Stress incontinence

Stress incontinence
Pelvic floor
Classification and external resources
Specialty urology
ICD-10 N39.3
ICD-9-CM 625.6788.32
DiseasesDB 12550
MedlinePlus 000891
MeSH D014550

Stress incontinence, also known as stress urinary incontinence (SUI) or effort incontinence is a form of urinary incontinence. It is due to insufficient strength of the closure of the bladder.

Pathophysiology

It is the loss of small amounts of urine associated with coughing, laughing, sneezing, exercising or other movements that increase intra-abdominal pressure and thus increase pressure on the bladder. The urethra is supported by fascia of the pelvic floor. If this support is insufficient, the urethra can move downward at times of increased abdominal pressure, allowing urine to pass.

Most lab results such as urine analysis, cystometry and postvoid residual volume are normal.

Some sources distinguish between urethral hypermobility and intrinsic sphincter deficiency.[1] The latter is more rare, and requires different surgical approaches.

Men

Stress incontinence is rare in men. The most common cause is as a post-surgical complication following a prostatectomy.

Women

In women, physical changes resulting from pregnancy, childbirth, and menopause often contribute to stress incontinence. Stress incontinence can worsen during the week before the menstrual period. At that time, lowered estrogen levels may lead to lower muscular pressure around the urethra, increasing chances of leakage. The incidence of stress incontinence increases following menopause, similarly because of lowered estrogen levels. In female high-level athletes, effort incontinence occurs in all sports involving abrupt repeated increases in intra-abdominal pressure that may exceed perineal floor resistance.[2]

Treatment

Behavioral changes

In addition to weight loss and exercise there are some behavioral changes that can improve stress incontinence. First decrease the amount of liquid that you are ingesting, and avoid drinking caffeinated beverages because they irritate the bladder. Spicy foods, carbonated beverages, alcohol and citrus also irritate the bladder and should be avoided. Quitting smoking can also improve stress incontinence because smoking irritates the bladder and can make you cough (putting stress on the bladder).[3]

Weight loss

Weight loss in overweight women reduced stress incontinence, in women with a Body Mass Index (BMI) over 25 and at least 10 episodes of urinary incontinence per week. With exercise and restricted diet they had a 70% or greater reduction in overall incontinence episodes.[4][5]

Exercises

One of the most common treatment recommendations includes exercising the muscles of the pelvis. Kegel exercises to strengthen or retrain pelvic floor muscles and sphincter muscles can reduce stress leakage.[6] Patients younger than 60 years old benefit the most.[6] The patient should do at least 24 daily contractions for at least 6 weeks.[6] It is possible to assess pelvic floor muscle strength using a Kegel perineometer.

Increasingly there is evidence of the effectiveness of pelvic floor muscle exercise (PFME) to improve bladder control. For example, urinary incontinence following childbirth can be improved by performing PFME.[7]

Clinical trials[8] of a Progressive Resistance Vaginal Exerciser concluded that the device was as effective as Supervised Pelvic Floor Muscle Training,.

Incontinence pads

An incontinence pad is a multi-layered, absorbent sheet that collects urine resulting from urinary incontinence. Similar solutions include absorbent undergarments and adult diapers. Absorbent products may cause side effects of leaks, odors, skin breakdown, and UTI. Incontinence pads may also come in the form of a small sheet placed underneath a patient in the hospital, for situations when it is not practical for the patient to wear a diaper.

Electrical stimulation

Brief doses of electrical stimulation can strengthen muscles in the lower pelvis in a way similar to exercising the muscles. Electrodes are temporarily placed in the vagina or rectum to stimulate nearby muscles. This can stabilize overactive muscles and stimulate contraction of urethral muscles.

Clinical research published in the British Medical Journal[9] compared pelvic floor exercises, vaginal weights and electro-stimulation in a randomised trial. The research recommended that pelvic floor exercise should be the first choice of treatment for genuine stress incontinence because simple exercises proved to be far more effective than electro-stimulation or vaginal cones.

This situation was confirmed in a comprehensive review of the treatment of stress incontinence published in the British Journal of Urology International in 2010.[8] The report author noted that electrical stimulation devices and weighted vaginal cones are not recommended by the UK National Institute for Clinical Excellence (NICE) and "are not universally advocated by clinicians as they have yet to produce sufficient evidence of efficacy".

