Subacute thyroiditis
| Subacute thyroiditis | |
|---|---|
![]() | |
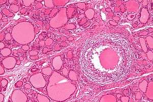
| Micrograph showing a granuloma in subacute thyroiditis. H&E stain. | |
| Classification and external resources | |
| Specialty | endocrinology |
| ICD-10 | E06.1 |
| ICD-9-CM | 245.1 |
| MedlinePlus | 000375 |
| eMedicine | article/125648 |
| MeSH | D013968 |
Subacute thyroiditis is a form of thyroiditis that can be a cause of both thyrotoxicosis and hypothyroidism.[1] It is uncommon and can affect individuals of both sexes and people of all ages. The most common form, subacute granulomatous, or de Quervain's, thyroiditis manifests as a sudden and painful enlargement of the thyroid gland accompanied with fever, malaise and muscle aches. Indirect evidence has implicated viral infection in the aetiology of subacute thyroiditis. This evidence is limited to preceding upper respiratory tract infection, elevated viral antibody levels, and both seasonal and geographical clustering of cases. There may be a genetic predisposition. [2]
Nishihara and coworkers studied the clinical features of subacute thyroiditis in 852 mostly 40- to 50-year-old women in Japan. They noted seasonal clusters (summer to early autumn) and most subjects presented with neck pain. Fever and symptoms of thyrotoxicosis was present in two thirds of subjects. Upper respiratory tract infections in the month preceding presentation were reported in only 1 in 5 subjects. Recurrent episodes following resolution of the initial episode were rare, occurring in just 1.6% of cases. Laboratory markers for thyroid inflammation and dysfunction typically peaked within one week of onset of illness.
Types include:
- De Quervain's thyroiditis
- Subacute lymphocytic thyroiditis
- Postpartum thyroiditis
- Palpation thyroiditis
References
- ↑ "Subacute Thyroiditis: Overview - eMedicine Endocrinology".
- ↑ Nishihara, E.; Ohye, H.; Amino, N.; Takata, K.; Arishima, T.; Kudo, T.; Ito, M.; Kubota, S.; Fukata, S.; Miyauchi, A. (2008). "Clinical characteristics of 852 patients with subacute thyroiditis before treatment.". Internal Medicine. 47 (8): 725–729. doi:10.2169/internalmedicine.47.0740. PMID 18421188.
