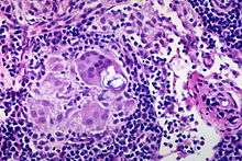
Schaumann body

Crystalline inclusion with developing Schaumann body, polarized, in sarcoidosis

In pathology, Schaumann bodies are calcium and protein inclusions inside of Langhans giant cells as part of a granuloma.

Many conditions can cause Schaumann bodies, including:

Etymology

These inclusions were named after Swedish dermatologist Jörgen Nilsen Schaumann.[2]

See also

References


This article is issued from Wikipedia - version of the 5/11/2016. The text is available under the Creative Commons Attribution/Share Alike but additional terms may apply for the media files.