Tamponade

Not to be confused with tapenade.
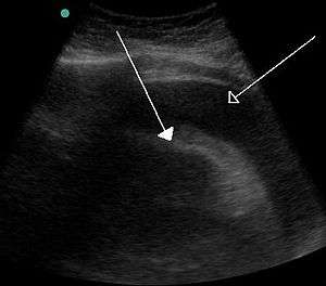
A very large hemorrhagic pericardial effusion due to malignancy as seen on ultrasound which was causing tamponade. closed arrow: the heart, open arrow: the effusion

Tamponade is the closure or blockage (as of a wound or body cavity) by or as if by a tampon, especially to stop bleeding.[1] Tamponade is a useful method of stopping a hemorrhage. This can be achieved by applying an absorbent dressing directly into a wound, thereby absorbing excess blood and creating a blockage, or by applying direct pressure with a hand or a tourniquet.

There can, however, be disastrous consequences when tamponade occurs as a result of health problems, as in the case of cardiac tamponade. In this situation, fluid collects between the heart muscle and the pericardium. The pressure within the pericardium prevents the heart from expanding fully and filling the ventricles, with the result that a significantly reduced amount of blood circulates within the body. If left unchecked, this condition will result in death.

Bladder tamponade is obstruction of the urinary bladder outlet due to heavy blood clot formation within it.[2] It generally requires surgery.[2] Such heavy bleeding is usually due to bladder cancer.[3]

Pressing Bone Wax into bleeding bone is considered hemostasis by tamponade, as opposed to methods which physically or biochemically activate the clotting cascade.

Gas tamponade has been used for retinal detachment surgery, helping reduce the rate of fluid flow through retinal tears. Research suggests that patients undergoing surgery with tamponade agents of C3F8 gas and standard silicone oil had the best visual and anatomic outcomes, over other tamponade agents.[4]

References

  1. "Tamponade - Definition". Retrieved 1 June 2011.
  2. 1 2 Page 352 in: Guenter Schmidt (2006). Differential diagnosis in ultrasound: a teaching atlas. Stuttgart: Thieme. ISBN 3-13-131891-0.
  3. Miyamae, K.; Otsuka, T.; Otsuka, Y.; Nagayoshi, M.; Hamada, Y. (2006). "Clinical study of bladder tamponade resulting from clots of blood". Nihon Hinyokika Gakkai zasshi. the japanese journal of urology. 97 (5): 743–747. doi:10.5980/jpnjurol1989.97.743. PMID 16898598.
  4. Schwartz SG, Flynn Jr HW, Lee WH, Wang X (2014). "Tamponade in surgery for retinal detachment associated with proliferative vitreoretinopathy". Cochrane Database Syst Rev. 2: CD006126. doi:10.1002/14651858.CD006126.pub3. PMC 3990035Freely accessible. PMID 24532038.

External links

Look up tamponade in Wiktionary, the free dictionary.
This article is issued from Wikipedia - version of the 7/31/2016. The text is available under the Creative Commons Attribution/Share Alike but additional terms may apply for the media files.