Pneumoperitoneum
| Pneumoperitoneum | |
|---|---|
![]() | |
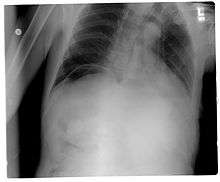
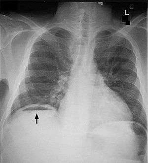
| Frontal chest X-ray. The air bubble below the right hemidiaphragm (on the left of the image) is a pneumoperitoneum. | |
| Classification and external resources | |
| Specialty | gastroenterology |
| ICD-10 | K66.8 |
| ICD-9-CM | 568.89, 770.2 |
| DiseasesDB | 31511 |
| eMedicine | radio/562 |
| MeSH | D011027 |


Pneumoperitoneum is pneumatosis (abnormal presence of air or other gas) in the peritoneal cavity, a potential space within the abdominal cavity. When present, it can often be seen on radiography, but small amounts are often missed, and CT scan is nowadays regarded as a criterion standard in the assessment of a pneumoperitoneum.[1] CT can visualize quantities as small as 5 cm³ of air or gas. The most common cause is a perforated abdominal viscus, generally a perforated peptic ulcer, although any part of the bowel may perforate from a benign ulcer, tumor or abdominal trauma. A perforated appendix seldom causes a pneumoperitoneum.
In the mid-twentieth century, an "artificial" pneumoperitoneum was sometimes intentionally administered as a treatment for a hiatal hernia. This was achieved by insufflating the abdomen with carbon dioxide. The practice is currently used by surgical teams in order to perform laparoscopic surgery.
Causes
- Perforated duodenal ulcer – The most common cause of rupture in the abdomen. Especially of the anterior aspect of the first part of the duodenum.
- Perforated peptic ulcer
- Bowel obstruction
- Ruptured diverticulum
- Penetrating trauma
- Ruptured inflammatory bowel disease (e.g. megacolon)
- Necrotising enterocolitis/Pneumatosis coli[2]
- Bowel cancer
- Ischemic bowel
- Steroids
- After laparotomy
- After laparoscopy
- Breakdown of a surgical anastomosis
- Bowel injury after endoscopy
- Peritoneal dialysis
- Vaginal insufflation (air enters via the fallopian tubes, e.g. water-skiing, oral sex[3])
- Colonic or peritoneal infection
- From chest (e.g. bronchopleural fistula)
- Non-invasive PAP (positive airway pressure) can force air down duodenum as well as down trachea.
Differential diagnosis
Subphrenic abscess, bowel interposed between diaphragm and liver (Chilaiditi syndrome), and linear atelectasis at the base of the lungs can simulate free air under the diaphragm on a chest X-ray.
Terminology
Pneumoperitoneum can be described as peritoneal emphysema,[4] just as pneumomediastinum can be called mediastinal emphysema, but pneumoperitoneum is the usual name.
See also
References
- ↑ Ali Nawaz Khan. "eMedicine.com: Pneumoperitoneum".
- ↑ Necrotizing Enterocolitis Bugs, Drugs and Things That Go Bump in the Night
- ↑ Sexual Activity as Cause for Non-Surgical Pneumoperitoneum
- ↑ Marian, K; et al. (2015), "Spontaneous pneumoperitoneum in a patient after ventilation therapy", Pol Przegl Chir, 86 (12): 601–603, doi:10.1515/pjs-2015-0008, PMID 25803061.
