Talus bone

Talus bone

Anatomy of the right foot

Subtalar Joint, viewed from an angle between lateral and frontal.
Details
Identifiers
Latin Os trigonum, Astragalus
MeSH A02.835.232.043.300.710.780
TA A02.5.10.001
FMA 9708

Anatomical terms of bone

The talus bone (/ˈtləs/; Latin for ankle[1]), astragalus /əˈstræɡələs/, or ankle bone is one of the group of foot bones known as the tarsus. The tarsus forms the lower part of the ankle joint through its articulations with the lateral and medial malleoli of the two bones of the lower leg, the tibia and fibula. Within the tarsus, it articulates with the calcaneus below and navicular in front within the talocalcaneonavicular joint. Through these articulations, it transmits the entire weight of the body to the foot.[2]

The second largest of the tarsal bones, it is also one of the bones in the human body with the highest percentage of its surface area covered by articular cartilage. Additionally, it is also unusual in that it has a retrograde blood supply, i.e. arterial blood enters the bone at the distal end.

In humans, no muscles attach to the talus, unlike most bones, and its position therefore depends on the position of the neighbouring bones.[3]

Structure

Left talus, from above and below, with anterior side of the bone at top of image.
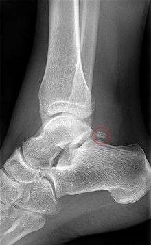
Os trigonum on x-ray.

Though irregular in shape, the talus can be subdivided into three parts.

Facing anteriorly, the head carries the articulate surface of the navicular bone, and the neck, the roughened area between the body and the head, has small vascular channels.[2]

The body features several prominent articulate surfaces: On its superior side is the trochlea tali, which is semi-cylindrical,[4] and it is flanked by the articulate facets for the two malleoli.[2] The ankle mortise, the fork-like structure of the malleoli, holds these three articulate surfaces in a steady grip, which guarantees the stability of the ankle joint. However, because the trochlea is wider in front than at the back (approximately 5–6 mm) the stability in the joint vary with the position of the foot: with the foot dorsiflexed (toes pulled upward) the ligaments of the joint are kept stretched, which guarantees the stability of the joint; but with the foot plantarflexed (as when standing on the toes) the narrower width of the trochlea causes the stability to decrease.[5] Behind the trochlea is a posterior process with a medial and a lateral tubercle separated by a groove for the tendon of the flexor hallucis longus. , the lateral of these tubercles forms an independent bone called os trigonum or "accessory talus"; it may represent the tarsale proximale intermedium. On the bone's inferior side, three articular surfaces serve for the articulation with the calcaneus, and several variously developed articular surfaces exist for the articulation with ligaments.[2]

For descriptive purposes the talus bone is divided into three sections, neck, body, and head.

The talus bone of the ankle joint connects the leg to the foot.

The head of talus looks forward and medialward; its anterior articular or navicular surface is large, oval, and convex. Its inferior surface has two facets, which are best seen in the fresh condition.[6]

The medial, situated in front of the middle calcaneal facet, is convex, triangular, or semi-oval in shape, and rests on the plantar calcaneonavicular ligament; the lateral, named the anterior calcaneal articular surface, is somewhat flattened, and articulates with the facet on the upper surface of the anterior part of the calcaneus.[6]

Neck

The neck of talus is directed anteromedially, and comprises the constricted portion of the bone between the body and the oval head.[6]

Its upper and medial surfaces are rough, for the attachment of ligaments; its lateral surface is concave and is continuous below with the deep groove for the interosseous talocalcaneal ligament.[6]

Body

The body of the talus comprises most of the volume of the talus bone (ankle bone). It presents with five surfaces; a superior, inferior, medial, lateral and a posterior:[6]

Development

During the 7-8th intrauterine month an ossification center is formed in the anklebone.[2]

The talus bone lacks a good blood supply. Because of this, healing a broken talus can take longer than most other bones. One with a broken talus may not be able to walk for many months without crutches and will further wear a walking cast or boot of some kind after that.

Society and culture

Dice were originally made from the talus of hoofed animals, colloquially known as "knucklebones". These are approximately tetrahedral, leading to the nickname "bones" for dice. Modern Mongolians still use such bones as shagai for games and fortunetelling, with each piece relating to a symbolic meaning.[7]

Other animals

The talus apparently derives from the fusion of three separate bones in the feet of primitive amphibians; the tibiale, articulating with tibia, the intermedium, between the bases of the tibia and fibula, and the fourth centrale, lying in the mid-part of the tarsus. These bones are still partially separate in modern amphibians, which therefore do not have a true talus. The talus forms a considerably more flexible joint in mammals than it does in reptiles. This reaches its greatest extent in artiodactyls, where the distal surface of the bone has a smooth keel to allow greater freedom of movement of the foot, and thus increase running speed.[8]

Additional images

See also

Notes

  1. Mosby's Medical, Nursing & Allied Health Dictionary, Fourth Edition, Mosby-Year Book Inc., 1994, p. 1526
  2. 1 2 3 4 5 Platzer (2004), p 216
  3. Bojsen-Møller, Finn; Simonsen, Erik B.; Tranum-Jensen, Jørgen (2001). Bevægeapparatets anatomi [Anatomy of the Locomotive Apparatus] (in Danish) (12th ed.). p. 301. ISBN 978-87-628-0307-7.
  4. Lee F. Rogers (1992) Radiology of skeletal trauma - Volume 2 p.1463
  5. Thieme Atlas of Anatomy (2006), p 406
  6. 1 2 3 4 5 Gray's Anatomy (1918)
  7. Pegg, Carole (2001). Mongolian music, dance and oral narrative : performing diverse identities. [S.l.]: Univ. of Washington Press. p. 233. ISBN 9780295981123.
  8. Romer, Alfred Sherwood; Parsons, Thomas S. (1977). The Vertebrate Body. Philadelphia, PA: Holt-Saunders International. p. 207. ISBN 0-03-910284-X.

References

This article incorporates text in the public domain from the 20th edition of Gray's Anatomy (1918)

Wikimedia Commons has media related to Talus.
This article is issued from Wikipedia - version of the 9/27/2016. The text is available under the Creative Commons Attribution/Share Alike but additional terms may apply for the media files.