Diaphragmatic hernia
| Diaphragmatic hernia | |
|---|---|
|
| |
| This is a photo of a peritoneopericardial diaphragmatic hernia in a cat. The photo was taken during necropsy from the right side of the cat. To the left is the abdomen, where part of the liver and the gall bladder can be seen. The diaphragm is in the middle. To the right is the thorax. The largest object seen in the thorax is the rest of the liver. Just to the right of that is the heart. The liver was connected to itself through a small hole in the diaphragm (not seen). | |
| Classification and external resources | |
| Specialty | gastroenterology |
| ICD-10 | K44.k |
| ICD-9-CM | 553.3 |
| DiseasesDB | 31491 |
| MedlinePlus | 001135 |
| eMedicine | med/3487 |
| MeSH | D006548 |
Diaphragmatic hernia is a defect or hole in the diaphragm that allows the abdominal contents to move into the chest cavity. Treatment is usually surgical.
The following types of diaphragmatic hernia exist:
- Congenital diaphragmatic hernia
- Hiatal hernia
- Iatrogenic diaphragmatic hernia
- Traumatic diaphragmatic hernia
Signs and symptoms
A scaphoid abdomen (sucked inwards) may be the presenting symptom in a newborn.[1]
Diagnosis

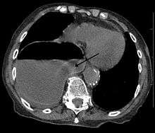
A right sided diaphragmatic hernia with the stomach in the chest (left side of image marked by the arrow). Note the air fluid level in the stomach.
Diagnosis can be made by either CT or Xray.
References
- Eren S, Ciris F (2005). "Diaphragmatic hernia: diagnostic approaches with review of the literature". Eur J Radiol. 54 (3): 448–59. doi:10.1016/j.ejrad.2004.09.008. PMID 15899350.
External links
| Wikimedia Commons has media related to Diaphragmatic hernia. |
This article is issued from Wikipedia - version of the 5/22/2016. The text is available under the Creative Commons Attribution/Share Alike but additional terms may apply for the media files.