Biofeedback

Biofeedback uses measuring devices to help the patient become aware of his or her body's functioning. By using electronic devices or diaries to track when the bladder and urethral muscles contract, the patient can gain control over these muscles.

Pessaries

A pessary is a medical device that is inserted into the vagina. The most common kind is ring shaped, and is typically recommended to correct vaginal prolapse. The pessary compresses the urethra against the symphysis pubis and elevates the bladder neck. For some women this may reduce stress leakage, however it is not clear how well these mechanical devices help women with stress urinary incontinence.[10] If a pessary is used, vaginal and urinary tract infections may occur and regular monitoring by a doctor is recommended.

Vaginal cones

A vaginal cone, also known as a vaginal weight, is a medical device specifically designed and shaped to exercise pelvic floor muscles and help restore proper bladder functions in women with urinary stress incontinence. The device comes with a cone with a string on the outside. Varying weights are placed inside the cone. Starting with the lowest weight, women insert the cone into the vagina, like they would with a tampon. They then contract their pelvic floor muscles to keep the cone from falling out. As their muscles get stronger, the weights can be increased.[11]

Surgery

Doctors usually suggest surgery to alleviate incontinence only after other treatments have been tried. Many surgical options have high rates of success. A Cochrane Review of studies found that the less-invasive variants of the sling operation were equally effective in treating stress incontinence as surgical sling operations.[12]

One such surgery is urethropexy.

Insertion of a sling through the vagina (rather than by opening the lower abdomen) is called intravaginal slingplasty (IVS). IVS has low complication rates and takes approximately 25 minutes. Objectively, it has lower cure rates than alternative surgical sling insertion techniques, but has similar patient satisfaction rates.[13]

Slings

The procedure of choice for stress urinary incontinence in females is what is called a sling procedure. A sling implant usually consists of a synthetic mesh material in the shape of a narrow ribbon but sometimes a biomaterial (bovine or porcine) or the patients own tissue that is placed under the urethra through one vaginal incision and two small abdominal incisions. The idea is to replace the deficient pelvic floor muscles and provide a backboard of support under the urethra. Transvaginal mesh has recently come under scrutiny, as patients allege long-term harm and suffering as a result of implanted mesh.[14]

Tension-free transvaginal tape
Insertion places of TVT sling, three days after surgery

The tension-free transvaginal (TVT) sling procedure treats urinary stress incontinence by positioning a polypropylene mesh tape underneath the urethra.[15] Complications, such as bladder perforation, can occur in the retropubic space if the procedure is not done correctly. However, recent advancements have proven that the minimally invasive TVT sling procedure is regarded as a common treatment for SUI[16] There are many other complications associated with the Tension Free Transvaginal (TVT) Sling including mesh erosion from day 1 up to 7 years later.

Transobturator tape

The transobturator tape (TOT or Monarc) sling procedure aims to eliminate stress urinary incontinence by providing support under the urethra. The minimally-invasive procedure eliminates retropubic needle passage and involves inserting a mesh tape under the urethra through three small incisions in the groin area.[17]

Readjustable sling

The readjustable sling consists of a standard synthetic mesh sling combined with sutures that attach to an implantable tensioning device that resides permanently under the skin in the abdominal wall. Once implanted, this Readjustable Mechanical External (REMEEX) device can be re-accessed under local anesthesia to fine-tune the sling should incontinence reappear months or years after the initial surgery.[18]

Mini-sling

The mini-sling procedure was released in the United States in late 2006 by Gynecare/Johnson and Johnson under the name of TVT-Secure. AMS have released a similar version called MiniArc. The TVT-SECUR was designed to overcome two of the perioperative complications reported with use of TVT-Obturator: thigh pain and bladder outlet obstruction. The TVT-SECUR was designed to minimize the operative procedure as much as possible in order to reduce those undesired complications. This new device is composed of an 8 cm long laser cut polypropylene mesh and is introduced to the internal obturator muscle (Hammock position) by a metallic inserter, while no exit skin cuts are needed. The MiniArc is also quite simple and again eliminates the need for skin incisions other than the vaginal incision.[19] The reported short term cure rates of minislings range from 67% to 90%.

