Supracondylar humerus fracture
| Supracondylar humerus fracture | |
|---|---|
| Classification and external resources | |
|
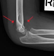
An elbow X-ray showing a displaced supracondylar fracture in a young child | |
| ICD-10 | S42.4 |
| AO | 13-A2.3 |
| eMedicine | 1269576 |
A supracondylar humerus fracture is a fracture of the distal humerus just above the epicondyles. While relatively rare in adults it is one of the more common fractures to occur in children and is often associated with the development of serious complications.
Signs and symptoms
Presenting complaints: The child presents with history of a falling on an outstretched hand followed by pain, swelling and inability to move the affected elbow.
On examination: Unusual prominence of olecranon process but because it is a supracondylar fracture, the three bony point relationship is maintained, as in a normal elbow.
Neurovascular complications
(a) tear or entrapment of the brachial artery; (b) spasm of the artery and (c) compression of the artery relieved by manipulation of the fracture (d) compression of median nerve. Causing Pink and Pulseless hand in supra condylar fracture. Thus there is loss of circulation of forearm, causing lack of reperfusion of tissues resulting in tissue death causing compartment syndrome. (See Volkmann's contracture)
Therefore, the complications of elbow dislocations include the following:
- Posttraumatic periarticular calcification, which occurs in 3-5% of elbow injuries
- Myositis ossificans or calcific tendinitis
- Neurovascular injuries (8-21% of cases) — palsy to the anterior interosseus nerve at time of index injury is most common, followed by brachial artery injuries (5-13%). Injury to the ulnar nerve is reported with percutaneous pinning through the medial epicondyle.
- Osteochondral defects, intra-articular loose bodies, and avascular necrosis of the capitulum
- Instability
Other injuries
- Most commonly brachial artery injury, and if left untreated could lead to Volkmann's contracture (permanent flexion contracture of the hand at the wrist, resulting in a claw-like deformity of the hand and fingers).
- Cubitus varus: Also known as gunstock deformity. This is more of a cosmetic problem, and does not affect the range of motion of the elbow joint.[1]
- Malunion: The condyles of the distal humerus do not correctly join together. It may be misaligned anteriorly, posteriorly, medially or laterally in respect to the shaft of the humerus. A thicker ossification will also appear on the distal end. Remove it one year later to prevent additional ossification from forming.[2]
Mechanism
The fracture is caused by fall on an outstretched hand in 70% of cases. As the hands hits the ground, the elbow is hyperextended resulting in fracture above the condyles. This fracture is most commonly seen in children between the ages of 5-15 yrs. It is a very important clinical condition where medical attention is necessary.
There are two ways supracondylar fractures occur, high impact on a hyperextended elbow or a supracondylar flexion of more than 90 degrees. Fractures of the distal humerus are most commonly due to a falling on your hand with arms fully extended, causing direct trauma to the elbow. The distal condylar complex would shift in either the posterolateral or posteromedial direction, which account for approximately 95% of supracondylar fractures. The remaining 5% of these fractures result from a direct blow to the posterior aspect when the elbow is flexed more than 90°. In these cases, the distal condylar complex is more likely to displace in the anterolateral direction.[3]
Patho-anatomy
The fracture lines extend transversely through the distal end metaphysis above the condyles.
Diagnosis

Diagnosis is usually by x-ray. The fracture can however be difficult to identify and often a joint effusion is used to increase one's suspicion of the presence of a fracture. The existence of an effusion can be determined by the presence of the sail sign.
Upon examination the doctor will evaluate the arm for signs of damage to the nerves and blood vessels; they will look for swelling and deformity. This will allow the doctor to determine a likely diagnosis. Damage to the elbow is a common injury in children; injuries to blood supply of the arm may necessitate early surgical intervention.[4] Most of the supracondylar fractures are minor and require a period of rest, analgesia and compression prior to graduated formal rehabilitation.[5] In the event of a more severe injury, the fracture will be visible on an x-ray. It is important in diagnosis to understand the dynamics of an x-ray because growth plate fractures may not show up like normal broken bones. It is a good idea to compare the x-ray of the injured elbow to the opposing side for analysis.[4] If rest does not cause the fracture to heal then the child must be referred to a specialist for assessment of the injury.[5]
Classification
It may be of a flexion type or an extension type, depending upon the displacement of the distal fragment of bone.
Extension type: The most common type, accounting for 95%[6] of all supracondylar fractures. The distal fragment is displaced posterior.
Flexion type: The least common variety (5%), where the distal fragment is displaced anterior relative to the proximal segment.
Displacements: The displacements may present in one of a number of ways: posterior shift, posterior tilt, lateral or medial shift, proximal shift or internal rotation.
Supracondylar fractures can also be categorized by the Gartland classification system, based upon the degree of displacement of the distal fragment.
According to a website for orthopedic surgeons, “This is the most common elbow fracture in children, about 60% of fractures in children. It is most common in children <10, peak incidence is between the ages of 5-8 years of age. Primarily in children who are around age 7 years, which is often a period of maximum ligamentous laxity; therefore, the elbow hyperextends when the child tries to catch himself or herself during a fall. During the hyperextension process, the olecranon (elbow bone) process is forced against the weaker, immature metaphyseal bone of the distal humerus, producing the typical extension-type supracondylar fracture”.[7]
Treatment
"Most orthopedic surgeons (96%) agreed that the treatment of choice for displaced supracondylar fractures of the humerus in children is closed reduction and percutaneous pinning" [8]
Surgery may lead to improved outcome of displaced fractures.[9][10] The degree of reduction can be measured by Baumann's angle.
References
- ↑ Jeffery Wu Perron A, Miller M, Powel S, Brady W (2002). "Orthopedic pitfalls in the ED: Pediatric supracondylar humerus fractures". J Emer Med. 20: 544–550. doi:10.1053/ajem.2002.34850.
- ↑ stephany J, Schmeling G. Fractures of the distal humerus. 2004.
- ↑ http://www.uptodate.com/contents/evaluation-and-management-of-supracondylar-fractures-in-children?source=outline_link&view=text&anchor=H8#H8
- 1 2 http://orthopedics.about.com/od/pediatricfractures/a/elbowfracture.htm
- 1 2 http://bmb.oxfordjournals.org/content/86/1/33.full
- ↑ http://www.wheelessonline.com/ortho/pediatric_supracondylar_fractures_of_the_humerus
- ↑ http://www.eorif.com/Pediatrics/supracondhumerus.html
- ↑ Lee S, Park MS, Chung CY, Kwon DG, Sung KH, Kim TW, Choi IH, Cho TJ, Yoo WJ, Lee KM (2012). "Consensus and different perspectives on treatment of supracondylar fractures of the humerus in children". Clin Orthop Surg. 4: 91–7. doi:10.4055/cios.2012.4.1.91. PMC 3288500
. PMID 22379561. - ↑ "BestBets: Treatment of a supracondylar fracture".
- ↑ Tiwari A, Kanojia RK, Kapoor SK (August 2007). "Surgical management for late presentation of supracondylar humeral fracture in children". J Orthop Surg (Hong Kong). 15 (2): 177–82. PMID 17709857.