Linear verrucous epidermal nevus
| Linear verrucous epidermal nevus | |
|---|---|
|
| |
| Classification and external resources | |
| Specialty | medical genetics |
| ICD-10 | Q82.5 (ILDS Q82.502) |
| eMedicine | article/1117506 |
| MeSH | D054000 |
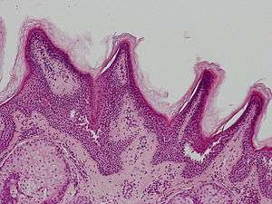
Linear verrucous epidermal nevus (also known as a "Linear epidermal nevus," and "Verrucous epidermal nevus"[1]) is a skin lesion characterized by a verrucous skin-colored, dirty-gray or brown papule.[2]:771[3]:633 Generally, multiple papules present simultaneously, and coalesce to form a serpiginous plaque.[3]:633 When this nevus covers a diffuse or extensive portion of the body's surface area, it may be referred to as a systematized epidermal nevus, when it involved only one-half of the body it is called a nevus unius lateris.[2]:771
See also
References
- ↑ Rapini, Ronald P.; Bolognia, Jean L.; Jorizzo, Joseph L. (2007). Dermatology: 2-Volume Set. St. Louis: Mosby. p. 851. ISBN 1-4160-2999-0.
- 1 2 Freedberg, et al. (2003). Fitzpatrick's Dermatology in General Medicine. (6th ed.). McGraw-Hill. ISBN 0-07-138076-0.
- 1 2 James, William; Berger, Timothy; Elston, Dirk (2005). Andrews' Diseases of the Skin: Clinical Dermatology. (10th ed.). Saunders. ISBN 0-7216-2921-0.
This article is issued from Wikipedia - version of the 5/18/2016. The text is available under the Creative Commons Attribution/Share Alike but additional terms may apply for the media files.