Needleless sling

The needleless sling is a single incision TOT. It is implanted via one unique incision. The needleless has approximately 136% more surface area than the mini sling, which may better support the pelvic floor and urethra, and no sharp instruments are required to implant the sling besides the scalpel used to make the incision, which may enhance patient comfort.

Bladder repositioning

Most stress incontinence in women results from the urethra dropping down toward the vagina. Therefore, common surgery for stress incontinence involves pulling the urethra up to a more normal position. Working through an incision in the vagina or abdomen, the surgeon raises the urethra and secures it with a string attached to muscle, ligament, or bone. For severe cases of stress incontinence, the surgeon may secure the urethra with a wide sling. This not only holds up the bladder but also compresses the bottom of the bladder and the top of the urethra, further preventing leakage.

Marshall-Marchetti-Krantz

The Marshall-Marchetti-Krantz (MMK) procedure, also known as retropubic suspension or bladder neck suspension surgery, is performed by a surgeon in a hospital setting. Developed in 1949 by doctors Victor F. Marshall (urologist), Andrew A. Marchetti (OB/GYN), and Kermit E. Krantz (OB/GYN), it is the standard by which new procedures are measured. In 1961 Dr. Burch reported a modification of the MMK operation (the Burch modification).

The patient is placed under general anaesthesia, and a catheter is inserted into the bladder through the urethra. An incision is made across the abdomen, and the bladder is exposed. The bladder is then dissected from surrounding tissues. Sutures are placed in these tissues near the bladder neck and urethra. The urethra is then lifted and the sutures are attached to the pubic bone itself, or to fascia behind the pubic bone. The sutures support the bladder neck, helping the patient gain control over urine flow. The Burch modifications involved placing the surgical sutures at the bladder neck and tying them to the pectineal ligament.

Approximately 85% of women who undergo the Marshall-Marchetti-Krantz procedure are cured of their stress incontinence.

Peri/trans urethral injections

A variety of materials have been historically used to add bulk to the urethra and thereby increase outlet resistance. This is most effective in patients with a relatively fixed urethra. Blood and fat have been used with limited success. The most widely used substance, gluteraldehyde crosslinked collagen (GAX collagen) proved to be of value in many patients. The main downfall was the need to repeat the procedure over time.[20]

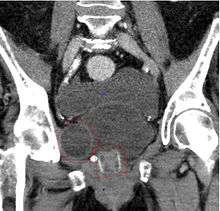
Artificial urinary sphincter

CT scan (coronal reconstruction) showing an artificial urethral sphincter in a woman

In rare cases, a surgeon implants an artificial urinary sphincter,[21] a doughnut-shaped sac that circles the urethra. A fluid fills and expands the sac, which squeezes the urethra closed. By pressing a valve implanted under the skin, the artificial sphincter can be deflated. This removes pressure from the urethra, allowing urine from the bladder to pass.

Acupuncture

No useful studies have been done to determine whether acupuncture can help people with stress urinary incontinence.[22]

