Call-Exner bodies

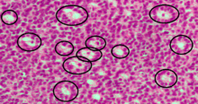
Call–Exner bodies marked with black circles in an intermediate-high magnification micrograph of a granulosa cell tumour, a type of sex cord stromal tumour. H&E stain.
Call–Exner bodies are small eosinophilic fluid-filled spaces between granulosa cells.[1] The granulosa cells are usually arranged haphazardly around the space.
They are pathognomonic for Granulosa cell tumors.
They are composed of membrane-packaged secretion of granulosa cells and have relations to the formation of liquor folliculi which are seen among closely arranged granulosa cells.
They are named for Emma Louise Call (1847-1937), an American Physician, and Sigmund Exner.[2][3]
References
- ↑ thefreedictionary.com > Call–Exner body Citing: The American Heritage Medical Dictionary. Copyright 2007
- ↑ Archived version of the Call-Exner bodies page on Who Named It?
- ↑ Emma Louise Call and Sigmund Exner: Zur Kenntniss des Graafschen Follikels und des Corpus luteum beim Kaninchen. Sitzungsberichte der kaiserlichen Akademie der Wissenschaften. Mathematish naturwssenschaftliche Classe, Wien, 1875, 72: 321-328.
External links
This article is issued from Wikipedia - version of the 11/13/2016. The text is available under the Creative Commons Attribution/Share Alike but additional terms may apply for the media files.