Spitz nevus

Spitz nevus
Spitz nevus
Classification and external resources
Specialty Oncology
ICD-10 D22 (ILDS D22.L32)
ICD-O M8770/0
DiseasesDB 29807
eMedicine article/1059623
MeSH D018332

A Spitz nevus (also known as an epithelioid and spindle-cell nevus,[1] benign juvenile melanoma,[1]:691 and "Spitz's juvenile melanoma"[2]) is a benign melanocytic nevus, a type of skin lesion, affecting the epidermis and dermis.[3]

The name juvenile melanoma is generally no longer used as it is misleading: it is not a melanoma, it is a benign lesion; and it can also occur in adults, not only in children.[4]

Epidemiology

Spitz nevi are uncommon. Their annual incidence was estimated in a coastal population of sub-tropical Queensland to be 1.4 cases per 100,000 people. For comparison, the annual incidence of melanoma in the same population, which is high by world standards[5] is 25.4 cases per 100,000 people.[4]

Although they are most commonly found on people in their first two decades of life,[3] the age range for people with Spitz nevi is from 6 months to 71 years, with a mean age of 22 years and a median age of 19 years.[4]

Pathology

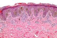
Micrograph of a Spitz nevus showing the characteristic vertically arranged nests of cells ("hanging bananas"). H&E stain.

The cause of Spitz nevi is not yet known. There is an association with sunburn, but causation is not established.[3] Genetic studies of Spitz nevi have shown that most cells have the normal number of chromosomes, however a minority (25%) of cells have been shown to contain extra copies of parts of some chromosomes, such as the short arm of chromosome 11 (11p).[3]

Spitz nevi characteristically have vertically arranged nests of nevus cells that have both a spindled and an epithelioid morphology. Apoptotic cells may be seen at the dermoepidermal junction. The main histologic differential diagnoses are pigmented spindle cell nevus and malignant melanoma.

Eponym

The lesion is named after Sophie Spitz, the pathologist who originally described it in 1948.[6]

See also

References

Wikimedia Commons has media related to Spitz nevus.
  1. 1 2 James, William D.; Berger, Timothy G.; et al. (2006). Andrews' Diseases of the Skin: clinical Dermatology. Saunders Elsevier. ISBN 0-7216-2921-0.
  2. Rapini, Ronald P.; Bolognia, Jean L.; Jorizzo, Joseph L. (2007). Dermatology: 2-Volume Set. St. Louis: Mosby. pp. 1728–30. ISBN 1-4160-2999-0.
  3. 1 2 3 4 LeBoit, PE, Burg G, Weedon D, Sarasin A. (Eds) World Health Organization Classification of Tumours: Pathology and Genetics of Skin Tumours. Lyon: IARCPress. 2006.
  4. 1 2 3 Crotty, K. Spitz Naevus: Histological features and distinction from malignant melanoma. Australasian Journal of Dermatology. 38 (suppl): S49-S53. 1997.
  5. Ries LAG, et al., eds. SEER Cancer Statistics Review, 1975–2000. Bethesda, MD: National Cancer Institute; 2003: Tables XVI-1-9.
  6. Spitz S. Melanomas of childhood. Am. J. Pathol.1948;24:591-609.
This article is issued from Wikipedia - version of the 5/19/2016. The text is available under the Creative Commons Attribution/Share Alike but additional terms may apply for the media files.