Salter–Harris fracture
| Salter–Harris fractures | |
|---|---|
|
| |
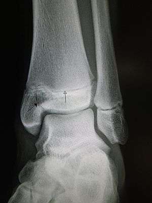
| An X-ray of the left ankle showing a Salter–Harris type III fracture of medial malleolus. Black arrow demonstrates fracture line while the white arrow marks the growth plate. | |
| Classification and external resources | |
| eMedicine | radio/613 article/1260663, orthoped/627 |
A Salter–Harris fracture is a fracture that involves the epiphyseal plate or growth plate of a bone. It is a common injury found in children, occurring in 15% of childhood long bone fractures.[1]
Types

Salter Harris Fracture Types
There are nine types of Salter–Harris fractures; types I to V as described by Robert B Salter and W Robert Harris in 1963,[1] and the rarer types VI to IX which have been added subsequently:[2]
- Type I – transverse fracture through the growth plate (also referred to as the "physis"):[3] 6% incidence
- Type II – A fracture through the growth plate and the metaphysis, sparing the epiphysis:[4] 75% incidence, takes approximately 2–3 weeks to heal.
- Type III – A fracture through growth plate and epiphysis, sparing the metaphysis:[5] 8% incidence
- Type IV – A fracture through all three elements of the bone, the growth plate, metaphysis, and epiphysis:[6] 10% incidence
- Type V – A compression fracture of the growth plate (resulting in a decrease in the perceived space between the epiphysis and metaphysis on x-ray):[7] 1% incidence
- Type VI – Injury to the peripheral portion of the physis and a resultant bony bridge formation which may produce an angular deformity (added in 1969 by Mercer Rang)[8]
- Type VII – Isolated injury of the epiphyseal plate (VII–IX added in 1982 by JA Ogden)[9]
- Type VIII – Isolated injury of the metaphysis with possible impairment of endochondral ossification
- Type IX – Injury of the periosteum which may impair intramembranous ossification
SALTER mnemonic for classification
The mnemonic "SALTER" can be used to help remember the first five types.[10][11][12] This mnemonic requires the reader to imagine the bones as long bones, with the epiphyses at the base.
- I – S = Slip (separated or straight across). Fracture of the cartilage of the physis (growth plate)
- II – A = Above. The fracture lies above the physis, or Away from the joint.
- III – L = Lower. The fracture is below the physis in the epiphysis.
- IV – TE = Through Everything. The fracture is through the metaphysis, physis, and epiphysis.
- V – R = Rammed (crushed). The physis has been crushed.
(alternatively SALTER can be used for the first 6 types – as above but adding Type V: 'E' for Everything or Epiphysis and Type VI:'R' for Ring)
Salter–Harris fracture images
| Salter–Harris fracture radiographs with insets showing fracture lines. | ||||||||
|---|---|---|---|---|---|---|---|---|
|
See also
References
- 1 2 Salter RB, Harris WR (1963). "Injuries Involving the Epiphyseal Plate". J Bone Joint Surg Am. 45 (3): 587–622. Retrieved October 13, 2013.
- ↑ Salter-Harris Fracture Imaging at eMedicine
- ↑ "S.H. Type I – Wheeless' Textbook of Orthopaedics". Wheelessonline.com. September 13, 2011. Retrieved August 27, 2013.
- ↑ "S.H. Type II – Wheeless' Textbook of Orthopaedics". Wheelessonline.com. September 13, 2011. Retrieved August 27, 2013.
- ↑ "Salter Harris Type III Frx – Wheeless' Textbook of Orthopaedics". Wheelessonline.com. September 13, 2011. Retrieved August 27, 2013.
- ↑ "Salter Harris: Type IV – Wheeless' Textbook of Orthopaedics". Wheelessonline.com. September 13, 2011. Retrieved August 27, 2013.
- ↑ "Type V – Wheeless' Textbook of Orthopaedics". Wheelessonline.com. September 13, 2011. Retrieved August 27, 2013.
- ↑ Rang, Mercer, ed. (1968). The Growth Plate and Its Disorders. Harcourt Brace/Churchill Livingstone. ISBN 978-0-443-00568-8.
- ↑ Ogden, John A. (October 1, 1982). "Skeletal Growth Mechanism Injury Patterns". Journal of Pediatric Orthopaedics. 2 (4): 371–377. doi:10.1097/01241398-198210000-00004. PMID 7142386.
- ↑ Davis, Ryan (2006). Blueprints Radiology. ISBN 9781405104609. Retrieved March 3, 2008.
- ↑ Gaillard, Frank. "Radiopedia". Retrieved March 3, 2008.
- ↑ Tidey, Brian. "Salter-Harris Fractures". Retrieved March 3, 2008.
This article is issued from Wikipedia - version of the 11/11/2016. The text is available under the Creative Commons Attribution/Share Alike but additional terms may apply for the media files.



