Supracondylar process of the humerus

Supracondylar process

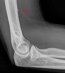
Small supracondylar process seen on a lateral radiograph of the elbow

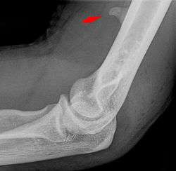
Larger supracondylar process seen on a lateral radiograph of the elbow

Anatomical terminology

The supracondylar process of the humerus is a bony projection on the anteromedial aspect of the upper arm bone (humerus), about 5 cm above the medial epicondyle. It is directed downward, forward and medially pointing to the medial epicondyle. It is an anatomical variation which occurs in about one percent of all people. A fibrous band, Struthers ligament, may connect this process to the medial epicondyle.

Clinical significance

Supracondylar processes are usually asymptomatic, but may be palpable as a mass on the upper arm. They are most commonly found as an incidental finding on radiographs made for other reasons, but occasionally isolated fractures of the process itself may lead to its discovery. Rarely, presence of the process and a connecting ligament may lead to compression of the brachial artery and the median nerve, leading to pain, paresthesia and/or ischemia.

Other animals

The supracondylar process is a vestigial remnant of the supracondylar foramen or epitrochlear foramen found in other vertebrates including cats, climbing mammals and lower primates.

References

This article is issued from Wikipedia - version of the 6/6/2016. The text is available under the Creative Commons Attribution/Share Alike but additional terms may apply for the media files.