Cutaneous horn
| Cutaneous horn | |
|---|---|
|
| |
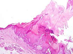
| Actinic keratosis with cutaneous horn | |
| Classification and external resources | |
| DiseasesDB | 31351 |
| eMedicine | article/1056568 |
Cutaneous horns, also known by the Latin name cornu cutaneum, are unusual keratinous skin tumors with the appearance of horns, or sometimes of wood or coral. Formally, this is a clinical diagnosis for a "conical projection above the surface of the skin."[1] They are usually small and localized, but can, in very rare cases be much larger. Although often benign, they can also be malignant or premalignant.[2]
Etiology
The cause of cutaneous horns is still unknown, but it is believed that exposure to radiation can trigger the condition. This is evidenced by a higher rate of cases occurring on the face and hands, areas that are often exposed to sunlight. Other cases have reported cutaneous horns arising from burn scars.[3] As with many other wart-like skin conditions, a link to the HPV virus family, especially the HPV-2 subtype has been suggested.[4]
Prominent cases
- Zhang Ruifang, aged 101 (living in Linlou Village, Henan province, China), has grown a cutaneous horn on her forehead, resembling what those who have examined her and her family call "Devil's Horns." Notably, this growth has expanded to reach a total of 6 centimeters in length. Another is forming on the opposite side of her forehead.[5]
- Liang Xiuzhen, aged 87 (living in Guiyan village in Ziyang City, Sichuan province, China) grew a 13 cm (5.1") pointed horn from her forehead, earning her the nickname "Unicorn Woman".[6]
- Huang Yuanfan, aged 84 (living in Ziyuan, China).[7]
- Madame Dimanche, called Widow Sunday, a French woman living in Paris in the early 19th century, grew, in six years from the age of 76, a 24.9 cm (9.8") horn from her forehead before it was successfully removed by French surgeon Br. Joseph Souberbeille (1754–1846). A wax model of her head is on display at the Mütter Museum, The College of Physicians of Philadelphia, US.[8]
Mortality/Morbidity
The lesion at the base of the keratin mound is benign in the majority of cases. Malignancy is present in up to 20% of cases, with squamous cell carcinoma being the most common type. The incidence of squamous cell carcinoma increases to 37% when the cutaneous horn is present on the penis.[9] Tenderness at the base of the lesion is often a clue to the presence of a possible underlying squamous cell carcinoma.
Treatments
As the horn is composed of keratin, the same material found in fingernails, the horn can usually be removed with a sterile razor.
However, the underlying condition will still need to be treated. Treatments vary, but they can include surgery, radiation therapy, and chemotherapy.
See also
References
- ↑ Copcu, Eray; Sivrioglu, Nazan; Culhaci, Nil (2004). "Cutaneous horns: are these lesions as innocent as they seem to be?". World Journal of Surgical Oncology. 2: 18. doi:10.1186/1477-7819-2-18. PMC 421749
. PMID 15176977. - ↑ Yu, R.C.H.; Pryce, D.W.; MacFarlane, A.W.; Stewart, T.W. (1991). "A histopathological study of 643 cutaneous horns". British Journal of Dermatology. 124 (5): 449–52. doi:10.1111/j.1365-2133.1991.tb00624.x. PMID 2039721.
- ↑ Nthumba, Peter M (2007). "Giant cutaneous horn in an African woman: a case report". Journal of Medical Case Reports. 1: 170. doi:10.1186/1752-1947-1-170. PMC 2225419
. PMID 18053226. - ↑ Wang, W; Wang, C; Xu, S; Chen, C; Tong, X; Liang, Y; Dong, X; Lei, Y; Zheng, X (2007). "Detection of HPV-2 and identification of novel mutations by whole genome sequencing from biopsies of two patients with multiple cutaneous horns". Journal of Clinical Virology. 39 (1): 34–42. doi:10.1016/j.jcv.2007.01.002. PMID 17368088.
- ↑ Writers, Staff. (2010-03-09) Chinese woman Zhang Ruifang, aged 101, grows 'devil' horn. Herald Sun. Retrieved on 2010-10-27.
- ↑ . Mirror.co.uk (2015-08-27). Retrieved on 2015-08-27.
- ↑ . China's Huang Yuanfan Sprouts 3-Inch Horn From Head .
- ↑ The Mütter Museum. Corkscrew-balloon.com (2003-05-26). Retrieved on 2010-10-27.
- ↑ Solivan, GA; Smith, KJ; James, WD (1990). "Cutaneous horn of the penis: Its association with squamous cell carcinoma and HPV-16 infection". Journal of the American Academy of Dermatology. 23 (5 Pt 2): 969–72. doi:10.1016/0190-9622(90)70315-9. PMID 2172337.
External links
- Matthew Moore (2007-11-12). "Tree man 'who grew roots' may be cured". London: Daily Telegraph. Retrieved 2007-11-14.
- "Images of cutaneous horns". DermAtlas. Retrieved 2007-11-14.
- DiClaudio, Dennis (2006) "The Hypochondriac's Pocket Guide to Horrible Diseases You Probably Already Have", Bloomsbury Publishing, ISBN 978-1-59691-061-4