Placental site trophoblastic tumor

Placental site trophoblastic tumor
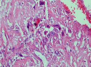
Photomicrograph showing proliferating intermediate trophoblast with scarce cytotophoblastic and systrophoblastic elements
Classification and external resources
ICD-O 9104/1
MeSH D018245

Placental site trophoblastic tumor is a form of gestational trophoblastic disease, which is thought to arise from intermediate trophoblast.[1]

It may secrete human placental lactogen (human chorionic somatomammotropin),[2] and result in a false-positive pregnancy test.[3]

Placental Site Trophoblastic Tumor is a monophasic neoplasm of the implantation site intermediate trophoblast, and usually a benign lesion, which comprises less than 2% of all gestational trophoblastic proliferations. Preceding conditions include molar pregnancy(5%). Compared to choriocarcinoma or invasive mole, hemorrhage is less conspicuous and serum β-HCG level is low, making early diagnosis difficult.

Immunohistochemistry: Often stains with hPL, keratin, Mel-CAM, EGFR.

Prognosis : 10~20% of cases metastase leading to death.

Treatment : Because chemotherapy is ineffective; the patient should undergo hysterectomy.

References

  1. Shih IM, Kurman RJ (January 2001). "The pathology of intermediate trophoblastic tumors and tumor-like lesions". Int. J. Gynecol. Pathol. 20 (1): 31–47. doi:10.1097/00004347-200101000-00004. PMID 11192071.
  2. http://library.med.utah.edu/WebPath/EXAM/MULTORG/fem1frm.html
  3. Whitney KA (December 2009). "Placental site trophoblastic tumor". Am J Nurs. 109 (12): 32–7; quiz 38. doi:10.1097/01.NAJ.0000365176.62954.11. PMID 19935163.
This article is issued from Wikipedia - version of the 6/30/2016. The text is available under the Creative Commons Attribution/Share Alike but additional terms may apply for the media files.