cambridge UK.
  3. Smil, V (2000). Cycles of Life. Scientific American Library.
  4. Elkan, Daniel. "Slash-and-burn farming has become a major threat to the world's rainforest". The Guardian, 21 April 2004.
  5. Op den Camp, Rik; Streng, A.; et al. (2010). "LysM-Type Mycorrhizal Receptor Recruited for Rhizobium Symbiosis in Nonlegume Parasponia". Science. 331 (6019): 909–912. Bibcode:2011Sci...331..909O. doi:10.1126/science.1198181.
  6. Dawson, J. O. (2008). "Ecology of actinorhizal plants". Nitrogen-fixing Actinorhizal Symbioses. 6. Springer. pp. 199–234. doi:10.1007/978-1-4020-3547-0_8.
  7. Martin Crespi & Susana Gálvez (2000). "Molecular Mechanisms in Root Nodule Development" (PDF). Journal of Plant Growth and Regulation. 19 (2): 155–166. doi:10.1007/s003440000023. PMID 11038225.
  8. 1 2 Sprent 2009, Legume nodulation: a global perspective. Wiley-Blackwell
  9. Fabrice Foucher & Eva Kondorosi (2000). "Cell cycle regulation in the course of nodule organogenesis in Medicago" (PDF). Plant Molecular Biology. 43 (5–6): 773–786. doi:10.1023/A:1006405029600. PMID 11089876.
  10. Hannah Monahan-Giovanelli; Catalina Arango Pinedo & Daniel J. Gage (2006). "Architecture of Infection Thread Networks in Developing Root Nodules Induced by the Symbiotic Bacterium Sinorhizobium meliloti on Medicago truncatula". Plant Physiology. 104 (2): 661–670. doi:10.1104/pp.105.072876. PMC 1361332Freely accessible. PMID 16384905.
  11. Willem Van de Velde; Juan Carlos Pérez Guerra; Annick De Keyser; Riet De Rycke; et al. (2006). "Aging in Legume Symbiosis. A Molecular View on Nodule Senescence in Medicago truncatula". Plant Physiology Review. 141 (2): 711–20. doi:10.1104/pp.106.078691. PMC 1475454Freely accessible. PMID 16648219.
  12. Adjei, M. B. "Nitrogen Fixation and Inoculation of Forage Legumes" (PDF). University of Florida. Retrieved December 1, 2016.
  13. Yan Liang & Jeanne M. Harris (2005). "Response of root branching to abscisic acid is correlated with nodule formation both in legumes and nonlegumes". American Journal of Botany. 92 (10): 1675–1683. doi:10.3732/ajb.92.10.1675.
  14. 1 2 Jeff J. Doyle (1998). "Phylogenetic perspectives on nodulation: evolving views of plants and symbiotic bacteria". Trends in Plant Science. 3 (12): 473–778. doi:10.1016/S1360-1385(98)01340-5.
  15. Paul, L.R.; Chapman, B.K.; Chanway, C.P. (2007). "Nitrogen Fixation Associated with Suillus tomentosus Tuberculate Ectomycorrhizae on Pinus contorta var. latifolia". Annals of Botany. 99 (6): 1101–1109. doi:10.1093/aob/mcm061. PMC 3243579Freely accessible. PMID 17468111.

External links

This article is issued from Wikipedia - version of the 12/2/2016. The text is available under the Creative Commons Attribution/Share Alike but additional terms may apply for the media files.