Spigelian hernia
| Spigelian hernia | |
|---|---|
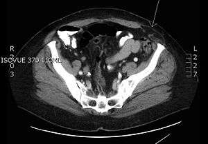
![]() | |
| Transverse CT image of the abdomen in a patient with a Spigelian hernia (arrow). | |
| Classification and external resources | |
| Specialty | gastroenterology |
| ICD-10 | K43.9 |
| ICD-9-CM | 553.29 |
A Spigelian hernia (or lateral ventral hernia) is a hernia through the spigelian fascia, which is the aponeurotic layer between the rectus abdominis muscle medially, and the semilunar line laterally. These are generally interparietal hernias, meaning that they do not lie below the subcutaneous fat but penetrate between the muscles of the abdominal wall; therefore, there is often no notable swelling.
Spigelian hernias are usually small and therefore risk of strangulation is high. Most occur on the right side. (4th–7th decade of life). Compared to other types of hernias they are rare.[1]
Symptoms and diagnosis
Patients typically present with either an intermittent mass, localized pain, or signs of bowel obstruction.[1] Ultrasonography or a CT scan can establish the diagnosis, although CT scan provides the greatest sensitivity and specificity.[2]
Treatment
These hernias should be repaired because of the high risk of strangulation;[3] fortunately, surgery is straightforward, with only larger defects requiring a mesh prosthesis. Varied Spigelian hernia mesh repair techniques have been described, although evidence suggests laparoscopy results in less morbidity and shorter hospitalization compared with open procedures. Mesh-free laparoscopic suture repair is feasible and safe. This novel uncomplicated approach to small Spigelian hernias combines the benefits of laparoscopic localization, reduction, and closure without the morbidity and cost associated with foreign material.[2]
Eponym
Adriaan van den Spiegel, a surgeon-anatomist born in Brussels, described this hernia. The first publication was in 1645, twenty years after Spiegel's death.
Raveenthiran Syndrome
Dr.Raveenthiran of SRM Hospital,Kattankulathur described a new syndrome in which spigelian hernia and cryptorchidism (undescended testis) occur together.[4]
References
- 1 2 Larson DW, Farley DR (2002). "Spigelian hernias: repair and outcome for 81 patients". World journal of surgery. 26 (10): 1277–81. doi:10.1007/s00268-002-6605-0. PMID 12205553.
- 1 2 Bittner JG, Edwards MA, Shah MB, MacFadyen BV, Mellinger JD (August 2008). "Mesh-free laparoscopic spigelian hernia repair". Am Surg. 74 (8): 713–20; discussion 720. PMID 18705572.
- ↑ Vos DI, Scheltinga MR (2004). "Incidence and outcome of surgical repair of spigelian hernia". The British journal of surgery. 91 (5): 640–4. doi:10.1002/bjs.4524. PMID 15122618.
- ↑ Raveenthiran V (Dec 2005). "Congenital Spigelian hernia with cryptorchidism: probably a new syndrome". Hernia. 9 (4): 378–80. doi:10.1007/s10029-005-0316-z. PMID 15782280.