References

  1. Haliloglu B, Karateke A, Coksuer H, Peker H, Cam C (February 2010). "The role of urethral hypermobility and intrinsic sphincteric deficiency on the outcome of transobturator tape procedure: a prospective study with 2-year follow-up". Int Urogynecol J Pelvic Floor Dysfunct. 21 (2): 173–8. doi:10.1007/s00192-009-1010-y. PMID 19802505.
  2. Crepin G, Biserte J, Cosson M, Duchene F (October 2006). "[The female urogenital system and high level sports]". Bull. Acad. Natl. Med. (in French). 190 (7): 1479–91; discussion 1491–3. PMID 17450681.
  3. "Stress Incontinence Information". Retrieved 6 July 2005.
  4. Kelly CJ, Vichayavilas PE (May 2009). "Weight loss for urinary incontinence in overweight and obese women". N. Engl. J. Med. 360 (21): 2256; author reply 2257. doi:10.1056/NEJMc090431. PMID 19458377.
  5. "Incontinence reduced with diet and exercise reported by ACP Internist". 3 February 2009. Retrieved 02/10/2009. Check date values in: |access-date= (help)
  6. 1 2 3 Choi H, Palmer MH, Park J (2007). "Meta-analysis of pelvic floor muscle training: randomized controlled trials in incontinent women". Nursing Research. 56 (4): 226–34. doi:10.1097/01.NNR.0000280610.93373.e1. PMID 17625461.
  7. Haddow (2005). "Effectiveness of a pelvic floor muscle exercise program on UI following childbirth". Western Australian Centre for Evidence-based Nursing. 3 (5): 103–146.
  8. 1 2 http://www.bjui.org/ContentFullItem.aspx?id=427&LinkTypeID=1&SectionType=4
  9. http://www.bmj.com/content/318/7182/487.abstract
  10. Lipp, Allyson; Shaw, Christine; Glavind, Karin (2011-07-06). "Mechanical devices for urinary incontinence in women". The Cochrane Database of Systematic Reviews (7): CD001756. doi:10.1002/14651858.CD001756.pub5. ISSN 1469-493X. PMID 21735385.
  11. "How to Use Vaginal Weights". National Incontinence. Retrieved 4 October 2012.
  12. Ogah J, Cody JD, Rogerson L. Minimally invasive synthetic suburethral sling operations for stress urinary incontinence in women. Cochrane Database of Systematic Reviews 2009, Issue 4. Art. No.: CD006375. doi:10.1002/14651858.CD006375.pub2 http://onlinelibrary.wiley.com/o/cochrane/clsysrev/articles/CD006375/frame.html
  13. Ulmsten U, Petros P (March 1995). "Intravaginal slingplasty (IVS): an ambulatory surgical procedure for treatment of female urinary incontinence". Scand. J. Urol. Nephrol. 29 (1): 75–82. PMID 7618052.
  14. http://www.lawyersandsettlements.com/articles/transvaginal-mesh-tvt-sling/tvt-sling-transvaginal-mesh-9-18650.html#.UXWU6StVTeI
  15. Meschia M, Pifarotti P, Bernasconi F, et al. (2001). "Tension-Free vaginal tape: analysis of outcomes and complications in 404 stress incontinent women". Int Urogynecol J Pelvic Floor Dysfunct. 12 (Suppl 2): S24–27. doi:10.1007/s001920170008. PMID 11450976.
  16. Rardin CR, Kohli N, Rosenblatt PL, Miklos JR, Moore R, Strohsnitter WC (November 2002). "Tension-free vaginal tape: outcomes among women with primary versus recurrent stress urinary incontinence". Obstet Gynecol. 100 (5 Pt 1): 893–7. doi:10.1016/S0029-7844(02)02278-0. PMID 12423849.
  17. Stenchever MA (2001). "Chapter 21. Physiology of micturition, diagnosis of voiding dysfunction and incontinence: surgical and nonsurgical treatment section of Urogynecology". Comprehensive Gynecology (4 ed.). pp. 607–639. ISBN 978-0-323-01402-1.
  18. The suburethral tension adjustable sling (REMEEX system) in the treatment of female stress incontinence: results after 5 years of mean follow-up / http://neomedicincorporated.com/system/files_db/4c79919b43/5/f/3dcc2w7q32.pdf
  19. Neuman M (September 2007). "TVT-SECUR:100 teaching operations with a novel anti-incontinence procedure". Pelviperineology. 26 (3).
  20. Appell RA, Macaluso JN, Deutsch JS, Goodman JR, Prats LJ, Wahl P (June 1992). "Endourologic control of incontinence with GAX collagen: the LSU experience". J Endourol. 6 (3): 275–7. doi:10.1089/end.1992.6.275.
  21. Ruiz E, Puigdevall J, Moldes J, et al. (October 2006). "14 years of experience with the artificial urinary sphincter in children and adolescents without spina bifida". J. Urol. 176 (4 Pt 2): 1821–5. doi:10.1016/j.juro.2006.05.024. PMID 16945659.
  22. Wang, Yang; Zhishun, Liu; Peng, Weina; Zhao, Jie; Liu, Baoyan (2013-07-01). "Acupuncture for stress urinary incontinence in adults". The Cochrane Database of Systematic Reviews (7): CD009408. doi:10.1002/14651858.CD009408.pub2. ISSN 1469-493X. PMID 23818069.
This article is issued from Wikipedia - version of the 11/14/2016. The text is available under the Creative Commons Attribution/Share Alike but additional terms may apply for the media files.