Struma ovarii

Struma ovarii
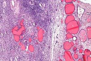
Micrograph of a struma ovarii. Characteristic thyroid follicles are seen on the right, and ovarian stroma on the left. H&E stain.
Classification and external resources
DiseasesDB 33030
eMedicine article/256937
MeSH D013330

A struma ovarii (literally: goitre of the ovary) is a rare form of monodermal teratoma that contains mostly thyroid tissue, which may cause hyperthyroidism.[1]

Despite its name, struma ovarii is not restricted to the ovary.

The vast majority of struma ovarii are benign tumors; however, malignant tumors of this type is found in a small percentage of cases.[2]

Radiologic Findings

The ultrasound (US) features of struma ovarii are nonspecific, but a heterogeneous, predominantly solid mass may be seen. US demonstrates a complex appearance with multiple cystic and solid areas, findings that reflect the gross pathologic appearance of the tumor.

Magnetic resonance imaging findings may be more characteristic: The cystic spaces demonstrate both high and low signal intensity on T1- and T2-weighted images. Some of the cystic spaces may demonstrate low signal intensity on both T1- and T2-weighted images due to the thick, gelatinous colloid of the struma. No fat is evident in these lesions.[3]

See also

Additional images

References

  1. Kim D, Cho HC, Park JW, et al. (March 2009). "Struma ovarii and peritoneal strumosis with thyrotoxicosis". Thyroid. 19 (3): 305–8. doi:10.1089/thy.2008.0307. PMID 19265502.
  2. Struma Ovarii at eMedicine
  3. Outwater EK, Siegelman ES, Hunt JL, et al. (Mar–Apr 2001). "Ovarian teratomas: tumor types and imaging characteristics.". Radiographics. 21 (2): 475–90. doi:10.1148/radiographics.21.2.g01mr09475. PMID 11259710.


This article is issued from Wikipedia - version of the 9/24/2016. The text is available under the Creative Commons Attribution/Share Alike but additional terms may apply for the media files.